首页 / 产品 / 抗体 / 内参抗体

Mouse Monoclonal PCNA Antibody

  • 中文名: PCNA抗体
  • 别    名: nan
货号: 30453IPDX
Price: ¥780
数量:
大包装询价

验证与应用

应用及物种
WB 1/500 - 1/2000 Human,Mouse,Rat
IF 咨询技术 Human,Mouse,Rat
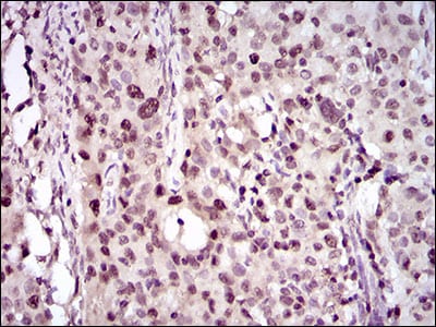
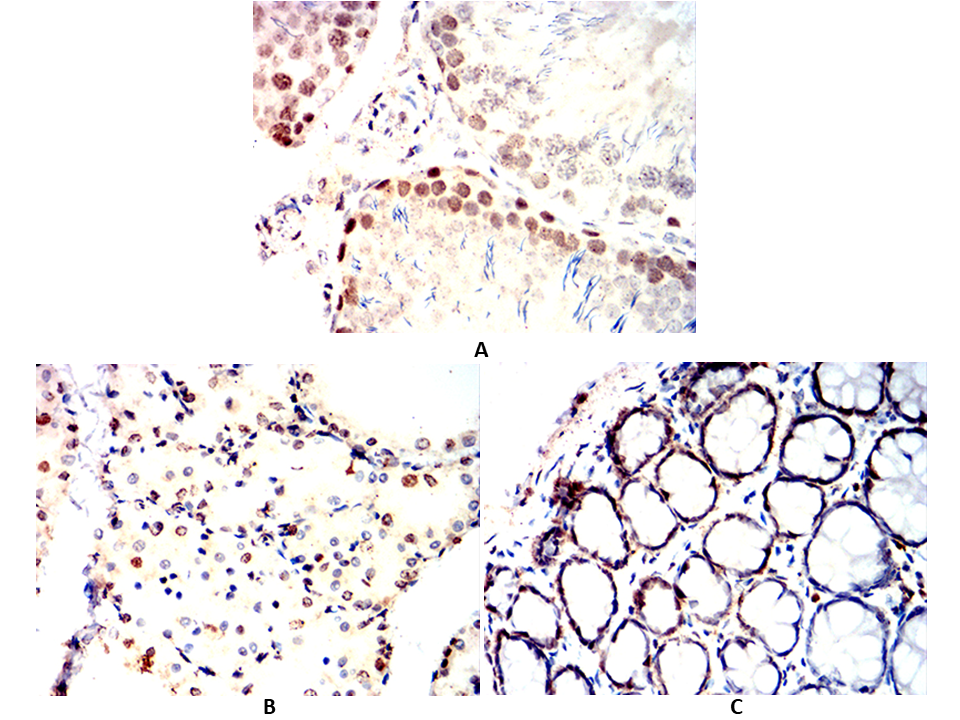
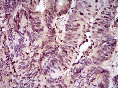
IHC 1/100 - 1/500 Human,Mouse,Rat
ICC 技术咨询 Human,Mouse,Rat
FCM 1/200 - 1/400 Human,Mouse,Rat
Elisa 1/10000 Human,Mouse,Rat

产品详情

Entrez GeneID5111
clone7H4F8
WB Predicted band size28.7kDa
Host/IsotypeMouse IgG1
Antibody TypeLoading Control Antibody
StorageStore at 4°C short term. Aliquot and store at -20°C long term. Avoid freeze/thaw cycles.
Species ReactivityHuman,Mouse,Rat,Rabbit,Monkey
ImmunogenPurified recombinant fragment of human PCNA (AA: 53-196 ) expressed in E. Coli.
FormulationPurified antibody in PBS with 0.05% sodium azide

+ +

参考文献

以下是3-4篇关于PCNA抗体的经典及研究应用相关的文献示例(简要概括):

---

1. **文献名称**:*Identity of the proliferating cell nuclear antigen and cyclin*

**作者**:Tan, E. M. 等

**摘要**:该研究首次克隆并鉴定了人类PCNA的cDNA,揭示了PCNA在细胞增殖中的核心作用,并开发了特异性抗体用于检测其在细胞核中的表达,为后续研究提供了关键工具。

2. **文献名称**:*Expression of proliferating cell nuclear antigen (PCNA) during the cell cycle*

**作者**:Bravo, R., Celso, L.

**摘要**:通过单克隆抗体分析PCNA在细胞周期中的动态表达,发现其在S期显著富集,成为细胞增殖的标志物,为癌症和再生医学研究奠定基础。

3. **文献名称**:*Prognostic value of PCNA in colorectal cancer: A meta-analysis*

**作者**:Kubben, F. J. 等

**摘要**:通过免疫组化分析PCNA在结直肠癌中的表达水平,发现其高表达与患者预后不良相关,验证了PCNA抗体在临床肿瘤分型和预后评估中的应用价值。

4. **文献名称**:*PCNA structure and function: Insights from structural studies*

**作者**:Choe, K. N., Würtele, H.

**摘要**:综述了PCNA的三维结构及其在DNA修复和表观遗传调控中的多功能性,强调特异性抗体在解析其相互作用和疾病机制中的重要性。

---

以上文献涵盖了PCNA抗体的基础研究、临床转化及结构功能分析,适用于实验室检测方法开发或疾病机制研究。如需具体期刊信息或更新文献,可进一步补充检索条件。

背景信息

Proliferating Cell Nuclear Antigen (PCNA) is a highly conserved, ring-shaped protein that plays a central role in DNA replication, repair, and cell cycle regulation. Acting as a sliding clamp, PCNA forms a homotrimeric complex that encircles DNA, providing a platform for recruiting enzymes such as DNA polymerases, ligases, and helicases. Its expression peaks during the S phase of the cell cycle, making it a widely used marker for proliferating cells.

PCNA-specific antibodies are essential tools in biomedical research and diagnostics. They enable the detection and quantification of proliferating cells in tissues, particularly in cancer studies, where PCNA levels correlate with tumor aggressiveness and prognosis. These antibodies are employed in techniques like immunohistochemistry (IHC), immunofluorescence (IF), and Western blotting to assess cell proliferation status. Monoclonal antibodies (e.g., clone PC10) are commonly used due to their high specificity.

Beyond basic research, PCNA antibodies aid in understanding DNA damage response mechanisms, as PCNA undergoes post-translational modifications (e.g., ubiquitination) to recruit repair proteins. Challenges include cross-reactivity with bacterial proteins in some applications and variability in staining protocols. Despite this, PCNA remains a cornerstone biomarker for studying cell proliferation dynamics in health and disease.

客户数据及评论

折叠内容

大包装询价

×