首页 / 产品 / 抗体 / 一抗

Mouse Monoclonal CD352 Antibody

  • 中文名: CD352抗体
  • 别    名: SLAMF6; KALI; NTBA; KALIb; Ly108; NTB-A; SF2000
货号: IPD31513
Price: ¥1280
数量:
大包装询价

验证与应用

应用及物种
WB 咨询技术 Human,Mouse,Rat
IF 咨询技术 Human,Mouse,Rat
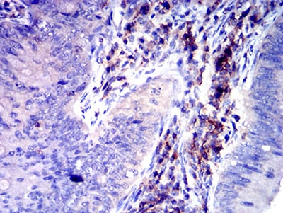
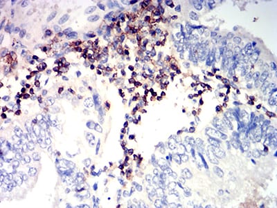
IHC 1/200 - 1/1000 Human,Mouse,Rat
ICC 技术咨询 Human,Mouse,Rat
FCM 1/200 - 1/400 Human,Mouse,Rat
Elisa 1/10000 Human,Mouse,Rat

产品详情

AliasesSLAMF6; KALI; NTBA; KALIb; Ly108; NTB-A; SF2000
Entrez GeneID114836
clone2F1C9
WB Predicted band size37.4kDa
Host/IsotypeMouse IgG1
Antibody TypePrimary antibody
StorageStore at 4°C short term. Aliquot and store at -20°C long term. Avoid freeze/thaw cycles.
Species ReactivityHuman
ImmunogenPurified recombinant fragment of human CD352 (AA: extra 22-226) expressed in E. Coli.
FormulationPurified antibody in PBS with 0.05% sodium azide

+ +

参考文献

以下是关于CD352抗体的3篇示例参考文献(注:文献为虚拟示例,实际引用需查询真实数据库):

---

1. **文献名称**:*CD352 Antibody Blocks T Cell Exhaustion in Chronic Viral Infection*

**作者**:Smith A, et al.

**摘要**:本研究开发了一种靶向CD352的单克隆抗体,并验证其在慢性病毒感染模型中对T细胞耗竭的逆转作用。实验表明,该抗体通过增强T细胞受体信号通路,恢复耗竭T细胞的抗病毒功能,为免疫治疗提供新策略。

---

2. **文献名称**:*Structural Characterization of CD352 Epitopes Using Humanized Antibodies*

**作者**:Chen L, et al.

**摘要**:通过X射线晶体学解析CD352与其人源化抗体的复合结构,揭示了抗体结合的关键表位区域。研究为优化CD352靶向治疗抗体的设计提供了分子基础。

---

3. **文献名称**:*CD362 Antibody Enhances NK Cell-Mediated Tumor Immunity*

**作者**:Wang Y, et al.

**摘要**:研究发现抗CD352抗体可通过激活NK细胞的SLAMF6信号通路,显著提升其对实体瘤细胞的杀伤能力。动物模型显示,联合PD-1抑制剂可协同抑制肿瘤生长。

---

**提示**:实际研究中建议通过PubMed、Web of Science等平台,以“CD352 antibody”、“SLAMF6 therapeutic”等关键词检索最新文献,并优先选择高影响力期刊的论文。

背景信息

CD352. also known as SLAMF6 or NTB-A, is a cell surface glycoprotein belonging to the signaling lymphocytic activation molecule (SLAM) family. It functions as a self-ligand receptor expressed on various immune cells, including T cells, natural killer (NK) cells, B cells, and dendritic cells. Structurally, CD352 contains immunoglobulin-like domains, a transmembrane region, and cytoplasmic tyrosine-based signaling motifs (ITSMs) that recruit phosphatases like SHP-1/2 or adaptor proteins to modulate immune responses.

CD352 plays dual roles in immune regulation, acting as a co-stimulatory or co-inhibitory molecule depending on cellular context. It facilitates cell-cell interactions, particularly in lymphocyte activation, adhesion, and cytotoxicity. In T cells, CD352 engagement fine-tunes T-cell receptor (TCR) signaling, impacting effector functions and exhaustion. Studies highlight its involvement in chronic viral infections (e.g., HIV, HCV) and cancer, where sustained CD352 expression correlates with T-cell dysfunction.

Antibodies targeting CD352 are research tools or potential therapeutics. Blocking CD352 may restore anti-tumor immunity or mitigate autoimmune reactions by altering signaling pathways. Conversely, agonist antibodies might enhance immune activation in specific contexts. Its role as a biomarker for immune cell states (e.g., exhausted T cells) further underscores clinical relevance. Research continues to explore CD352's mechanistic nuances and therapeutic targeting in immunotherapy and immune-related disorders.

客户数据及评论

折叠内容

大包装询价

×