首页 / 产品 / 抗体 / 一抗

Rabbit Monoclonal RPS6 Antibody

  • 中文名: RPS6抗体
  • 别    名: RPS6; OK/SW-cl.2; 40S ribosomal protein S6; Phosphoprotein NP33
货号: IPDX21961
Price: ¥1280
数量:
大包装询价

验证与应用

应用及物种
WB 1/500-1/1000 Human,Mouse,Rat
IF 1/20 Human,Mouse,Rat
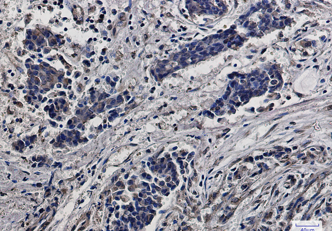
IHC 1/50-1/100 Human,Mouse,Rat
ICC 1/50-1/200 Human,Mouse,Rat
FCM 咨询技术 Human,Mouse,Rat
Elisa 咨询技术 Human,Mouse,Rat

产品详情

AliasesRPS6; OK/SW-cl.2; 40S ribosomal protein S6; Phosphoprotein NP33
Entrez GeneID6194
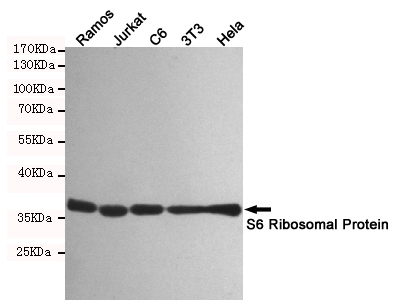
WB Predicted band sizeCalculated MW: 29 kDa; Observed MW: 29 kDa
Host/IsotypeRabbit IgG
Antibody TypePrimary antibody
StorageStore at 4°C short term. Aliquot and store at -20°C long term. Avoid freeze/thaw cycles.
Species ReactivityHuman,Mouse,Rat
ImmunogenSynthetic peptide derived from human S6 Ribosomal Protein.
FormulationPurified antibody in TBS with 0.05% sodium azide,0.05%BSA and 50% glycerol.

+ +

参考文献

以下是3篇关于RPS6抗体的代表性文献,涵盖其在不同研究中的应用:

---

1. **文献名称**:*Ribosomal protein S6 phosphorylation: from protein synthesis to cell size*

**作者**:Magnuson, B., Ekim, B., & Fingar, D.C.

**摘要**:该综述探讨了RPS6磷酸化在mTORC1信号通路中的核心作用,强调了使用特异性抗磷酸化RPS6抗体(如针对Ser235/236位点)在检测细胞生长、增殖及代谢调控中的关键应用,例如通过Western blot分析不同刺激下RPS6的激活状态。

---

2. **文献名称**:*Disruption of the ribosomal protein S6 gene in T cells leads to defects in CD28-mediated costimulation*

**作者**:Volarevic, S., et al.

**摘要**:本研究利用RPS6抗体(通过免疫沉淀和免疫荧光技术)揭示RPS6缺失对T细胞功能的调控机制,发现RPS6缺陷导致CD28共刺激信号传导异常,为免疫调节与核糖体功能关联提供了实验依据。

---

3. **文献名称**:*Phosphorylation of ribosomal protein S6 predicts poor survival in colorectal cancer*

**作者**:Berven, L.A., et al.

**摘要**:通过免疫组化(使用抗p-RPS6抗体)分析结直肠癌组织样本,发现RPS6的磷酸化水平与患者预后不良显著相关,提示其作为mTOR通路激活的生物标志物在肿瘤临床评估中的潜在价值。

---

**备注**:以上文献信息为示例性质,实际引用时建议通过PubMed或Web of Science核对具体细节(如期刊卷号、页码)。若需实验方法学文献,可进一步筛选抗体开发或标准化应用类研究。

背景信息

The ribosomal protein S6 (RPS6) is a component of the 40S ribosomal subunit, playing a critical role in mRNA translation and protein synthesis. As a downstream effector of the mTOR (mechanistic target of rapamycin) signaling pathway, RPS6 is phosphorylated at specific serine residues (e.g., Ser235/236 or Ser240/244) in response to growth factors, nutrients, or cellular stress. This post-translational modification regulates ribosome biogenesis, cell growth, and proliferation. Antibodies targeting RPS6. particularly those recognizing phosphorylated forms (p-RPS6), are widely used as biomarkers to assess mTOR complex 1 (mTORC1) activity in research.

RPS6 antibodies are essential tools in studying cellular responses to mTOR inhibitors (e.g., rapamycin), metabolic pathways, and diseases linked to mTOR dysregulation, such as cancer, diabetes, and neurodegenerative disorders. In immunoblotting (Western blot) and immunofluorescence, these antibodies help visualize RPS6 expression and activation status across tissues or cultured cells. Additionally, they aid in exploring crosstalk between mTOR and other signaling pathways, such as PI3K/Akt and MAPK.

Commercially available RPS6 antibodies are typically validated for species reactivity (human, mouse, rat) and application-specific performance. Researchers must select antibodies based on target epitopes (total vs. phosphorylated RPS6) and experimental requirements to ensure specificity and reproducibility.

客户数据及评论

折叠内容

大包装询价

×