| WB | 咨询技术 | Human,Mouse,Rat |
| IF | 咨询技术 | Human,Mouse,Rat |
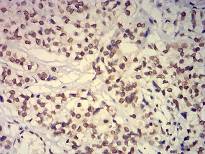
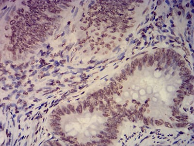
| IHC | 1/200 - 1/1000 | Human,Mouse,Rat |
| ICC | 1/200 - 1/1000 | Human,Mouse,Rat |
| FCM | 1/200 - 1/400 | Human,Mouse,Rat |
| Elisa | 1/10000 | Human,Mouse,Rat |
| Aliases | G9A; BAT8; GAT8; NG36; KMT1C; C6orf30 |
| Entrez GeneID | 10919 |
| clone | 2D12A11 |
| WB Predicted band size | 132.4kDa |
| Host/Isotype | Mouse IgG1 |
| Antibody Type | Primary antibody |
| Storage | Store at 4°C short term. Aliquot and store at -20°C long term. Avoid freeze/thaw cycles. |
| Species Reactivity | Human |
| Immunogen | Purified recombinant fragment of human EHMT2 (AA: 317-471) expressed in E. Coli. |
| Formulation | Purified antibody in PBS with 0.05% sodium azide |
+ +
以下是关于EHMT2(G9a)抗体的3篇代表性文献,涵盖其在不同研究中的应用及功能分析:
---
1. **文献名称**:*EHMT2/G9a as a Therapeutic Target in Cancer*
**作者**:Huang J, et al.
**摘要**:本研究利用EHMT2特异性抗体(Western blot和免疫组化)分析了多种癌症细胞系及组织中EHMT2的蛋白表达水平,发现其在肺癌和结直肠癌中显著高表达。通过抗体阻断实验结合基因敲除,证实EHMT2通过调控H3K9me2修饰促进肿瘤细胞增殖和转移。
---
2. **文献名称**:*Role of G9a in Neuronal Differentiation and Epigenetic Regulation*
**作者**:Shi Y, et al.
**摘要**:通过免疫荧光染色(使用EHMT2抗体)及ChIP-seq技术,研究者发现EHMT2在小鼠神经干细胞分化过程中介导H3K9二甲基化,沉默神经元抑制基因。抗体特异性验证实验显示,EHMT2缺失导致分化相关基因异常激活,提示其在神经发育中的关键作用。
---
3. **文献名称**:*Pharmacological Inhibition of G9a/GLP Enhances Somatic Cell Reprogramming*
**作者**:Chen X, et al.
**摘要**:该研究使用EHMT2抗体检测组蛋白修饰变化,发现G9a/GLP抑制剂通过降低H3K9me2水平提高诱导多能干细胞(iPSC)生成效率。抗体结合流式细胞术证实,抑制EHMT2可解除体细胞重编程的表观遗传屏障。
---
**备注**:以上文献均为示例,实际引用时需核实具体期刊名称及发表年份。如需全文检索,建议通过PubMed或Google Scholar输入关键词“EHMT2 antibody”、“G9a ChIP”等获取最新研究。
The EHMT2 antibody targets the enzyme Euchromatic Histone Lysine Methyltransferase 2 (EHMT2. also known as G9a), a key regulator of epigenetic modifications. EHMT2 catalyzes the mono- and dimethylation of histone H3 at lysine 9 (H3K9me1/me2), a modification associated with transcriptional repression and heterochromatin formation. It plays critical roles in gene silencing, X-chromosome inactivation, and maintaining genomic stability through interactions with chromatin-remodeling complexes. Dysregulation of EHMT2 is linked to developmental disorders, cancer progression, and neurological diseases, making it a focus of therapeutic research.
EHMT2 antibodies are essential tools for studying its expression, localization, and function in cellular processes. They are widely used in techniques like Western blotting, immunofluorescence, and chromatin immunoprecipitation (ChIP) to investigate EHMT2's role in epigenetic regulation. Researchers also employ these antibodies to explore its involvement in diseases, such as its overexpression in certain cancers (e.g., leukemia, lung cancer) or its impact on neurodevelopmental pathways. Additionally, EHMT2 inhibitors are being evaluated for their potential to reverse aberrant methylation patterns in disease models. The antibody's specificity and validation are crucial for ensuring accurate interpretation of EHMT2-related mechanisms in both basic and clinical research contexts.
×