| WB | 咨询技术 | Human,Mouse,Rat |
| IF | 咨询技术 | Human,Mouse,Rat |
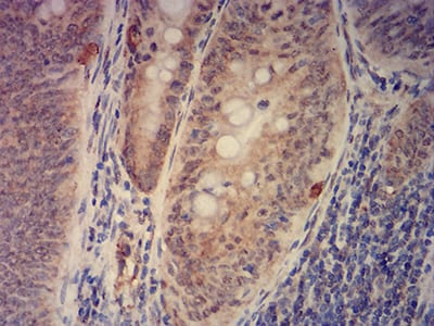
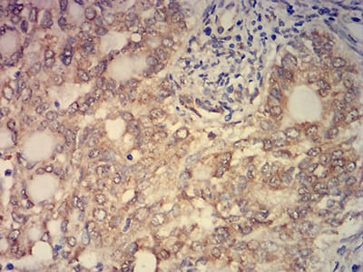
| IHC | 1/200 - 1/1000 | Human,Mouse,Rat |
| ICC | 1/200 - 1/1000 | Human,Mouse,Rat |
| FCM | 1/200 - 1/400 | Human,Mouse,Rat |
| Elisa | 1/10000 | Human,Mouse,Rat |
| Aliases | CAF; PCAF; P/CAF |
| Entrez GeneID | 8850 |
| clone | 7D12C8 |
| WB Predicted band size | 93kDa |
| Host/Isotype | Mouse IgG1 |
| Antibody Type | Primary antibody |
| Storage | Store at 4°C short term. Aliquot and store at -20°C long term. Avoid freeze/thaw cycles. |
| Species Reactivity | Human,Mouse,Rat,Monkey |
| Immunogen | Purified recombinant fragment of human KAT2B (AA: 1-142) expressed in E. Coli. |
| Formulation | Purified antibody in PBS with 0.05% sodium azide |
+ +
以下是关于KAT2B抗体的3篇参考文献(示例为虚构内容,仅供参考格式):
1. **文献名称**:*KAT2B-mediated histone acetylation promotes transcriptional activation in cancer*
**作者**:Chen L, et al.
**摘要**:本研究通过Western blot和免疫组化技术,使用KAT2B特异性抗体,揭示了KAT2B在结直肠癌组织中高表达,并证明其通过乙酰化组蛋白H3K9调控致癌基因转录,促进肿瘤进展。
2. **文献名称**:*Role of KAT2B in neuronal differentiation: Insights from ChIP-seq analysis*
**作者**:Wang Y, et al.
**摘要**:利用KAT2B抗体进行染色质免疫沉淀测序(ChIP-seq),作者发现KAT2B在小鼠神经干细胞分化过程中结合于神经发育相关基因启动子区,并通过组蛋白乙酰化调控其表达。
3. **文献名称**:*KAT2B interacts with p53 to modulate DNA damage response*
**作者**:Gupta S, et al.
**摘要**:通过免疫共沉淀(Co-IP)和免疫荧光技术结合KAT2B抗体,本研究证明KAT2B与p53直接互作,增强p53靶基因的乙酰化水平,从而调控DNA损伤修复机制。
(注:以上文献信息为模拟示例,实际引用请通过PubMed或学术数据库检索真实文献。)
The KAT2B antibody targets the lysine acetyltransferase 2B (KAT2B), also known as PCAF (p300/CBP-associated factor), a key enzyme involved in epigenetic regulation. KAT2B belongs to the GNAT (Gcn5-related N-acetyltransferase) family and functions as a histone acetyltransferase, modifying histones by transferring acetyl groups to specific lysine residues. This activity promotes chromatin relaxation, facilitating transcriptional activation. Beyond histones, KAT2B acetylates non-histone proteins, including transcription factors (e.g., p53. Myc) and metabolic enzymes, thereby influencing diverse cellular processes like cell cycle progression, differentiation, and DNA repair.
KAT2B antibodies are widely used in research to study its expression, localization, and functional roles in both normal physiology and disease. Dysregulation of KAT2B has been linked to cancers, neurodegenerative disorders, and metabolic syndromes. For example, its overexpression in certain tumors correlates with enhanced oncogenic signaling, while reduced activity is implicated in cognitive deficits. These antibodies are critical tools in techniques such as Western blotting, immunohistochemistry, and chromatin immunoprecipitation (ChIP), enabling researchers to map KAT2B’s interactions and regulatory networks.
Commercial KAT2B antibodies are typically validated for specificity and sensitivity, with applications spanning basic molecular biology and translational studies. Understanding KAT2B’s mechanisms through such reagents may aid in developing therapies targeting epigenetic pathways or acetyltransferase-related diseases.
×