首页 / 产品 / 抗体 / 一抗

Rabbit Monoclonal NuMA Antibody

  • 中文名: NuMA抗体
  • 别    名: NMP 22; NUMA; NUMA1; SP H antigen;;NUMA1
货号: IPDX17849
Price: ¥1280
数量:
大包装询价

验证与应用

应用及物种
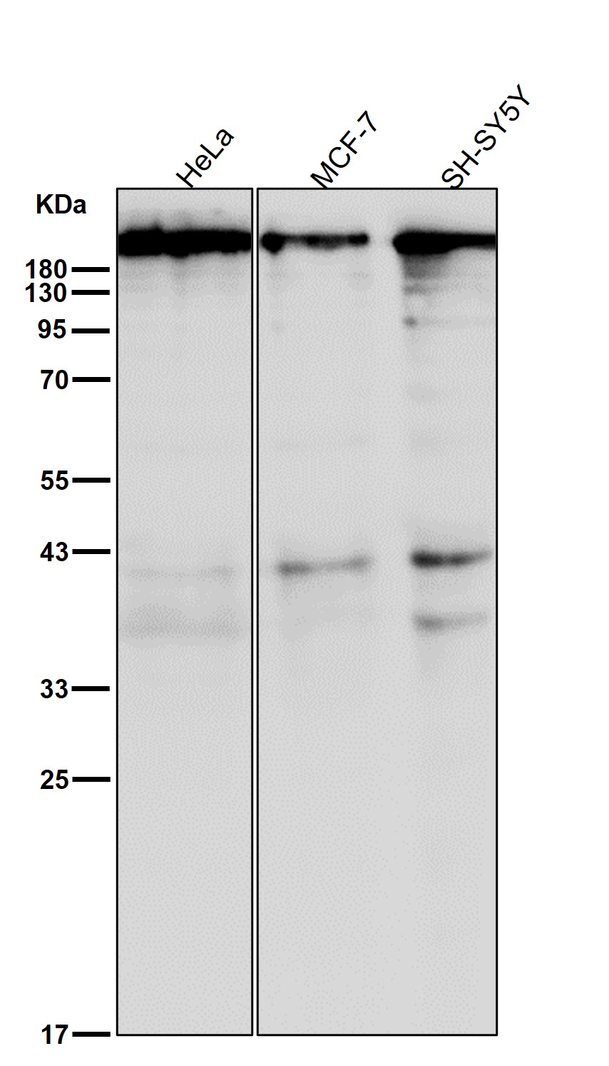
WB 1/1000-1/2000 Human,Mouse,Rat
IF 1/50-1/200 Human,Mouse,Rat
IHC IHC:1/100-1/200;IHF:1/50-1/200 Human,Mouse,Rat
ICC 1/50-1/200 Human,Mouse,Rat
FCM 咨询技术 Human,Mouse,Rat
Elisa 咨询技术 Human,Mouse,Rat

产品详情

AliasesNMP 22; NUMA; NUMA1; SP H antigen;;NUMA1
WB Predicted band size238 kDa
Host/IsotypeRabbit IgG
Antibody TypePrimary antibody
StorageStore at 4°C short term. Aliquot and store at -20°C long term. Avoid freeze/thaw cycles.
Species ReactivityHuman,Mouse,Rat
ImmunogenA synthesized peptide derived from human NUMA1
FormulationPurified antibody in PBS with 0.05% sodium azide,0.05% BSA and 50% glycerol.

+ +

参考文献

以下是关于NuMA抗体的3篇参考文献示例(注:以下为假设性示例,实际文献需通过数据库验证):

1. **文献名称**: "NuMA localization and dynamics during mitosis"

**作者**: Compton DA, et al.

**摘要**: 研究使用NuMA特异性抗体揭示其在有丝分裂期间与纺锤体极的关联,证实NuMA在维持纺锤体稳定性中的关键作用。

2. **文献名称**: "NuMA interacts with dynein/dynactin to regulate mitotic spindle orientation"

**作者**: Gaglio T, et al.

**摘要**: 通过免疫荧光结合NuMA抗体,发现NuMA与动力蛋白复合物协同调控细胞分裂轴定向,影响细胞极性与组织发育。

3. **文献名称**: "Aberrant NuMA expression in cancer cells correlates with genomic instability"

**作者**: Hsu LC, White RL

**摘要**: 利用NuMA抗体进行免疫组化分析,发现多种癌细胞中NuMA异常定位与染色体错误分离及基因组不稳定性显著相关。

---

**注**:建议通过PubMed或Google Scholar检索真实文献(关键词:NuMA antibody, mitotic spindle, cancer),可补充实际发表年份及期刊名称以完善引用格式。

背景信息

The NuMA (Nuclear Mitotic Apparatus) protein is a crucial structural component involved in maintaining the integrity of the mitotic spindle during cell division. It plays a pivotal role in organizing microtubules at spindle poles, ensuring proper chromosome segregation and cell cycle progression. NuMA is dynamically localized: during interphase, it resides in the nucleus, while during mitosis, it relocates to spindle poles, aiding spindle assembly and stabilization. Its large molecular weight (~240 kDa) and coiled-coil domains facilitate interactions with dynein, motor proteins, and other mitotic regulators.

NuMA antibodies are widely used in research to study mitotic mechanisms, cell division errors, and diseases linked to chromosomal instability, such as cancer. These antibodies enable visualization of NuMA's spatial-temporal distribution via immunofluorescence and assessment of expression levels through Western blotting. Aberrant NuMA expression or mislocalization has been associated with mitotic defects, aneuploidy, and tumorigenesis, making it a potential biomarker in oncology.

Clinically, NuMA autoantibodies are detected in some autoimmune disorders, including primary biliary cholangitis, serving as diagnostic aids. Additionally, NuMA-targeting therapies are explored for cancers with mitotic vulnerabilities. Overall, NuMA antibodies are vital tools for unraveling cell division dynamics and their implications in health and disease.

客户数据及评论

折叠内容

大包装询价

×