| WB | 1/1000-1/2000 | Human,Mouse,Rat |
| IF | 1/50-1/200 | Human,Mouse,Rat |
| IHC | IHC:1/100-1/200;IHF:1/50-1/200 | Human,Mouse,Rat |
| ICC | 1/50-1/200 | Human,Mouse,Rat |
| FCM | 1/20-1/100 | Human,Mouse,Rat |
| Elisa | 咨询技术 | Human,Mouse,Rat |
| Aliases | HES1; BHLHb39; HHL; HL; Hairy and enhancer of split 1; Hairy homolog; HRY; Hairy homolog (Drosophila); Transcription factor HES-1; Hairy-like protein; HES-1;;HES1 |
| WB Predicted band size | 30 kDa |
| Host/Isotype | Rabbit IgG |
| Antibody Type | Primary antibody |
| Storage | Store at 4°C short term. Aliquot and store at -20°C long term. Avoid freeze/thaw cycles. |
| Species Reactivity | Human,Mouse,Rat |
| Immunogen | A synthesized peptide derived from human HES1 |
| Formulation | Purified antibody in PBS with 0.05% sodium azide,0.05% BSA and 50% glycerol. |
+ +
All lanes use the Antibody at 1:1K dilution for 1 hour at room temperature.
All lanes use the Antibody at 1:2K dilution for 1 hour at room temperature.
All lanes use the Antibody at 1:2K dilution for 1 hour at room temperature.
Immunofluorescent analysis using the Antibody at 1:50 dilution.
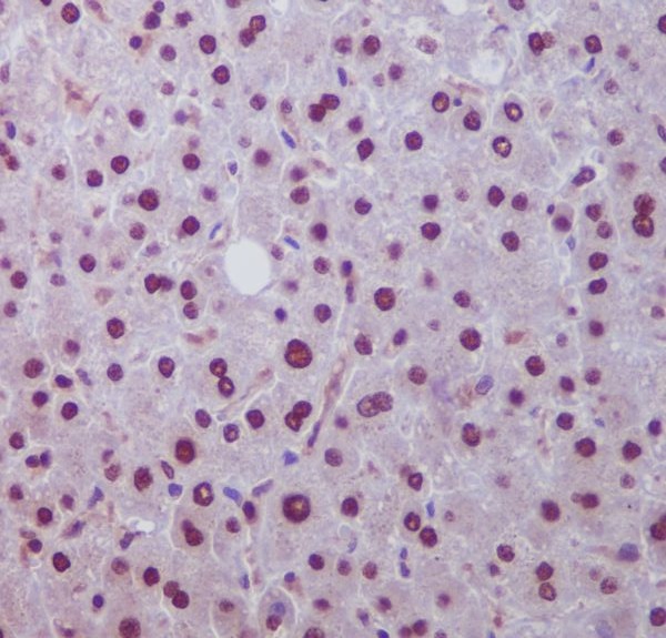
Immunohistochemical analysis of paraffin-embedded human liver, using Hes1 Antibody.
以下是关于Hes1抗体的3篇示例参考文献(仅供参考,实际文献请通过学术数据库查询):
---
1. **文献名称**: "Hes1 oscillations regulate stem cell maintenance in the nervous system"
**作者**: Hirata, H., et al.
**摘要**: 研究Hes1蛋白在神经干细胞中的振荡表达模式,通过特异性Hes1抗体进行免疫荧光染色和Western blot分析,揭示其周期性表达对干细胞自我更新的调控作用。
2. **文献名称**: "Notch-Hes1 signaling regulates pancreatic progenitor differentiation"
**作者**: Fujimoto, K., & Gu, G.
**摘要**: 利用Hes1抗体检测小鼠胰腺发育过程中Hes1的时空表达,证明Notch-Hes1通路通过抑制分化基因维持胰腺祖细胞的多能性。
3. **文献名称**: "Hes1 controls the proliferation and differentiation of intestinal stem cells"
**作者**: VanDussen, K.L., et al.
**摘要**: 通过免疫组化(Hes1抗体)和遗传学手段,发现Hes1在肠道隐窝干细胞中的表达动态,及其通过抑制分化基因维持干细胞库的作用。
---
**建议**:如需具体文献,可访问 **PubMed** 或 **Google Scholar**,输入关键词“Hes1 antibody Western blot”或“Hes1 immunohistochemistry”筛选近期研究。
The Hes1 antibody is a crucial tool in molecular and cellular biology research, targeting the Hairy and Enhancer of Split 1 (Hes1) protein, a basic helix-loop-helix (bHLH) transcriptional repressor. Hes1 is a key effector of the Notch signaling pathway, playing pivotal roles in developmental processes, including neurogenesis, somitogenesis, and stem cell maintenance. It regulates cell fate decisions by oscillating in expression and suppressing proneural genes, thereby maintaining progenitor cell populations and delaying differentiation.
The Hes1 antibody is widely used to detect Hes1 protein expression in various experimental applications, such as Western blotting, immunohistochemistry (IHC), immunofluorescence (IF), and flow cytometry. Researchers employ it to study tissue-specific Hes1 dynamics in development, cancer (e.g., glioblastoma, leukemia), and regenerative processes, as dysregulated Hes1 is linked to tumorigenesis and impaired differentiation.
Most commercially available Hes1 antibodies are raised in rabbits or mice using immunogenic peptides corresponding to conserved regions of the human Hes1 protein, with cross-reactivity validated in multiple species (e.g., human, mouse, rat). Specificity is often confirmed using Hes1 knockout controls or siRNA-mediated knockdown. Proper validation ensures reliable detection of Hes1's nuclear localization and its expression patterns in tissues like the brain, pancreas, and intestinal crypts. This antibody remains indispensable for unraveling Notch-Hes1 signaling mechanisms in health and disease.
×


