首页 / 产品 / 抗体 / 一抗

Mouse Monoclonal CD45 Antibody

  • 中文名: CD45抗体
  • 别    名: PTPRC; LCA; LY5; B220; L-CA; T200; CD45R; GP180
货号: IPD31446
Price: ¥1280
数量:
大包装询价

验证与应用

应用及物种
WB 咨询技术 Human,Mouse,Rat
IF 咨询技术 Human,Mouse,Rat
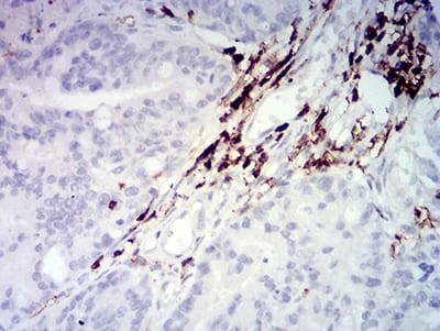
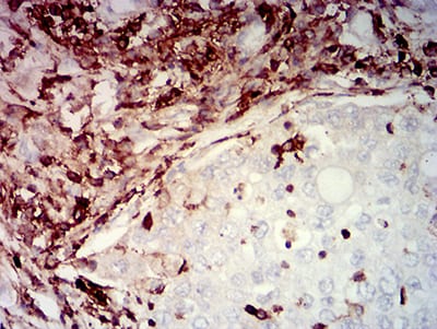
IHC 1/200 - 1/1000 Human,Mouse,Rat
ICC 技术咨询 Human,Mouse,Rat
FCM 1/200 - 1/400 Human,Mouse,Rat
Elisa 1/10000 Human,Mouse,Rat

产品详情

AliasesPTPRC; LCA; LY5; B220; L-CA; T200; CD45R; GP180
Entrez GeneID5788
clone1B9B10
WB Predicted band size147.3kDa
Host/IsotypeMouse IgG2b
Antibody TypePrimary antibody
StorageStore at 4°C short term. Aliquot and store at -20°C long term. Avoid freeze/thaw cycles.
Species ReactivityHuman
ImmunogenPurified recombinant fragment of human CD45 (AA: extra 431-577) expressed in E. Coli.
FormulationPurified antibody in PBS with 0.05% sodium azide

+ +

参考文献

以下是关于CD45抗体的3-4条参考文献及其摘要内容:

1. **文献名称**:*"Molecular Cloning and Expression of a Leukocyte Common Antigen (CD45) from Human T Cells"*

**作者**:Kishimoto T. et al.

**摘要**:该研究报道了人类T细胞中CD45的分子克隆及表达分析,揭示了其作为酪氨酸磷酸酶的结构特征,并证明其在调节T细胞受体信号转导中的关键作用。

2. **文献名称**:*"CD45: A Critical Regulator of Immune Receptor Signaling"*

**作者**:Hermiston M.L. et al.

**摘要**:综述了CD45通过调控Src家族激酶的活性影响免疫细胞信号通路,强调了其在维持免疫稳态中的双重功能(激活与抑制),并讨论了相关疾病中的异常表达。

3. **文献名称**:*"Antibody Binding to CD45 Alters T Cell Receptor Signaling"*

**作者**:Weiss A. et al.

**摘要**:通过抗体阻断实验,证明CD45与T细胞表面受体相互作用可调节下游磷酸化事件,影响T细胞活化和增殖,为靶向CD45的免疫治疗提供理论依据。

4. **文献名称**:*"CD45 Isoforms in Hematopoietic Malignancies: Diagnostic and Therapeutic Implications"*

**作者**:Cragg M.S. et al.

**摘要**:探讨了CD45不同剪接异构体在白血病和淋巴瘤中的表达差异,提出CD45抗体在疾病分型及靶向治疗中的潜在应用价值。

这些文献涵盖了CD45的结构功能、信号调控及临床相关性研究。如需具体文章,建议通过PubMed或Google Scholar按作者及关键词检索。

背景信息

CD45. also known as leukocyte common antigen (LCA), is a transmembrane protein tyrosine phosphatase expressed on all nucleated hematopoietic cells, including lymphocytes, monocytes, granulocytes, and dendritic cells. Discovered in the 1970s, CD45 plays a critical role in regulating immune cell activation by modulating signaling through antigen receptors. Its extracellular domain exhibits alternative splicing, generating isoforms (e.g., CD45RA, CD45RO) that serve as markers for cell differentiation and activation states. CD45 antibodies, developed against specific epitopes of these isoforms, have become indispensable tools in immunology research and clinical diagnostics.

In research, CD45 antibodies are widely used in flow cytometry to identify and isolate leukocyte subsets. They also aid in studying T-cell receptor (TCR) and B-cell receptor (BCR) signaling pathways, as CD45 dephosphorylates inhibitory tyrosine residues on Src-family kinases, enabling receptor activation. Clinically, CD45 antibodies are employed in immunohistochemistry to distinguish hematopoietic malignancies (e.g., leukemia, lymphoma) from non-hematopoietic tumors. Additionally, CD45 targeting has therapeutic potential; antibody-drug conjugates or radioimmunotherapy agents are being explored to selectively eliminate malignant immune cells.

Despite its broad utility, CD45’s role in immune regulation remains complex. Its isoforms exhibit context-dependent functions in autoimmunity, infection, and transplantation tolerance. Ongoing studies aim to unravel isoform-specific mechanisms and refine CD45-targeted therapies. Overall, CD45 antibodies continue to bridge foundational immunology with translational applications in disease diagnosis and treatment.

客户数据及评论

折叠内容

大包装询价

×