首页 / 产品 / 抗体 / 内参抗体

Mouse Monoclonal TUBB1 Antibody

  • 中文名: TUBB1抗体
  • 别    名: M40; TUBB1; TUBB5; CDCBM6; CSCSC1; OK/SW-cl.56
货号: IPD32176
Price: ¥780
数量:
大包装询价

验证与应用

应用及物种
WB 1/1000 - 1/2000 Human, Mouse, Monkey
IF 咨询技术 Human, Mouse, Monkey
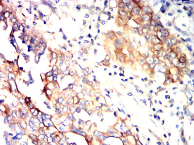
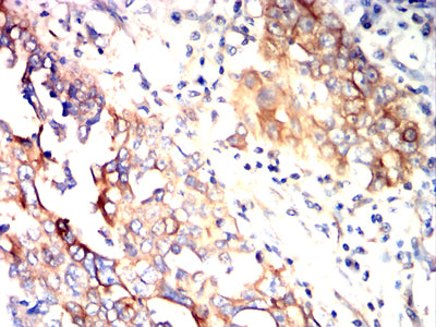
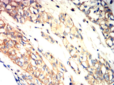
IHC 1/200 - 1/1000 Human, Mouse, Monkey
ICC 1/200 - 1/1000 Human, Mouse, Monkey
FCM 1/200 - 1/400 Human, Mouse, Monkey
Elisa 1/10000 Human, Mouse, Monkey

产品详情

AliasesM40; TUBB1; TUBB5; CDCBM6; CSCSC1; OK/SW-cl.56
Entrez GeneID203068
clone4D4G6
WB Predicted band size50.3kDa
Host/IsotypeMouse IgG1
Antibody TypeLoading Control Antibody
StorageStore at 4°C short term. Aliquot and store at -20°C long term. Avoid freeze/thaw cycles.
Species ReactivityHuman, Mouse, Monkey
ImmunogenPurified recombinant fragment of human TUBB1 (AA: 1-444) expressed in E. Coli.
FormulationPurified antibody in PBS with 0.05% sodium azide

+ +

参考文献

以下是3篇关于TUBB1抗体的参考文献及其摘要概括:

1. **"Mutations in the β1-tubulin gene associated with inherited macrothrombocytopenia"**

- **作者**: Kunishima S, et al.

- **摘要**: 该研究通过基因测序发现TUBB1基因突变与遗传性巨血小板减少症相关,并利用TUBB1特异性抗体进行免疫荧光和Western blot分析,证实突变导致β1-微管蛋白在巨核细胞中异常聚集,影响血小板生成。

2. **"β1-Tubulin is essential for platelet formation"**

- **作者**: Stærkaeth J, et al.

- **摘要**: 通过构建TUBB1敲除小鼠模型,结合TUBB1抗体的免疫组化和流式细胞术,研究发现β1-微管蛋白缺失会导致血小板数量显著减少,且巨核细胞微管结构紊乱,揭示了其在血小板生成中的关键作用。

3. **"A novel TUBB1 mutation disrupting microtubule dynamics in a family with macrothrombocytopenia"**

- **作者**: Freson K, et al.

- **摘要**: 该文献报道了一个新的TUBB1错义突变(R318W),通过抗体验证突变蛋白在患者血小板中的异常定位,并利用体外微管聚合实验证明该突变破坏微管动态稳定性,导致血小板形态异常。

4. **"TUBB1 variants and human platelet phenotypes"**

- **作者**: Jansen S, et al.

- **摘要**: 系统性综述了TUBB1基因变异与血小板表型的关联,总结了利用TUBB1抗体在细胞成像和蛋白质表达分析中的实验结果,强调其在诊断遗传性血小板疾病中的潜在价值。

以上文献均涉及TUBB1抗体在基因突变分析、蛋白定位及功能研究中的应用,覆盖血小板生成障碍和遗传性疾病领域。

背景信息

The TUBB1 antibody is a crucial tool for studying β1-tubulin, a protein encoded by the *TUBB1* gene, which belongs to the β-tubulin family. β-tubulins are essential components of microtubules, dynamic cytoskeletal structures involved in cell division, intracellular transport, and maintaining cell shape. TUBB1 is predominantly expressed in platelets and megakaryocytes, where it plays a specialized role in microtubule assembly during proplatelet formation—a critical step in platelet production. Mutations in *TUBB1* are linked to inherited macrothrombocytopenia, a bleeding disorder characterized by enlarged, dysfunctional platelets.

The TUBB1 antibody enables researchers to detect and quantify β1-tubulin expression in various experimental models, aiding investigations into platelet biology, megakaryocyte differentiation, and related pathologies. It is widely used in techniques like Western blotting, immunofluorescence, and immunohistochemistry to visualize microtubule dynamics in cellular and tissue contexts. Specificity is a key consideration, as tubulin isoforms share high homology; thus, validated TUBB1 antibodies are essential to avoid cross-reactivity with other β-tubulin family members.

Research applications extend to studying cancer, as altered tubulin expression may influence tumor progression or drug resistance. Additionally, TUBB1 antibodies contribute to understanding developmental disorders and evaluating therapeutic targets for platelet-related diseases. Proper controls and isoform-specific validation remain critical for accurate interpretation of results.

客户数据及评论

折叠内容

大包装询价

×