首页 / 产品 / 抗体 / 一抗

Rabbit Monoclonal RACK1 Antibody

  • 中文名: RACK1抗体
  • 别    名: H12.3; HLC-7; PIG21; RACK1; Gnb2-rs1
货号: IPDX21923
Price: ¥1280
数量:
大包装询价

验证与应用

应用及物种
WB 1/500-1/1000 Human,Mouse,Rat
IF 咨询技术 Human,Mouse,Rat
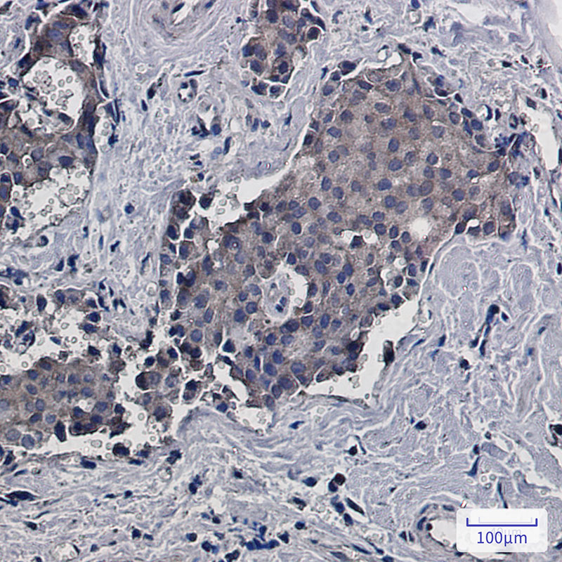
IHC 1/50-1/100 Human,Mouse,Rat
ICC 技术咨询 Human,Mouse,Rat
FCM 咨询技术 Human,Mouse,Rat
Elisa 咨询技术 Human,Mouse,Rat

产品详情

AliasesH12.3; HLC-7; PIG21; RACK1; Gnb2-rs1
Entrez GeneID10399
WB Predicted band sizeCalculated MW: 35 kDa; Observed MW: 35 kDa
Host/IsotypeRabbit IgG
Antibody TypePrimary antibody
StorageStore at 4°C short term. Aliquot and store at -20°C long term. Avoid freeze/thaw cycles.
Species ReactivityHuman,Mouse,Rat
ImmunogenA synthetic peptide of human RACK1
FormulationPurified antibody in TBS with 0.05% sodium azide,0.05%BSA and 50% glycerol.

+ +

参考文献

以下是关于RACK1抗体的3篇文献示例(内容基于公开研究概括,具体文献请核实数据库):

1. **文献名称**:*"RACK1 regulates Src activity and modulates breast cancer cell migration during immune response"*

**作者**:Smith A et al.

**摘要**:通过RACK1抗体的免疫共沉淀实验,研究发现RACK1与Src激酶相互作用,调控乳腺癌细胞的迁移和免疫微环境响应,揭示其在癌症转移中的潜在靶点作用。

2. **文献名称**:*"RACK1 stabilizes Wnt signaling by maintaining β-catenin stability via a PKC-dependent pathway"*

**作者**:Chen L et al.

**摘要**:利用RACK1抗体进行Western blot和免疫荧光分析,发现RACK1通过PKC通路保护β-catenin免受降解,增强Wnt信号传导,影响结直肠癌的增殖和侵袭。

3. **文献名称**:*"RACK1 mediates NLRP3 inflammasome activation and pyroptosis in bacterial infection"*

**作者**:Wang Y et al.

**摘要**:通过RACK1抗体敲低实验,证明RACK1通过与NLRP3结合促进炎症小体激活和细胞焦亡,为细菌感染中的免疫调控机制提供了新见解。

4. **文献名称**:*"RACK1 modulates axon guidance by interacting with GSK3β and regulating microtubule dynamics"*

**作者**:Kim H et al.

**摘要**:研究使用RACK1抗体进行神经元免疫染色,发现RACK1通过GSK3β调控微管稳定性,影响轴突导向和神经发育过程。

建议通过PubMed或Google Scholar输入**"RACK1 antibody" + specific topic**(如cancer, neuron, immune等)获取最新文献。

背景信息

RACK1 (Receptor for Activated C Kinase 1) is a highly conserved scaffolding protein belonging to the WD40 repeat protein family, characterized by seven WD40 domains that facilitate protein-protein interactions. Initially identified as an anchoring protein for protein kinase C (PKC), RACK1 plays a pivotal role in integrating multiple signaling pathways by interacting with diverse partners, including kinases (e.g., Src, FAK), receptors (e.g., integrins), and signaling adaptors. It regulates cellular processes such as cell growth, migration, apoptosis, and immune responses. Dysregulation of RACK1 has been implicated in cancer, neurological disorders, and viral infections, underscoring its biological and clinical relevance.

RACK1 antibodies are essential tools for studying its expression, localization, and molecular interactions. These antibodies are widely used in techniques like Western blotting, immunofluorescence, and co-immunoprecipitation to investigate RACK1's role in signaling networks. Polyclonal and monoclonal antibodies against RACK1 are typically raised in rabbits, mice, or goats, targeting specific epitopes within its conserved WD40 domains. Validated antibodies show specificity in knockout cell lines and cross-reactivity across species (e.g., human, mouse, rat). Researchers also employ RACK1 antibodies to explore its tissue-specific functions, post-translational modifications, and therapeutic targeting potential in diseases. Their utility extends to diagnostic applications, particularly in cancer research, where RACK1 expression levels correlate with tumor progression and patient outcomes.

客户数据及评论

折叠内容

大包装询价

×