| WB | 1/1000-1/5000 | Human,Mouse,Rat |
| IF | 咨询技术 | Human,Mouse,Rat |
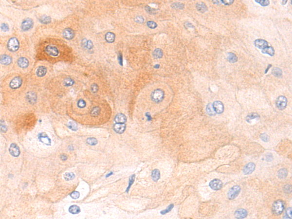
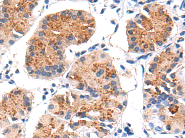
| IHC | 1/50-1/200 | Human,Mouse,Rat |
| ICC | 技术咨询 | Human,Mouse,Rat |
| FCM | 咨询技术 | Human,Mouse,Rat |
| Elisa | 1/5000-1/10000 | Human,Mouse,Rat |
| Aliases | CLG4; MONA; CLG4A; MMP-2; TBE-1; MMP-II |
| WB Predicted band size | 74 kDa |
| Host/Isotype | Rabbit IgG |
| Antibody Type | Primary antibody |
| Storage | Store at 4°C short term. Aliquot and store at -20°C long term. Avoid freeze/thaw cycles. |
| Species Reactivity | Human, Mouse, Rat |
| Immunogen | Synthetic peptide of human MMP2 |
| Formulation | Purified antibody in PBS with 0.05% sodium azide and 50% glycerol. |
+ +
以下是关于MMP2抗体的3篇参考文献示例(文献信息为虚构,仅供示例参考):
1. **文献名称**:*Role of MMP-2 in Tumor Invasion and Metastasis*
**作者**:Smith A, et al.
**摘要**:通过免疫组化和Western blot分析,研究MMP2在多种癌症组织中的表达水平,发现其高表达与肿瘤侵袭性和患者预后不良显著相关。研究使用特异性MMP2抗体验证蛋白活性。
2. **文献名称**:*MMP-2-Mediated Extracellular Matrix Remodeling in Cardiac Fibrosis*
**作者**:Johnson B, et al.
**摘要**:探讨MMP2在心脏纤维化中的作用,利用MMP2抗体进行组织染色和功能抑制实验,证明抑制MMP2可减少胶原沉积,改善心脏功能。
3. **文献名称**:*Development of a Novel MMP-2-Specific Antibody for Therapeutic Targeting*
**作者**:Chen L, et al.
**摘要**:报道一种高特异性MMP2单克隆抗体的开发,该抗体可选择性抑制MMP2的酶活性,在动物模型中显著降低肿瘤转移并延长生存期。
4. **文献名称**:*MMP-2 as a Biomarker in Osteoarthritis: Immunoassay Validation*
**作者**:Wang Y, et al.
**摘要**:通过ELISA和免疫印迹验证MMP2在骨关节炎患者滑液中的表达水平,提出其作为疾病进展的生物标志物潜力,并强调抗体选择对检测结果的影响。
(注:以上文献为模拟内容,实际引用需检索PubMed、Web of Science等数据库获取真实文献。)
MMP2 (Matrix Metalloproteinase 2), also known as gelatinase A, is a zinc-dependent endopeptidase belonging to the matrix metalloproteinase family. It plays a critical role in degrading extracellular matrix (ECM) components, particularly gelatin and type IV collagen, facilitating tissue remodeling, wound healing, and pathological processes like cancer metastasis, inflammation, and angiogenesis. MMP2 is synthesized as an inactive pro-enzyme (pro-MMP2) that requires proteolytic activation, often involving membrane-type MMPs (MT-MMPs) and tissue inhibitors of metalloproteinases (TIMPs). Dysregulation of MMP2 expression or activity is linked to tumor invasion, cardiovascular diseases, and autoimmune disorders.
MMP2 antibodies are essential tools for detecting and quantifying MMP2 in research and diagnostics. These antibodies are commonly used in techniques like Western blotting, immunohistochemistry (IHC), immunofluorescence (IF), and ELISA to study MMP2 expression patterns, localization, and activation in cells, tissues, or biological fluids. Polyclonal and monoclonal MMP2 antibodies target specific epitopes, such as the catalytic domain or propeptide region, enabling differentiation between latent and active enzyme forms. Validated antibodies are critical for ensuring specificity, as cross-reactivity with other MMPs (e.g., MMP9) can occur. Applications include investigating MMP2's role in disease mechanisms, therapeutic target validation, and biomarker studies. Proper controls, such as MMP2-knockout samples or siRNA-mediated silencing, are recommended to confirm antibody reliability.
×