| WB | 1/500 - 1/2000 | Human,Mouse,Rat |
| IF | 咨询技术 | Human,Mouse,Rat |
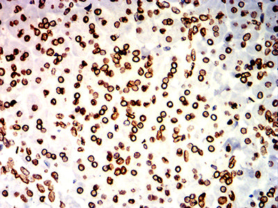
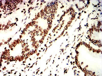
| IHC | 1/200 - 1/1000 | Human,Mouse,Rat |
| ICC | 1/200 - 1/1000 | Human,Mouse,Rat |
| FCM | 1/200 - 1/400 | Human,Mouse,Rat |
| Elisa | 1/10000 | Human,Mouse,Rat |
| Aliases | LMN;ADLD;LMN2; LMNB;MCPH26 |
| Entrez GeneID | 4001 |
| clone | 2B11D5 |
| WB Predicted band size | 66.4kDa |
| Host/Isotype | Mouse IgG1 |
| Antibody Type | Loading Control Antibody |
| Storage | Store at 4°C short term. Aliquot and store at -20°C long term. Avoid freeze/thaw cycles. |
| Species Reactivity | Human |
| Immunogen | Purified recombinant fragment of human LMNB1 (AA: 413-583) expressed in HEK293-6e cells supernatant. |
| Formulation | Purified antibody in PBS with 0.05% sodium azide |
+ +
以下是关于LMNB1抗体的3篇参考文献,内容简要概括如下:
---
1. **文献名称**:*Lamin B1 loss promotes cellular senescence and predicts aging-related pathologies*
**作者**:Freund, A. et al.
**摘要**:研究通过LMNB1抗体检测发现,Lamin B1表达随细胞衰老显著下降,其缺失导致核结构异常并激活促炎因子,提示其与衰老及相关疾病(如动脉粥样硬化)的关联。
2. **文献名称**:*Nuclear envelope disruption triggers hallmarks of aging in lung cancer cells*
**作者**:Vargas, J.D. et al.
**摘要**:利用LMNB1抗体观察肺癌细胞核纤层变化,发现核膜破裂引发DNA损伤和衰老表型,表明LMNB1异常可能驱动肿瘤微环境中的细胞老化。
3. **文献名称**:*Lamin B1 is required for mature neuron-specific gene expression*
**作者**:Yang, S.H. et al.
**摘要**:通过LMNB1抗体标记,发现神经元分化过程中Lamin B1水平动态变化,其缺失影响神经元基因表达,提示其在神经发育及退行性疾病中的作用。
---
以上研究均利用LMNB1抗体探索其在细胞衰老、癌症及神经功能中的机制,涵盖基础研究与疾病模型应用。
LMNB1 antibody is a key tool in studying the nuclear lamina, a structural framework critical for maintaining nuclear integrity and regulating cellular processes. LMNB1 (Lamin B1) is a member of the B-type lamin family, proteins essential for organizing chromatin, anchoring nuclear pore complexes, and facilitating DNA replication and repair. Unlike A-type lamins (e.g., LMNA/C), which are expressed in differentiated cells, LMNB1 is ubiquitously present across cell types and throughout the cell cycle, making it a marker for studying nuclear architecture in proliferating cells.
Researchers commonly use LMNB1 antibodies in techniques like immunofluorescence, Western blotting, and immunohistochemistry to visualize nuclear morphology, assess cell cycle stages, or investigate diseases linked to lamin dysfunction. For example, LMNB1 downregulation is associated with cellular senescence, aging, and certain cancers, while its overexpression may correlate with poor prognosis in malignancies. The antibody also aids in studying developmental disorders, such as laminopathies, and neurodegenerative conditions where nuclear envelope defects are implicated.
Most LMNB1 antibodies are raised against conserved epitopes, often in rabbits or mice, with monoclonal versions offering higher specificity. Validation steps, including knockout cell lines or siRNA knockdown, are crucial to confirm target specificity, as cross-reactivity with other lamins (e.g., LMNB2) can occur. Overall, LMNB1 antibodies serve as vital reagents for exploring nuclear dynamics, disease mechanisms, and potential therapeutic targets.
×