首页 / 产品 / 抗体 / 一抗

Mouse Monoclonal CD61 Antibody

  • 中文名: CD61抗体
  • 别    名: ITGB3; GT; GP3A; BDPLT2; GPIIIa; BDPLT16
货号: IPD31581
Price: ¥1280
数量:
大包装询价

验证与应用

应用及物种
WB 咨询技术 Human,Mouse,Rat
IF 咨询技术 Human,Mouse,Rat
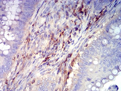
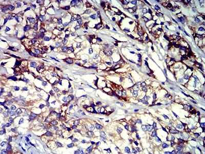
IHC 1/200 - 1/1000 Human,Mouse,Rat
ICC 技术咨询 Human,Mouse,Rat
FCM 1/200 - 1/400 Human,Mouse,Rat
Elisa 1/10000 Human,Mouse,Rat

产品详情

AliasesITGB3; GT; GP3A; BDPLT2; GPIIIa; BDPLT16
Entrez GeneID3690
clone3E8A6
WB Predicted band size87kDa
Host/IsotypeMouse IgG1
Antibody TypePrimary antibody
StorageStore at 4°C short term. Aliquot and store at -20°C long term. Avoid freeze/thaw cycles.
Species ReactivityHuman
ImmunogenPurified recombinant fragment of human CD61 (AA: extra 27-179) expressed in E. Coli.
FormulationPurified antibody in PBS with 0.05% sodium azide

+ +

参考文献

以下是与CD61抗体相关的3篇参考文献及其摘要概括:

---

1. **文献名称**: *"CD61 (Integrin β3) regulates platelet activation and thrombus formation in mice"*

**作者**: Law DA, et al.

**摘要**: 该研究通过基因敲除和CD61特异性抗体阻断实验,揭示了CD61在血小板活化和血栓形成中的关键作用。抗体阻断CD61显著抑制了血小板聚集,表明其作为抗血栓治疗靶点的潜力。

---

2. **文献名称**: *"Targeting CD61 in breast cancer metastasis using a novel monoclonal antibody"*

**作者**: Zhang Y, et al.

**摘要**: 研究开发了一种靶向CD61的单克隆抗体,并证明其可通过抑制肿瘤细胞与血管内皮的黏附,显著减少乳腺癌小鼠模型的肺转移。抗体在体内外实验中均显示出抗转移活性。

---

3. **文献名称**: *"Structural insights into the integrin αIIbβ3 (CD41/CD61) complex by cryo-EM"*

**作者**: Zhu J, et al.

**摘要**: 利用冷冻电镜技术结合CD61抗体标记,解析了αIIbβ3整合素复合物的高分辨率结构,揭示了其激活状态下的构象变化,为开发靶向该复合物的抗体药物提供了结构基础。

---

4. **文献名称**: *"CD61 as a biomarker for circulating tumor cells in colorectal cancer"*

**作者**: Lin H, et al.

**摘要**: 研究采用CD61抗体结合免疫磁珠分离技术,成功从结直肠癌患者血液中富集循环肿瘤细胞(CTCs)。CD61阳性CTCs与肿瘤分期和预后显著相关,提示其作为液体活检标志物的价值。

---

以上文献均涉及CD61抗体的实验应用或机制研究,涵盖血栓、肿瘤转移、结构解析及临床诊断等领域。

背景信息

CD61. also known as integrin β3. is a transmembrane glycoprotein subunit that pairs with α subunits (αIIb or αv) to form heterodimeric receptors critical for cell adhesion and signaling. The αIIbβ3 complex (GP IIb/IIIa) is predominantly expressed on platelets and megakaryocytes, mediating platelet aggregation by binding fibrinogen, von Willebrand factor, and other ligands during hemostasis. In contrast, αvβ3 is expressed on endothelial cells, osteoclasts, and certain tumor cells, playing roles in angiogenesis, bone remodeling, and cancer metastasis.

CD61 antibodies specifically target this β3 subunit and are widely used in research and diagnostics. In clinical settings, they help diagnose platelet disorders like Glanzmann thrombasthenia, a bleeding disorder caused by ITGB3 gene mutations leading to dysfunctional or absent αIIbβ3. In research, CD61 antibodies are employed in flow cytometry, immunohistochemistry, and Western blotting to study platelet activation, megakaryocyte differentiation, or tumor-associated angiogenesis.

Therapeutic applications include anti-thrombotic drugs (e.g., abciximab) that block αIIbβ3 to prevent clot formation. Additionally, CD61-targeting agents are explored in oncology to inhibit αvβ3-driven tumor progression. Structural studies using these antibodies have clarified integrin activation mechanisms, conformational changes, and ligand-binding dynamics. Overall, CD61 antibodies serve as vital tools for understanding hemostasis, thrombosis, and cancer biology while offering translational potential in diagnostics and targeted therapies.

客户数据及评论

折叠内容

大包装询价

×