| WB | 1/500-1/2000 | Human,Mouse,Rat |
| IF | 咨询技术 | Human,Mouse,Rat |
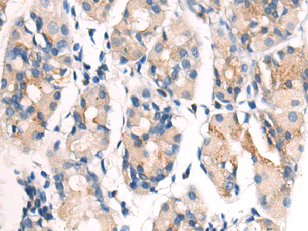
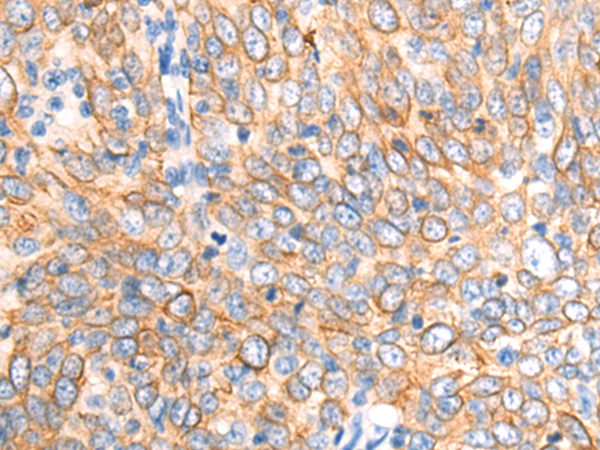
| IHC | 1/50-1/200 | Human,Mouse,Rat |
| ICC | 技术咨询 | Human,Mouse,Rat |
| FCM | 咨询技术 | Human,Mouse,Rat |
| Elisa | 1/5000-1/10000 | Human,Mouse,Rat |
| Aliases | MLA1; ME491; LAMP-3; OMA81H; TSPAN30 |
| WB Predicted band size | 26 kDa |
| Host/Isotype | Rabbit IgG |
| Antibody Type | Primary antibody |
| Storage | Store at 4°C short term. Aliquot and store at -20°C long term. Avoid freeze/thaw cycles. |
| Species Reactivity | Human, Mouse |
| Immunogen | Synthetic peptide of human CD63 |
| Formulation | Purified antibody in PBS with 0.05% sodium azide and 50% glycerol. |
+ +
以下是关于CD63抗体的3篇参考文献及其摘要的简洁总结:
1. **文献名称**: *CD63. a member of the tetraspanin family, is a marker of exosomes in dendritic cells*
**作者**: Escola et al. (1998)
**摘要**: 该研究首次将CD63鉴定为树突状细胞外泌体的特异性标记物,证明其通过溶酶体分选途径参与外泌体形成,并用于免疫调控研究。
2. **文献名称**: *Tetraspanin CD63 regulates antigen-induced T cell activation*
**作者**: Pols & Klumperman (2009)
**摘要**: 揭示了CD63通过调控MHC-II类分子在抗原呈递细胞内的运输,影响T细胞活化,为免疫应答机制提供了分子层面的解释。
3. **文献名称**: *CD63 as a biomarker for the detection of extracellular vesicles in human tissues*
**作者**: Kowal et al. (2016)
**摘要**: 系统性评估了CD63抗体在细胞外囊泡(EVs)检测中的广泛应用,同时指出其作为通用标记物的局限性(如组织特异性表达差异)。
这些文献覆盖了CD63在外泌体标记、免疫调控及生物标记物应用中的关键研究,可为抗体实验设计提供理论依据。
CD63 antibody is a widely used tool in biomedical research targeting the CD63 protein, a member of the tetraspanin superfamily. CD63. also known as lysosomal-associated membrane protein 3 (LAMP-3), is a transmembrane glycoprotein enriched in late endosomes, lysosomes, and exosomes. It plays roles in intracellular trafficking, membrane remodeling, and cell-cell interactions by organizing molecular complexes via its tetraspanin domains. CD63 is also a recognized marker of exosomes, extracellular vesicles critical in intercellular communication, making CD63 antibodies essential for exosome isolation and characterization.
In cancer biology, CD63 expression has been linked to tumor progression, metastasis, and drug resistance, with its levels varying across malignancies. CD63 antibodies aid in studying these processes and validating exosome-related pathways. Additionally, CD63 is implicated in immune regulation, including platelet activation and leukocyte functions, highlighting its relevance in inflammation and immune disorders.
CD63 antibodies are available in monoclonal and polyclonal forms, optimized for techniques like flow cytometry, immunofluorescence, Western blot, and immunohistochemistry. Some antibodies specifically recognize glycosylated or non-glycosylated epitopes, depending on the target application. Recent studies also explore CD63 as a therapeutic target, particularly in exosome-based drug delivery systems. Despite its widespread use, researchers must validate antibody specificity due to potential cross-reactivity with other tetraspanins or isoforms.
×