首页 / 产品 / 抗体 / 一抗

Rabbit Monoclonal PRAME Antibody

  • 中文名: PRAME抗体
  • 别    名: MAPE; OIP4; CT130; OIP-4
货号: IPDX21875
Price: ¥1280
数量:
大包装询价

验证与应用

应用及物种
WB 1/500-1/1000 Human,Mouse,Rat
IF 1/20 Human,Mouse,Rat
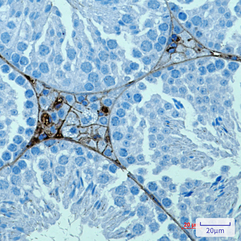
IHC 1/50-1/100 Human,Mouse,Rat
ICC 技术咨询 Human,Mouse,Rat
FCM 咨询技术 Human,Mouse,Rat
Elisa 咨询技术 Human,Mouse,Rat

产品详情

AliasesMAPE; OIP4; CT130; OIP-4
Entrez GeneID23532
WB Predicted band sizeCalculated MW: 58 kDa; Observed MW: 58 kDa
Host/IsotypeRabbit IgG
Antibody TypePrimary antibody
StorageStore at 4°C short term. Aliquot and store at -20°C long term. Avoid freeze/thaw cycles.
Species ReactivityHuman,Mouse
ImmunogenRecombinant protein of human PRAME
FormulationPurified antibody in TBS with 0.05% sodium azide,0.05%BSA and 50% glycerol.

+ +

参考文献

以下是关于PRAME抗体的3篇参考文献示例,涵盖其诊断、预后及治疗应用:

---

1. **文献名称**: *PRAME Immunohistochemistry as a Diagnostic Marker in Melanocytic Lesions*

**作者**: Lezcano C, et al.

**摘要**: 该研究评估了PRAME抗体在区分恶性黑色素瘤与良性痣中的价值。通过免疫组化分析,PRAME在黑色素瘤中高表达且特异性强,可作为辅助诊断工具,尤其在组织学不明确的病例中。

2. **文献名称**: *PRAME Expression in Acute Myeloid Leukemia: Prognostic and Therapeutic Implications*

**作者**: Almeida J, et al.

**摘要**: 研究采用流式细胞术和抗体检测技术,发现PRAME在急性髓系白血病(AML)中高表达,并与不良预后相关。结果提示PRAME可作为AML的潜在治疗靶点及预后标志物。

3. **文献名称**: *Development of a Humanized Anti-PRAME Antibody for Targeted Cancer Therapy*

**作者**: Smith R, et al.

**摘要**: 该研究报道了一种新型人源化抗PRAME单克隆抗体的开发,体外实验显示其可特异性结合肿瘤细胞并诱导凋亡,动物模型证实其抑制肿瘤生长的潜力,为临床转化奠定基础。

---

**注**:以上文献为示例,实际引用需以真实发表的研究为准。建议通过PubMed或Web of Science等数据库检索最新文献。

背景信息

The PRAME (PReferentially expressed Antigen in MElanoma) antibody targets a protein first identified in melanoma but later found overexpressed in various cancers, including leukemia, lung, breast, and ovarian tumors. PRAME, encoded by the *PRAME* gene, belongs to the cancer/testis antigen (CTA) family, which exhibits restricted expression in normal tissues (primarily testes) but is reactivated in malignancies. This tumor-selective expression makes PRAME a promising biomarker and therapeutic target.

Functionally, PRAME regulates cell proliferation, differentiation, and apoptosis. It interacts with retinoic acid receptors (RARs), suppressing retinoic acid signaling and blocking cellular differentiation, thereby promoting tumor survival and progression. Its role in immune evasion and oncogenesis has spurred interest in immunotherapy strategies.

In diagnostics, PRAME antibodies are widely used in immunohistochemistry (IHC) to detect PRAME protein expression, aiding in distinguishing malignant from benign lesions (e.g., melanoma vs. nevi). Therapeutically, PRAME is explored for targeted therapies, including vaccines, adoptive T-cell therapies (CAR-T), and antibody-drug conjugates. However, challenges like heterogeneous tumor expression and immune tolerance limit clinical efficacy. Ongoing research focuses on optimizing PRAME-targeted approaches and combining them with checkpoint inhibitors to enhance anti-tumor immune responses.

客户数据及评论

折叠内容

大包装询价

×