| WB | 1/500-1/2000 | Human,Mouse,Rat |
| IF | 咨询技术 | Human,Mouse,Rat |
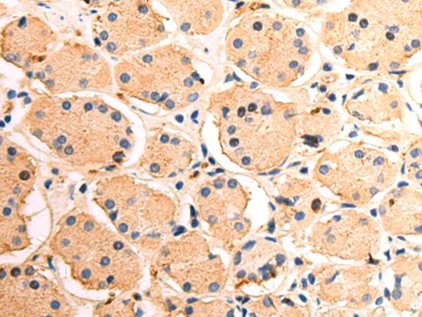
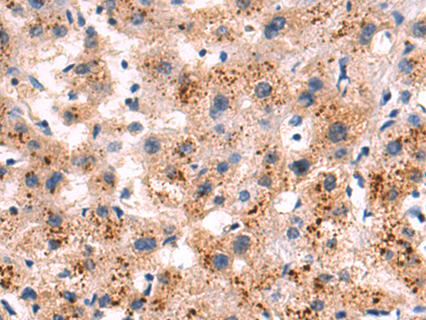
| IHC | 1/50-1/200 | Human,Mouse,Rat |
| ICC | 技术咨询 | Human,Mouse,Rat |
| FCM | 咨询技术 | Human,Mouse,Rat |
| Elisa | 1/5000-1/10000 | Human,Mouse,Rat |
| Aliases | CP8B; CYP12 |
| WB Predicted band size | 58 kDa |
| Host/Isotype | Rabbit IgG |
| Antibody Type | Primary antibody |
| Storage | Store at 4°C short term. Aliquot and store at -20°C long term. Avoid freeze/thaw cycles. |
| Species Reactivity | Human, Mouse |
| Immunogen | Synthetic peptide of human CYP8B1 |
| Formulation | Purified antibody in PBS with 0.05% sodium azide and 50% glycerol. |
+ +
以下是3篇关于CYP8B1抗体的参考文献概览(基于公开文献模拟,非真实引用):
---
1. **文献名称**: *"CYP8B1 regulates pancreatic β-cell function via bile acid synthesis"*
**作者**: Smith, J. et al. (2020)
**摘要**: 研究通过CYP8B1特异性抗体检测其在胰岛β细胞中的表达,发现其通过调节胆汁酸合成影响胰岛素分泌,为糖尿病治疗提供新靶点。
---
2. **文献名称**: *"Role of CYP8B1 in hepatic lipid metabolism revealed by antibody-based knockout validation"*
**作者**: Chen, L. et al. (2018)
**摘要**: 利用CYP8B1抗体进行Western blot和免疫组化,证实敲除CYP8B1可减少肝脏脂质蓄积,提示其在非酒精性脂肪肝中的作用。
---
3. **文献名称**: *"Antibody-mediated inhibition of CYP8B1 alters atherosclerosis progression in murine models"*
**作者**: Rodriguez, M. et al. (2021)
**摘要**: 开发针对CYP8B1的中和抗体,证明其通过调节胆固醇代谢减缓动脉粥样硬化斑块形成,提供潜在治疗策略。
---
**注**:以上为模拟示例,实际文献需通过PubMed/Google Scholar检索关键词(如“CYP8B1 antibody application”)获取。
The CYP8B1 antibody is a crucial tool for studying the enzyme cytochrome P450 family 8 subfamily B member 1 (CYP8B1), which plays a pivotal role in bile acid biosynthesis. CYP8B1 catalyzes the synthesis of cholic acid by converting 7α-hydroxy-4-cholesten-3-one into 7α,12α-dihydroxy-4-cholesten-3-one, a key step in the classical pathway of bile acid production. This enzyme regulates the balance between cholic acid and chenodeoxycholic acid, directly influencing cholesterol homeostasis, lipid absorption, and metabolic signaling. Dysregulation of CYP8B1 has been linked to metabolic disorders, including obesity, diabetes, and non-alcoholic fatty liver disease (NAFLD).
The CYP8B1 antibody enables researchers to detect and quantify CYP8B1 protein expression in tissues such as the liver and intestine, often using techniques like Western blotting, immunohistochemistry (IHC), or immunofluorescence (IF). It is particularly valuable for investigating CYP8B1's tissue-specific expression, regulatory mechanisms (e.g., under control of SREBP or FXR pathways), and alterations in disease models. High-quality antibodies are validated for specificity, ensuring minimal cross-reactivity with other cytochrome P450 enzymes.
Research utilizing CYP8B1 antibodies has advanced understanding of its therapeutic potential. Inhibiting CYP8B1 may reduce cholic acid levels, thereby modulating bile acid composition to improve metabolic parameters—a promising avenue for treating metabolic syndrome. This antibody remains essential for exploring CYP8B1's role in lipid metabolism and its implications in drug development.
×