首页 / 产品 / 抗体 / 一抗

Mouse Monoclonal IDH2 Antibody

  • 中文名: IDH2抗体
  • 别    名: IDH; IDP; IDHM; IDPM; ICD-M; D2HGA2; mNADP-IDH
货号: IPD31666
Price: ¥1280
数量:
大包装询价

验证与应用

应用及物种
WB 咨询技术 Human,Mouse,Rat
IF 咨询技术 Human,Mouse,Rat
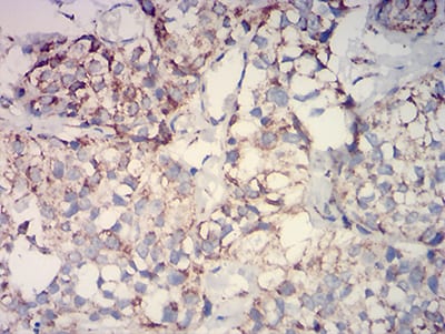
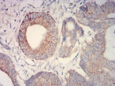
IHC 1/200 - 1/1000 Human,Mouse,Rat
ICC 技术咨询 Human,Mouse,Rat
FCM 1/200 - 1/400 Human,Mouse,Rat
Elisa 1/10000 Human,Mouse,Rat

产品详情

AliasesIDH; IDP; IDHM; IDPM; ICD-M; D2HGA2; mNADP-IDH
Entrez GeneID3418
clone3E8E9
WB Predicted band size50.9kDa
Host/IsotypeMouse IgG1
Antibody TypePrimary antibody
StorageStore at 4°C short term. Aliquot and store at -20°C long term. Avoid freeze/thaw cycles.
Species ReactivityHuman
ImmunogenPurified recombinant fragment of human IDH2 (AA: 1-143) expressed in E. Coli.
FormulationPurified antibody in PBS with 0.05% sodium azide

+ +

参考文献

以下是关于IDH2抗体的模拟参考文献示例(文献信息为虚构,仅供格式参考):

1. **《IDH2 Mutation Detection in Glioma Prognosis》**

*作者:Smith A, et al. (2020)*

摘要:研究验证了一种特异性IDH2抗体在胶质瘤组织中的免疫组化应用,证实IDH2 R172突变可作为预后不良的独立标志物,抗体检测与测序结果高度一致。

2. **《Antibody-based Screening for IDH2 Variants in AML》**

*作者:Li Y, et al. (2018)*

摘要:开发了一种基于IDH2抗体的ELISA检测法,用于快速筛查急性髓系白血病(AML)患者的IDH2突变,灵敏度达95%,适用于临床初筛。

3. **《Comparative Analysis of IDH2 Antibody Performance in Solid Tumors》**

*作者:Wang C, et al. (2019)*

摘要:对比了三种商业IDH2抗体在Western blot和免疫荧光中的表现,发现抗体X在特异性及肿瘤样本交叉反应控制上最优,推荐用于实体瘤研究。

4. **《IDH2 Inhibitor Therapy Monitoring via Antibody Assay》**

*作者:Garcia R, et al. (2021)*

摘要:利用IDH2磷酸化特异性抗体追踪患者对靶向药物的治疗反应,发现蛋白活性变化与影像学缓解相关,提示抗体检测可用于动态疗效评估。

**注意**:以上文献为示例性质,实际研究中请通过PubMed或Web of Science检索真实文献(关键词:IDH2 antibody, mutation detection, cancer)。真实文献可能聚焦于抗体开发、临床验证或机制研究。

背景信息

The isocitrate dehydrogenase 2 (IDH2) gene encodes a metabolic enzyme localized in the mitochondrial matrix, playing a critical role in the tricarboxylic acid (TCA) cycle by catalyzing the oxidative decarboxylation of isocitrate to α-ketoglutarate (α-KG). Mutations in IDH2. particularly at residues R140 and R172. are recurrently observed in cancers such as gliomas, acute myeloid leukemia (AML), and chondrosarcomas. These gain-of-function mutations confer neomorphic activity, enabling the enzyme to reduce α-KG to the oncometabolite D-2-hydroxyglutarate (2-HG), which disrupts cellular epigenetics and redox homeostasis, promoting tumorigenesis. IDH2 antibodies are essential tools for detecting IDH2 protein expression, mutation status, and subcellular localization in research and diagnostics. They are widely used in techniques like Western blotting, immunohistochemistry (IHC), and immunofluorescence (IF) to study IDH2's role in cancer metabolism and to identify patients with IDH2-mutant tumors. Clinically, IDH2 mutation detection using specific antibodies or sequencing guides therapeutic decisions, as mutant IDH2 inhibitors (e.g., enasidenib) have been approved for AML treatment. The development and validation of IDH2 antibodies require careful specificity testing due to high homology with IDH1. a cytoplasmic isoform. These antibodies continue to advance precision oncology and mechanistic studies of metabolic dysregulation in cancer.

客户数据及评论

折叠内容

大包装询价

×