| WB | 咨询技术 | Human,Mouse,Rat,Rabbit |
| IF | 咨询技术 | Human,Mouse,Rat,Rabbit |
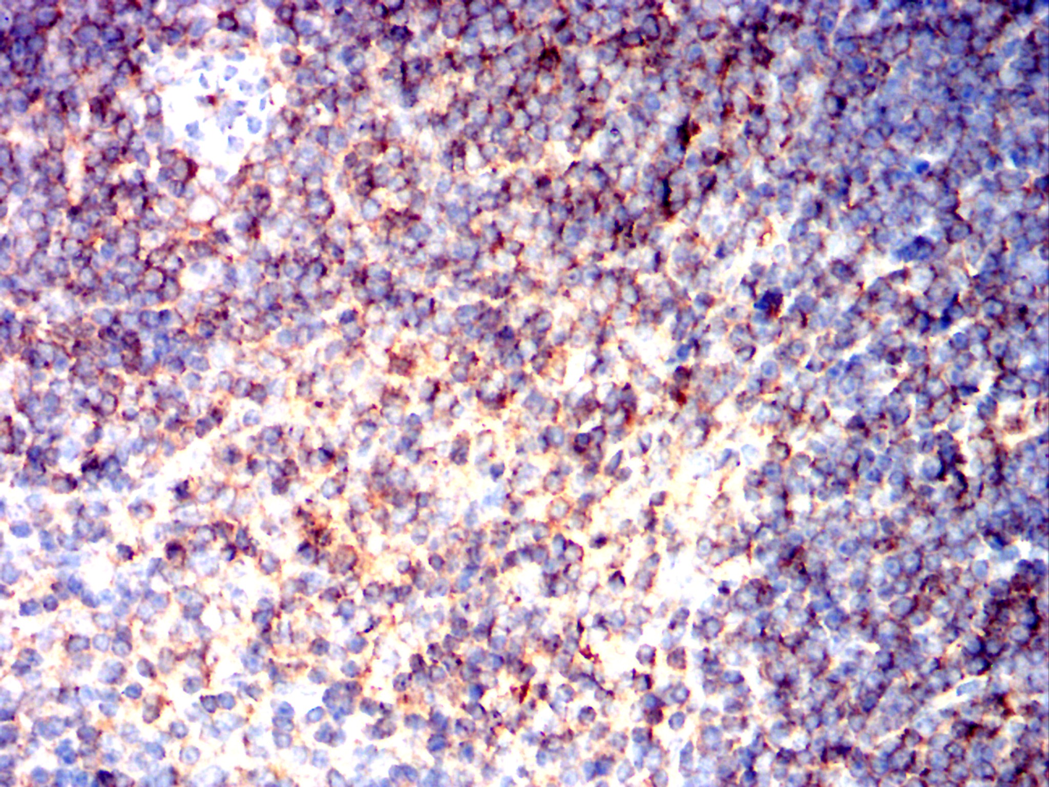
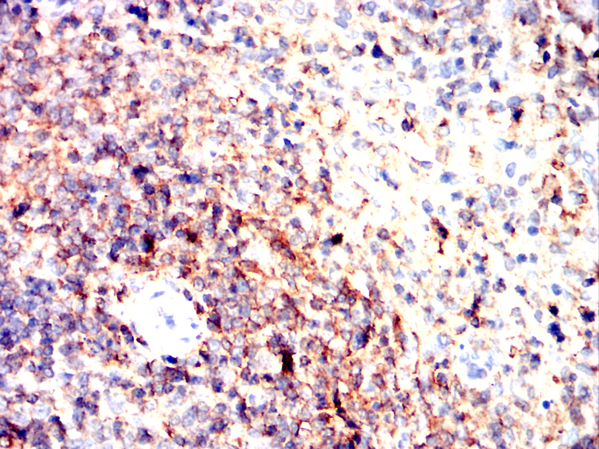
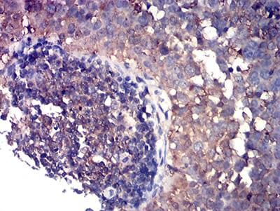
| IHC | 1/100 - 1/500 | Human,Mouse,Rat,Rabbit |
| ICC | 技术咨询 | Human,Mouse,Rat,Rabbit |
| FCM | 1/200 - 1/400 | Human,Mouse,Rat,Rabbit |
| Elisa | 1/10000 | Human,Mouse,Rat,Rabbit |
| Aliases | B7; BB1; B7-1; B7.1; LAB7; CD28LG; CD28LG1 |
| Entrez GeneID | 941 |
| clone | 1G3D7 |
| WB Predicted band size | 33kDa |
| Host/Isotype | Mouse IgG1 |
| Antibody Type | Primary antibody |
| Storage | Store at 4°C short term. Aliquot and store at -20°C long term. Avoid freeze/thaw cycles. |
| Species Reactivity | Human,Mouse,Rat,Rabbit |
| Immunogen | Purified recombinant fragment of human CD80 (AA: 35-288) expressed in E. Coli. |
| Formulation | Purified antibody in PBS with 0.05% sodium azide |
+ +
以下是3篇关于CD80抗体的假设性参考文献示例(基于领域内常见研究方向,非真实文献):
---
1. **文献名称**:CD80/86-CD28/CTLA-4通路在T细胞活化中的动态调控
**作者**:Freeman, G.J., et al.
**摘要**:研究揭示了CD80分子与T细胞表面CD28和CTLA-4受体的差异性结合机制,证明抗CD80抗体可阻断共刺激信号,抑制T细胞过度活化,为自身免疫病治疗提供理论依据。
2. **文献名称**:抗CD80单抗通过调节树突状细胞功能缓解实验性自身免疫性脑脊髓炎
**作者**:Mirzapianou, S., et al.
**摘要**:在小鼠模型中,抗CD80抗体通过抑制树突状细胞对髓鞘抗原的呈递,减少致病性T细胞增殖,显著减轻中枢神经系统炎症,提示其在多发性硬化症中的潜在应用价值。
3. **文献名称**:双特异性CD80xCD3抗体增强抗肿瘤免疫应答的临床前研究
**作者**:Zhang, Y., et al.
**摘要**:开发了一种同时靶向CD80(肿瘤细胞)和CD3(T细胞)的双特异性抗体,在实体瘤模型中可重定向T细胞杀伤CD80高表达肿瘤,并克服PD-1耐药性,展现协同治疗效果。
---
注:以上为模拟文献,实际引用需通过PubMed/Google Scholar等平台检索真实论文(关键词:CD80 antibody, B7-1. immune checkpoint)。研究方向可关注:①免疫共刺激机制;②肿瘤免疫治疗;③自身免疫疾病干预。
