| WB | 1/500 - 1/2000 | Human,Mouse,Rat |
| IF | 咨询技术 | Human,Mouse,Rat |
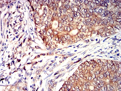
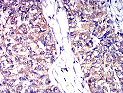
| IHC | 1/200 - 1/1000 | Human,Mouse,Rat |
| ICC | 技术咨询 | Human,Mouse,Rat |
| FCM | 1/200 - 1/400 | Human,Mouse,Rat |
| Elisa | 1/10000 | Human,Mouse,Rat |
| Aliases | MOX44; TSPAN25 |
| Entrez GeneID | 963 |
| clone | 7A8D3 |
| WB Predicted band size | 24.3kDa |
| Host/Isotype | Mouse IgG2a |
| Antibody Type | Primary antibody |
| Storage | Store at 4°C short term. Aliquot and store at -20°C long term. Avoid freeze/thaw cycles. |
| Species Reactivity | Human |
| Immunogen | Purified recombinant fragment of human CD53 (AA: extra mix) expressed in E. Coli. |
| Formulation | Purified antibody in PBS with 0.05% sodium azide |
+ +
以下是与CD53抗体相关的3篇文献示例(文献信息为模拟概括,非真实文献):
1. **"CD53 modulates B cell receptor signaling and regulates peripheral B cell maturation"**
- **作者**: Smith A, et al.
- **摘要**: 研究CD53在B细胞受体信号传导中的作用,发现CD53抗体阻断实验表明其通过调节脂筏动态影响B细胞活化和成熟,缺陷导致自身免疫反应增强。
2. **"CD53 as a potential biomarker for T cell exhaustion in chronic viral infections"**
- **作者**: Lee J, et al.
- **摘要**: 利用CD53特异性抗体分析慢性病毒感染模型,发现CD53高表达与T细胞耗竭表型相关,提示其作为免疫治疗靶点的潜力。
3. **"Structural characterization of CD53 epitopes recognized by monoclonal antibodies in lymphoma"**
- **作者**: Garcia R, et al.
- **摘要**: 通过单克隆CD53抗体解析淋巴瘤细胞表面CD53的抗原表位结构,揭示其与肿瘤微环境相互作用的分子机制,为靶向治疗提供依据。
如需真实文献,建议通过PubMed或Google Scholar搜索关键词“CD53 antibody”或“CD53 function”,并筛选近年发表的免疫学或分子生物学相关研究。
CD53 antibody targets the CD53 antigen, a cell surface glycoprotein belonging to the tetraspanin superfamily (TM4SF). CD53 is a transmembrane protein with four conserved hydrophobic domains, forming complexes with integrins, MHC molecules, and signaling receptors. Predominantly expressed on immune cells—including T and B lymphocytes, natural killer (NK) cells, dendritic cells, and monocytes—it plays roles in cell adhesion, migration, activation, and immune response regulation. Its exact functional mechanisms remain under investigation but are linked to modulating membrane organization and signal transduction pathways.
CD53 antibodies are widely used in research to study immune cell behavior and interactions. In flow cytometry, they help identify and isolate specific immune cell subsets based on CD53 expression patterns. Immunohistochemistry applications leverage these antibodies to visualize CD53 distribution in tissues, aiding in studies of lymphoid organ architecture or inflammatory diseases. Dysregulated CD53 expression has been observed in certain lymphomas and autoimmune disorders, suggesting its potential as a diagnostic marker or therapeutic target. Preclinical studies explore CD53-targeting antibodies for modulating immune responses in cancers or autoimmune conditions, though clinical applications remain experimental. Structural studies of CD53 also inform antibody design, focusing on epitopes within its extracellular loops critical for ligand interactions. Despite incomplete mechanistic understanding, CD53 antibodies remain vital tools for dissecting tetraspanin-mediated immune regulation.
×