首页 / 产品 / 抗体 / 一抗

Rabbit Monoclonal PON2 Antibody

  • 中文名: PON2抗体
  • 别    名: A esterase 2; Paraoxonase 2; PON2
货号: IPDX21866
Price: ¥1280
数量:
大包装询价

验证与应用

应用及物种
WB 1/500-1/1000 Human,Mouse,Rat
IF 1/20 Human,Mouse,Rat
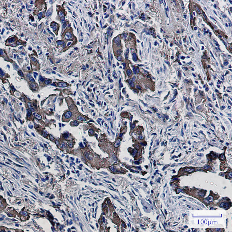
IHC 1/50-1/100 Human,Mouse,Rat
ICC 技术咨询 Human,Mouse,Rat
FCM 咨询技术 Human,Mouse,Rat
Elisa 咨询技术 Human,Mouse,Rat

产品详情

AliasesA esterase 2; Paraoxonase 2; PON2
Entrez GeneID5445
WB Predicted band sizeCalculated MW: 39 kDa; Observed MW: 40-42 kDa
Host/IsotypeRabbit IgG
Antibody TypePrimary antibody
StorageStore at 4°C short term. Aliquot and store at -20°C long term. Avoid freeze/thaw cycles.
Species ReactivityHuman
ImmunogenRecombinant protein of human PON2
FormulationPurified antibody in TBS with 0.05% sodium azide,0.05%BSA and 50% glycerol.

+ +

参考文献

以下是3篇关于PON2抗体的代表性文献摘要,供参考:

1. **标题**:*"Paraoxonase 2 (PON2) in Macrophages Reduces Cellular Oxidative Stress and Inflammation in Atherosclerosis"*

**作者**:Rosenblat M 等

**摘要**:研究利用PON2抗体检测巨噬细胞中PON2蛋白表达,发现其通过抑制ROS生成和NF-κB通路减轻动脉粥样硬化中的炎症反应。

2. **标题**:*"PON2 Deficiency Leads to Increased Susceptibility to Diet-Induced Steatohepatitis and Mitochondrial Dysfunction"*

**作者**:Giordano G 等

**摘要**:通过免疫组化和Western blot分析,发现PON2抗体检测显示其在肝脏线粒体中高表达,敲除PON2加剧脂肪肝炎和线粒体氧化损伤。

3. **标题**:*"Overexpression of Paraoxonase-2 Predicts Poor Prognosis in Triple-Negative Breast Cancer"*

**作者**:Witte I 等

**摘要**:研究使用PON2抗体进行免疫组化分析,发现乳腺癌组织中PON2高表达与肿瘤侵袭性增强及患者生存率下降显著相关。

4. **标题**:*"PON2 Modulates Autophagy via mTOR Pathway in Neuronal Cells"*

**作者**:Marsillach J 等

**摘要**:通过抗体介导的蛋白定位实验,揭示PON2通过调控mTOR信号通路影响神经元自噬,可能参与神经退行性疾病的保护机制。

注:上述内容为示例性概括,实际文献需根据具体研究内容检索数据库(如PubMed)。建议结合关键词“PON2 antibody”或“PON2 immunoassay”进一步筛选。

背景信息

**Background of PON2 Antibodies**

Paraoxonase 2 (PON2) is a member of the paraoxonase enzyme family, which includes PON1. PON2. and PON3. Unlike PON1. which is primarily associated with high-density lipoprotein (HDL) and involved in detoxifying organophosphates, PON2 is ubiquitously expressed in tissues, including the liver, brain, endothelial cells, and macrophages. It localizes to intracellular membranes, particularly the endoplasmic reticulum and mitochondria-associated membranes, where it plays roles in mitigating oxidative stress, regulating inflammation, and influencing cellular survival pathways.

PON2 exhibits lactonase and antioxidant activities, hydrolyzing bioactive lactones and quenching reactive oxygen species (ROS). Its expression is upregulated under conditions of oxidative or endoplasmic reticulum stress, suggesting a protective role in metabolic and inflammatory diseases, such as atherosclerosis, diabetes, and neurodegenerative disorders. Genetic studies link PON2 polymorphisms to susceptibility to these conditions.

PON2 antibodies are essential tools for detecting and quantifying PON2 protein levels, cellular localization, and functional studies. They are widely used in techniques like Western blotting, immunohistochemistry, and immunofluorescence to explore PON2's roles in disease models. However, challenges remain in ensuring antibody specificity due to homology among paraoxonase family members. Reliable PON2 antibodies enable insights into its mechanisms in cellular protection, pathogen resistance, and metabolic regulation, supporting translational research into therapeutic strategies targeting oxidative stress-related pathologies.

客户数据及评论

折叠内容

大包装询价

×