| WB | 1/500 - 1/2000 | Human,Mouse,Rat |
| IF | 咨询技术 | Human,Mouse,Rat |
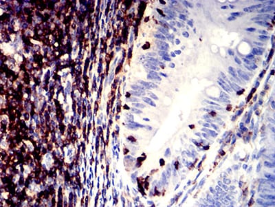
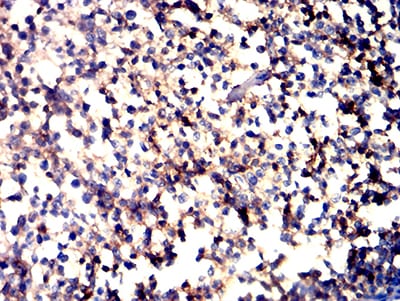
| IHC | 1/200 - 1/1000 | Human,Mouse,Rat |
| ICC | 技术咨询 | Human,Mouse,Rat |
| FCM | 1/200 - 1/400 | Human,Mouse,Rat |
| Elisa | 1/10000 | Human,Mouse,Rat |
| Aliases | ITGAL; LFA-1; LFA1A |
| Entrez GeneID | 3683 |
| clone | 5G7C5 |
| WB Predicted band size | 128.8kDa |
| Host/Isotype | Mouse IgG2a |
| Antibody Type | Primary antibody |
| Storage | Store at 4°C short term. Aliquot and store at -20°C long term. Avoid freeze/thaw cycles. |
| Species Reactivity | Human |
| Immunogen | Purified recombinant fragment of human CD11a (AA: extra 26-194) expressed in E. Coli. |
| Formulation | Purified antibody in PBS with 0.05% sodium azide |
+ +
以下是3篇与CD11a抗体相关的研究文献摘要:
---
1. **文献名称**: *Targeting lymphocyte function-associated antigen 1 (LFA-1) in clinical applications*
**作者**: Kavanaugh AF, et al.
**摘要**: 该研究综述了抗CD11a单克隆抗体(如依法利珠单抗)通过阻断LFA-1与ICAM-1的相互作用,抑制T细胞活化及迁移的机制,并总结其在银屑病治疗中的临床试验数据,同时探讨了潜在感染风险等副作用。
2. **文献名称**: *Structural basis of CD11a recognition by the therapeutic antibody Efalizumab*
**作者**: Liu G, et al.
**摘要**: 通过X射线晶体学解析了CD11a与依法利珠单抗的结合表位,揭示了抗体特异性阻断LFA-1功能的结构基础,为优化靶向CD11a的免疫疗法提供理论依据。
3. **文献名称**: *CD11a blockade enhances antitumor efficacy of CAR-T cells in solid tumors*
**作者**: Smith MJ, et al.
**摘要**: 在小鼠模型中,抗CD11a抗体通过降低肿瘤微环境中T细胞抑制信号,显著增强CAR-T细胞对实体瘤的浸润和杀伤效果,提示其联合免疫治疗的潜力。
---
以上文献涵盖临床机制、结构生物学及肿瘤治疗应用,均聚焦CD11a抗体的关键作用。如需具体期刊信息或发表年份可进一步补充。
CD11a antibody targets the CD11a subunit, a key component of the integrin family, specifically the lymphocyte function-associated antigen-1 (LFA-1). LFA-1. a heterodimer of CD11a and CD18. is expressed on leukocytes and mediates cell-cell adhesion by binding to intercellular adhesion molecule-1 (ICAM-1). This interaction is critical for immune processes like T-cell activation, leukocyte migration, and immune synapse formation. CD11a antibodies block LFA-1/ICAM-1 binding, suppressing inflammatory responses.
Therapeutic CD11a antibodies, such as efalizumab, were developed for autoimmune diseases like psoriasis. Efalizumab demonstrated efficacy by inhibiting T-cell trafficking and activation but was withdrawn due to rare cases of progressive multifocal leukoencephalopathy (PML) linked to immunosuppression. Despite this, CD11a remains a research focus for immune modulation.
In research, CD11a antibodies are tools to study leukocyte adhesion mechanisms, immune cell interactions, and inflammatory disease models. They help elucidate pathways in transplant rejection, autoimmunity, and cancer immunotherapy. Their dual role as therapeutic agents and experimental reagents underscores their importance in immunology and drug development.
×