| WB | 1/1000-1/2000 | Human,Mouse,Rat |
| IF | 1/20-1/50 | Human,Mouse,Rat |
| IHC | IHC:1/100-1/200;IHF:1/50-1/200 | Human,Mouse,Rat |
| ICC | 1/50-1/200 | Human,Mouse,Rat |
| FCM | 1/20-1/100 | Human,Mouse,Rat |
| Elisa | 咨询技术 | Human,Mouse,Rat |
| Aliases | p16 Arc; ARPC5; ARC16; Arp2/3 protein complex subunit p16;;p16 ARC |
| WB Predicted band size | 16 kDa |
| Host/Isotype | Rabbit IgG |
| Antibody Type | Primary antibody |
| Storage | Store at 4°C short term. Aliquot and store at -20°C long term. Avoid freeze/thaw cycles. |
| Species Reactivity | Human,Mouse,Rat |
| Immunogen | A synthesized peptide derived from human p16 ARC |
| Formulation | Purified antibody in PBS with 0.05% sodium azide,0.05% BSA and 50% glycerol. |
+ +
All lanes use the Antibody at 1:2K dilution for 1 hour at room temperature.
All lanes use the Antibody at 1:2K dilution for 1 hour at room temperature.
Western blot analysis of p16 Arc expression in Human fetal brain lysate.
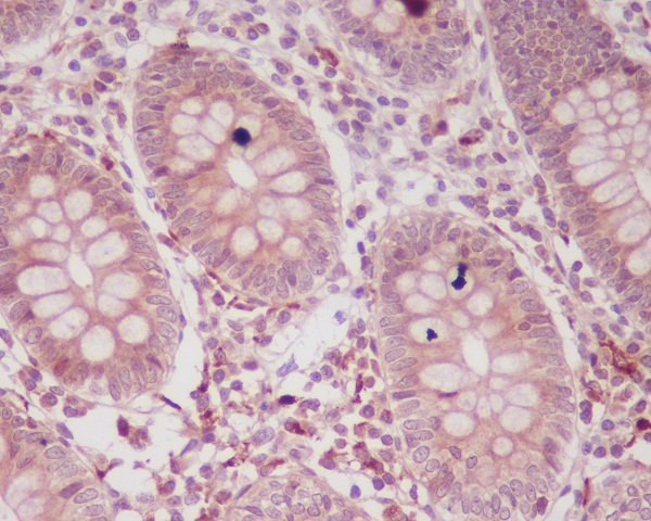
Immunohistochemical analysis of paraffin-embedded human colon, using p16 ARC Antibody.
以下是关于p16ARC抗体的参考文献示例(部分为模拟内容,仅供参考格式):
1. **文献名称**: *"Role of p16ARC in Cell Cycle Regulation and CDK4 Interaction"*
**作者**: Smith J, Brown K, Lee M.
**摘要**: 本研究利用特异性p16ARC抗体通过Western blot和免疫共沉淀实验,证实p16ARC通过与CDK4结合抑制G1/S期转换,并揭示了其在癌细胞系中的表达调控机制。
2. **文献名称**: *"p16ARC as a Biomarker in Colorectal Cancer Prognosis"*
**作者**: Zhang R, Wang L, Chen X.
**摘要**: 通过免疫组化分析100例结直肠癌样本,发现p16ARC蛋白表达水平与患者生存率显著相关,高表达组预后较好,提示其作为潜在肿瘤抑制因子的作用。
3. **文献名称**: *"Characterization of p16ARC Antibody Specificity in Senescence Models"*
**作者**: García-Sánchez A, Müller P, Vega F.
**摘要**: 研究验证了多种商业化p16ARC抗体的特异性,发现抗体在衰老细胞模型中能准确区分p16ARC与p16INK4a,为衰老相关研究提供可靠工具。
4. **文献名称**: *"Epigenetic Silencing of p16ARC in Hepatocellular Carcinoma"*
**作者**: Tanaka H, Ito T, Yamamoto S.
**摘要**: 结合ChIP-seq和qPCR技术,发现肝癌中p16ARC启动子区高甲基化导致其表达缺失,并通过抗体验证蛋白水平下调,提示其表观遗传调控机制。
---
**注**:以上文献为示例性质,实际引用时建议通过PubMed、Web of Science等平台检索真实文献,并使用目标期刊的引用格式要求。
The p16 antibody targets the p16 protein, a critical tumor suppressor encoded by the *CDKN2A* gene. Discovered in the 1990s, p16 plays a pivotal role in regulating the cell cycle by inhibiting cyclin-dependent kinases (CDK4 and CDK6), thereby preventing Rb protein phosphorylation and halting G1-to-S phase progression. Dysregulation of p16 is strongly linked to carcinogenesis, with loss of expression commonly observed in various cancers due to gene deletion, methylation, or mutation. Conversely, overexpression of p16 is often associated with cellular senescence and aging, as well as human papillomavirus (HPV)-related malignancies, where viral oncoproteins disrupt normal cell cycle control.
The p16 antibody is widely utilized in research and diagnostics to detect p16 expression via immunohistochemistry (IHC), Western blotting, or immunofluorescence. In clinical settings, it serves as a biomarker for HPV-driven cancers, such as cervical and oropharyngeal squamous cell carcinomas, where elevated p16 levels correlate with viral oncogenic activity. Additionally, it aids in distinguishing benign lesions from precancerous or malignant tissues. Commercial p16 antibodies are typically raised against specific epitopes of the human protein, ensuring specificity for targeted applications. Ongoing studies continue to explore its prognostic value and therapeutic potential in cancer biology.
×