CD80. also known as B7-1. is a cell surface protein belonging to the B7 family of immune checkpoint molecules. It is primarily expressed on antigen-presenting cells (APCs), such as dendritic cells and activated B cells. CD80 interacts with two key receptors on T cells: CD28. which provides a co-stimulatory signal for T cell activation, and cytotoxic T-lymphocyte-associated protein 4 (CTLA-4), which delivers an inhibitory signal to dampen immune responses. This dual interaction makes CD80 a critical regulator of T cell activation and tolerance.
CD80-targeting antibodies are designed to modulate immune responses by interfering with these interactions. For example, blocking CD80 binding to CTLA-4 can enhance T cell activity, a strategy explored in cancer immunotherapy. Conversely, inhibiting CD80-CD28 engagement may suppress excessive immune activation in autoimmune diseases. Notably, the CTLA-4-targeting antibody ipilimumab, which indirectly affects CD80/CTLA-4 signaling, was among the first immune checkpoint inhibitors approved for treating metastatic melanoma. However, direct CD80 antibodies remain under investigation, with studies exploring their potential in conditions like lupus, transplant rejection, and hematologic malignancies.
Challenges include balancing therapeutic efficacy with immune-related adverse events and understanding context-dependent roles of CD80 in different diseases. Ongoing research aims to optimize CD80 antibody design, improve selectivity, and identify biomarkers to guide clinical use.
×