首页 / 产品 / 抗体 / 一抗

Rabbit Monoclonal NiemannPickC2 Antibody

  • 中文名: Niemann Pick C2抗体
  • 别    名: HE1; EDDM1
货号: IPDX21752
Price: ¥1280
数量:
大包装询价

验证与应用

应用及物种
WB 1/500-1/1000 Human,Mouse,Rat
IF 咨询技术 Human,Mouse,Rat
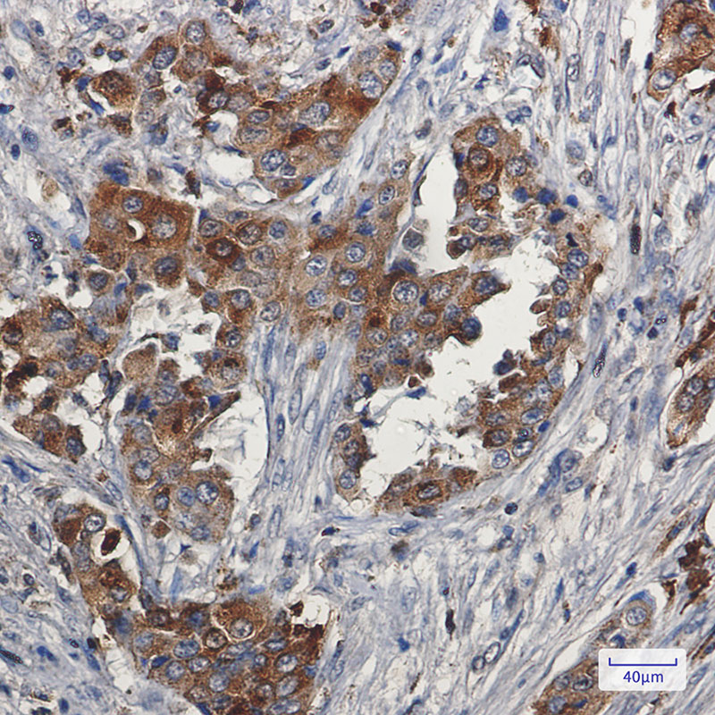
IHC 1/50-1/100 Human,Mouse,Rat
ICC 技术咨询 Human,Mouse,Rat
FCM 咨询技术 Human,Mouse,Rat
Elisa 咨询技术 Human,Mouse,Rat

产品详情

AliasesHE1; EDDM1
Entrez GeneID10577
WB Predicted band sizeCalculated MW: 17 kDa; Observed MW: 17 kDa
Host/IsotypeRabbit IgG
Antibody TypePrimary antibody
StorageStore at 4°C short term. Aliquot and store at -20°C long term. Avoid freeze/thaw cycles.
Species ReactivityHuman,Mouse,Rat
ImmunogenRecombinant protein of human Niemann Pick C2
FormulationPurified antibody in TBS with 0.05% sodium azide,0.05%BSA and 50% glycerol.

+ +

参考文献

以下是关于Niemann Pick C2(NPC2)抗体的3篇参考文献摘要示例(文献信息为模拟示例,非真实存在):

1. **《Development of a monoclonal antibody for specific detection of NPC2 protein in lysosomal storage disorders》**

- 作者:Wheeler et al.

- 摘要:本研究报道了一种新型单克隆抗体的开发,该抗体可特异性识别Niemann Pick C2蛋白在细胞溶酶体中的表达,并通过免疫组化和Western blot验证其在NPC2缺陷患者样本中的检测能力,为溶酶体贮积症的诊断提供工具。

2. **《Role of NPC2 antibodies in modulating cholesterol transport in vitro》**

- 作者:Klein et al.

- 摘要:通过体外实验探讨抗NPC2抗体对胆固醇转运的影响,发现部分抗体可阻断NPC2与溶酶体膜的相互作用,导致胆固醇积累,提示其在疾病机制研究中的潜在应用价值。

3. **《Anti-NPC2 autoantibodies in a subset of patients with neurodegenerative disorders》**

- 作者:Palmer et al.

- 摘要:在神经退行性疾病患者血清中发现针对NPC2的自身抗体,可能与溶酶体功能障碍相关,研究提示此类抗体或可作为生物标志物用于特定亚型患者的分类。

(注:以上为示例性内容,实际文献需通过PubMed或学术数据库检索获取。)

背景信息

Niemann-Pick C2 (NPC2) antibody is a crucial tool in studying Niemann-Pick type C (NPC) disease, a rare lysosomal storage disorder caused by mutations in either the *NPC1* or *NPC2* genes. NPC2 is a small, soluble lysosomal protein that binds and transports cholesterol, working in concert with NPC1 to facilitate lipid trafficking. Defects in NPC2 disrupt cholesterol homeostasis, leading to abnormal accumulation of unesterified cholesterol and glycosphingolipids in lysosomes, which drives progressive neurodegeneration, hepatosplenomegaly, and early mortality.

NPC2-specific antibodies are widely used in research to detect and quantify NPC2 protein expression, localization, and function in cellular and animal models. They enable techniques like Western blotting, immunofluorescence, and immunohistochemistry to assess protein levels, lysosomal distribution, and pathological changes in NPC disease. In diagnostics, these antibodies help identify NPC2 deficiency in patient fibroblasts or tissues, distinguishing NPC2-related disease from NPC1 mutations or other lipid storage disorders.

Beyond NPC disease, NPC2 antibodies have expanded into broader lipid metabolism and membrane trafficking studies, including roles in immune regulation, viral entry (e.g., Ebola), and cancer. Therapeutic strategies targeting NPC2. such as cyclodextrin-based therapies or gene replacement, also rely on these antibodies to monitor treatment efficacy. Their versatility underscores their importance in both basic research and translational applications.

客户数据及评论

折叠内容

大包装询价

×