| WB | 1/500-1/2000 | Human,Mouse,Rat |
| IF | 咨询技术 | Human,Mouse,Rat |
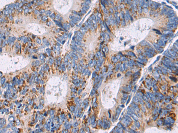
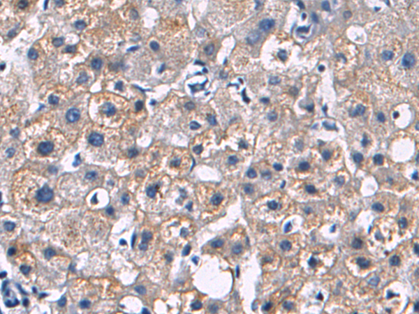
| IHC | 1/50-1/100 | Human,Mouse,Rat |
| ICC | 技术咨询 | Human,Mouse,Rat |
| FCM | 咨询技术 | Human,Mouse,Rat |
| Elisa | 1/5000-1/10000 | Human,Mouse,Rat |
| Aliases | CDF; HGF; HSF; BSF2; IL-6; BSF-2; IFNB2; IFN-beta-2 |
| WB Predicted band size | 24 kDa |
| Host/Isotype | Rabbit IgG |
| Antibody Type | Primary antibody |
| Storage | Store at 4°C short term. Aliquot and store at -20°C long term. Avoid freeze/thaw cycles. |
| Species Reactivity | Human |
| Immunogen | Fusion protein of human IL6 |
| Formulation | Purified antibody in PBS with 0.05% sodium azide and 50% glycerol. |
+ +
以下是3篇关于IL6抗体的经典文献及其摘要概要:
---
1. **文献名称**:*Interleukin-6 in inflammatory and autoimmune diseases*
**作者**:Tanaka, T., Narazaki, M., & Kishimoto, T.
**摘要**:综述IL6信号通路在类风湿关节炎、克罗恩病等炎症和自身免疫疾病中的作用,提出IL6受体抗体(如托珠单抗)通过阻断IL6信号缓解炎症反应的机制。
---
2. **文献名称**:*Tocilizumab in patients with severe COVID-19: a randomised controlled trial*
**作者**:RECOVERY Collaborative Group
**摘要**:临床试验表明,IL6受体抗体托珠单抗可降低COVID-19重症患者的死亡率,尤其对需机械通气的患者效果显著,证实IL6过度释放与细胞因子风暴的关联。
---
3. **文献名称**:*Siltuximab for multicentric Castleman’s disease: a randomised study*
**作者**:van Rhee, F., et al.
**摘要**:针对IL6本身的单抗司妥昔单抗(Siltuximab)的III期试验显示,其可显著改善多中心Castleman病患者的症状和影像学异常,验证IL6作为治疗靶点的有效性。
---
4. **文献名称**:*Targeting IL-6 trans-signalling: past, present and future prospects*
**作者**:Jones, S.A., & Jenkins, B.J.
**摘要**:探讨IL6经典信号与反式信号通路的差异,提出新一代IL6抗体通过选择性抑制反式信号减少副作用(如感染风险),为精准治疗提供理论依据。
---
这些文献覆盖了IL6抗体的基础机制、临床应用及新兴研究方向,适合快速了解该领域的关键进展。
Interleukin-6 (IL-6) is a multifunctional cytokine involved in immune regulation, inflammation, hematopoiesis, and tissue repair. Dysregulated IL-6 signaling is linked to chronic inflammatory diseases (e.g., rheumatoid arthritis), autoimmune disorders, and cancers. IL-6 exerts effects by binding to membrane-bound or soluble IL-6 receptors (IL-6R), activating downstream JAK/STAT and MAPK pathways. Elevated IL-6 levels correlate with disease severity, making it a therapeutic target.
IL-6 antibodies are monoclonal antibodies designed to neutralize IL-6 or block its receptor. Tocilizumab and sarilumab target IL-6R, inhibiting IL-6-mediated signaling, and are approved for rheumatoid arthritis, cytokine release syndrome (CRS), and COVID-19. Siltuximab, a direct IL-6 antagonist, is used for multicentric Castleman disease. These antibodies reduce inflammation, alleviate symptoms, and improve clinical outcomes. However, they may suppress immune defenses, increasing infection risks.
Research continues to expand their applications, including oncology (e.g., multiple myeloma) and neurodegenerative conditions. Novel IL-6 pathway inhibitors, like olokizumab (targeting IL-6 ligand), are under investigation to enhance specificity and reduce side effects. Despite therapeutic success, challenges remain in optimizing dosing, managing resistance, and understanding long-term safety. IL-6 antibodies exemplify targeted biologic therapies reshaping treatment paradigms for complex inflammatory and proliferative disorders.
×