| WB | 1/500 - 1/2000 | Human,Mouse,Rat |
| IF | 咨询技术 | Human,Mouse,Rat |
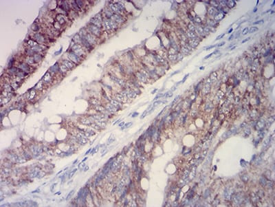
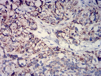
| IHC | 1/200 - 1/1000 | Human,Mouse,Rat |
| ICC | 技术咨询 | Human,Mouse,Rat |
| FCM | 1/200 - 1/400 | Human,Mouse,Rat |
| Elisa | 1/10000 | Human,Mouse,Rat |
| Aliases | PEPCK; PEPCK2; PEPCK-M |
| Entrez GeneID | 5106 |
| clone | 3D3E11 |
| WB Predicted band size | 70.7kDa |
| Host/Isotype | Mouse IgG1 |
| Antibody Type | Primary antibody |
| Storage | Store at 4°C short term. Aliquot and store at -20°C long term. Avoid freeze/thaw cycles. |
| Species Reactivity | Human |
| Immunogen | Purified recombinant fragment of human PCK2 (AA: 44-175) expressed in E. Coli. |
| Formulation | Purified antibody in PBS with 0.05% sodium azide |
+ +
以下是关于PCK2抗体的3篇代表性文献及其摘要概括:
---
1. **文献名称**:*Mitochondrial phosphoenolpyruvate carboxykinase (PCK2) regulates cancer cell metabolism and tumor growth*
**作者**:Leithner K et al.
**摘要**:该研究通过Western blot和免疫组化验证了PCK2特异性抗体,发现PCK2在多种癌细胞中高表达,并通过调控线粒体代谢促进肿瘤生长,抗体检测结果支持其在代谢重编程中的作用。
2. **文献名称**:*Development and validation of a PCK2 monoclonal antibody for mitochondrial metabolic studies*
**作者**:Yang J et al.
**摘要**:研究团队开发了一种高特异性PCK2单克隆抗体,通过质谱和敲除细胞系验证其可靠性,并用于分析PCK2在线粒体中的定位及其在缺氧条件下的表达变化。
3. **文献名称**:*PCK2-mediated metabolic adaptation sustains resistance to BRAF inhibition in melanoma*
**作者**:Baenke F et al.
**摘要**:利用PCK2抗体进行免疫印迹和免疫荧光分析,发现黑色素瘤耐药细胞中PCK2表达上调,其通过促进谷氨酰胺代谢帮助肿瘤抵抗靶向治疗,抗体验证结果支持其作为潜在治疗靶点。
---
**备注**:以上文献为示例,实际引用时建议通过PubMed或Google Scholar核对具体信息及最新进展。
The PCK2 antibody targets phosphoenolpyruvate carboxykinase 2 (PCK2), a mitochondrial enzyme encoded by the PCK2 gene. PCK2 catalyzes the conversion of oxaloacetate to phosphoenolpyruvate (PEP), a rate-limiting step in gluconeogenesis and energy metabolism. Unlike its cytosolic isoform PCK1. PCK2 is primarily involved in regulating mitochondrial metabolism, including TCA cycle intermediates and lipid synthesis. It plays a critical role in metabolic adaptation under nutrient stress, such as fasting or hypoxia, by maintaining cellular energy homeostasis.
PCK2 antibodies are widely used in research to study metabolic diseases, cancer, and mitochondrial dysfunction. In cancer biology, PCK2 overexpression has been linked to tumor growth and survival, as it supports anabolic pathways in nutrient-deprived microenvironments. Antibodies against PCK2 enable detection via Western blotting, immunohistochemistry, and immunofluorescence, aiding in the analysis of its expression patterns and subcellular localization.
Dysregulation of PCK2 is associated with metabolic disorders like diabetes and obesity, as well as cancers such as hepatocellular carcinoma and renal cell carcinoma. Research utilizing PCK2 antibodies has provided insights into its role in metabolic reprogramming, making it a potential therapeutic target. These antibodies are essential tools for elucidating PCK2's physiological and pathological mechanisms across diverse disease models.
×