| WB | 1/500 - 1/2000 | Human,Mouse,Rat |
| IF | 咨询技术 | Human,Mouse,Rat |
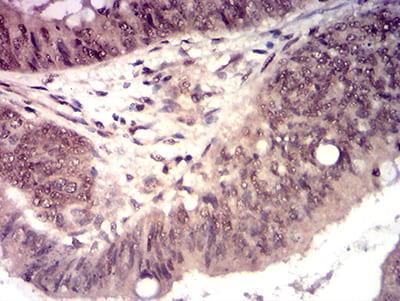
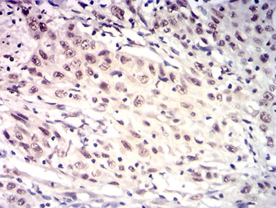
| IHC | 1/200 - 1/1000 | Human,Mouse,Rat |
| ICC | 技术咨询 | Human,Mouse,Rat |
| FCM | 1/200 - 1/400 | Human,Mouse,Rat |
| Elisa | 1/10000 | Human,Mouse,Rat |
| Aliases | OMI; MGCA8; PARK13; PRSS25 |
| Entrez GeneID | 27429 |
| clone | 6H7A8 |
| WB Predicted band size | 48.8kDa |
| Host/Isotype | Mouse IgG1 |
| Antibody Type | Primary antibody |
| Storage | Store at 4°C short term. Aliquot and store at -20°C long term. Avoid freeze/thaw cycles. |
| Species Reactivity | Human,Mouse,Rat |
| Immunogen | Purified recombinant fragment of human HTRA2 (AA: 278-458) expressed in E. Coli. |
| Formulation | Purified antibody in PBS with 0.05% sodium azide |
+ +
以下是关于HTRA2抗体的3篇参考文献,涵盖其功能、结构及疾病相关研究:
---
1. **文献名称**:*HtrA2 deficiency is associated with neurodegeneration and impaired mitochondrial proteolysis*
**作者**:Vande Walle, L. et al.
**摘要**:该研究探讨HTRA2(HtrA2/Omi)在帕金森病中的功能,利用基因敲除模型和HTRA2抗体检测发现,其缺失导致线粒体蛋白降解异常及多巴胺能神经元退化,提示其通过调控线粒体稳态参与神经退行机制。
---
2. **文献名称**:*Crystal structure of HtrA2 reveals a conformational switch for protease activation*
**作者**:Clausen, T. et al.
**摘要**:通过X射线晶体学解析HTRA2的三维结构,结合抗体标记技术阐明其活性调控机制,发现其PDZ结构域介导的构象变化对蛋白酶活性至关重要,为靶向药物设计提供结构基础。
---
3. **文献名称**:*Mitochondrial release of HtrA2 promotes apoptosis during cellular stress*
**作者**:Suzuki, Y. et al.
**摘要**:研究显示,在凋亡刺激下,HTRA2从线粒体释放至胞质,通过HTRA2抗体追踪其定位变化,证实其通过切割凋亡抑制蛋白(如XIAP)促进caspase激活,揭示其在应激诱导凋亡中的关键作用。
---
如需具体文献DOI或补充更多研究,可进一步缩小范围或指定研究领域。
**Background of HTRA2 Antibody**
HTRA2 (High-temperature requirement A2), also known as OMI, is a mitochondrial serine protease belonging to the evolutionarily conserved HtrA protein family. Primarily localized in the mitochondrial intermembrane space, HTRA2 plays dual roles in cellular homeostasis: it maintains mitochondrial protein quality under stress by degrading misfolded proteins and participates in apoptosis by cleaving inhibitor of apoptosis proteins (IAPs) upon its release into the cytosol. Dysregulation of HTRA2 is linked to neurodegenerative disorders, particularly Parkinson’s disease, where loss-of-function mutations (e.g., in the *PARK13* gene) impair protease activity, leading to mitochondrial dysfunction and neuronal death.
HTRA2 antibodies are essential tools for studying its expression, localization, and function. They enable detection via techniques like Western blotting, immunohistochemistry, and immunofluorescence, aiding research into HTRA2’s role in apoptosis, mitochondrial dynamics, and disease mechanisms. These antibodies also help explore therapeutic strategies, such as targeting HTRA2 in cancer (where its pro-apoptotic activity may suppress tumors) or mitigating its dysfunction in neurodegeneration. By facilitating precise protein analysis, HTRA2 antibodies contribute to understanding cellular stress responses and developing targeted therapies.
×