| WB | 1/500 - 1/2000 | Human,Mouse,Rat |
| IF | 咨询技术 | Human,Mouse,Rat |
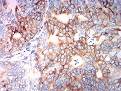
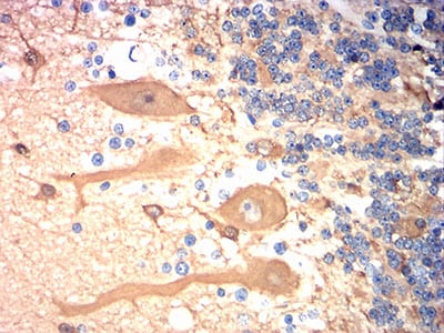
| IHC | 1/200 - 1/1000 | Human,Mouse,Rat |
| ICC | 技术咨询 | Human,Mouse,Rat |
| FCM | 1/200 - 1/400 | Human,Mouse,Rat |
| Elisa | 1/10000 | Human,Mouse,Rat |
| Aliases | CDCBM, CDCBM1, CFEOM3, CFEOM3A, FEOM3, TUBB4, beta-4 |
| Entrez GeneID | 10381 |
| clone | 8E3A7 |
| WB Predicted band size | 50kDa |
| Host/Isotype | Mouse IgG1 |
| Antibody Type | Loading Control Antibody |
| Storage | Store at 4°C short term. Aliquot and store at -20°C long term. Avoid freeze/thaw cycles. |
| Species Reactivity | Human, Mouse |
| Immunogen | 436-450:cMYEDDEEESEAQGPK |
| Formulation | Purified antibody in PBS with 0.05% sodium azide |
+ +
以下是关于TUBB3抗体的3篇代表性文献(信息基于公开研究整理):
1. **文献名称**: *"TUBB3 expression in ovarian cancer enhances tumor aggressiveness through microtubule dynamics regulation"*
**作者**: Bhattacharya, R. et al.
**摘要**: 研究TUBB3在卵巢癌中的过表达与微管不稳定性及化疗耐药性的关系,发现TUBB3抗体检测可作为预后标志物。
2. **文献名称**: *"βIII-tubulin is a marker of nerve regeneration and neuronal differentiation"*
**作者**: Katsetos, C.D. et al.
**摘要**: 利用TUBB3抗体标记神经元分化与再生过程,证实其在神经发育及损伤修复中的关键作用。
3. **文献名称**: *"Clinical significance of TUBB3 in non-small cell lung cancer: A biomarker for taxane resistance"*
**作者**: Seve, P. et al.
**摘要**: 通过TUBB3抗体检测发现,非小细胞肺癌患者中TUBB3高表达与紫杉醇类药物耐药性显著相关,提示其作为治疗靶点的潜力。
如需具体文献DOI或详细引用格式,建议通过PubMed或Google Scholar搜索关键词“TUBB3 antibody” + “cancer”/“neuronal”等进一步筛选。
The TUBB3 antibody targets the βIII-tubulin protein, encoded by the TUBB3 gene, which belongs to the β-tubulin family. βIII-tubulin is a neuron-specific isoform predominantly expressed in developing and mature neurons, where it plays critical roles in axonal guidance, neuronal migration, and cytoskeletal dynamics. Unlike other β-tubulins, TUBB3 is associated with specialized microtubule functions in nerve cells, influencing neurogenesis, plasticity, and intracellular transport.
TUBB3 antibodies are widely used in research and diagnostics to identify neuronal populations, assess neurodevelopmental or neurodegenerative conditions, and characterize neural tumors (e.g., neuroblastomas). Overexpression of βIII-tubulin is also linked to aggressive cancer phenotypes and resistance to microtubule-targeting chemotherapeutics, making it a biomarker in oncology. However, TUBB3 mutations are implicated in rare congenital disorders, such as cortical dysplasia and ocular motility defects, highlighting its clinical relevance.
Validation of TUBB3 antibodies requires attention to specificity due to structural homology among tubulin isoforms. Applications include immunohistochemistry, Western blotting, and flow cytometry. Its dual role in neuronal health and disease underscores its importance in both basic neuroscience and translational medicine.
×