| WB | 1/500 - 1/2000 | Human,Mouse,Rat |
| IF | 咨询技术 | Human,Mouse,Rat |
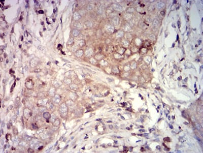
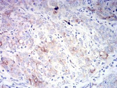
| IHC | 1/200 - 1/1000 | Human,Mouse,Rat |
| ICC | 技术咨询 | Human,Mouse,Rat |
| FCM | 1/200 - 1/400 | Human,Mouse,Rat |
| Elisa | 1/10000 | Human,Mouse,Rat |
| Aliases | CEACAM1; BGP; BGP1; BGPI |
| Entrez GeneID | 634 |
| clone | 7B9G3 |
| WB Predicted band size | 57.6kDa |
| Host/Isotype | Mouse IgG2b |
| Antibody Type | Primary antibody |
| Storage | Store at 4°C short term. Aliquot and store at -20°C long term. Avoid freeze/thaw cycles. |
| Species Reactivity | Human |
| Immunogen | Purified recombinant fragment of human CD66A (AA: extra 65-201) expressed in E. Coli. |
| Formulation | Purified antibody in PBS with 0.05% sodium azide |
+ +
以下是关于CD66A(CEACAM1)抗体的3篇参考文献,按研究主题分类简要概括:
---
1. **文献名称**: *CEACAM1 regulates TIM-3-mediated tolerance and exhaustion*
**作者**: Huang YH, et al.
**摘要**: 研究揭示了CEACAM1(CD66a)与TIM-3受体相互作用,负向调控T细胞活性,影响抗肿瘤免疫反应。文中通过抗体阻断实验证实了其在免疫检查点通路中的作用。
2. **文献名称**: *Neisseria gonorrhoeae exploits CEACAM1 for infection of human cervical epithelia*
**作者**: Muenzner P, et al.
**摘要**: 探讨了CEACAM1作为致病菌(如淋球菌)的宿主受体机制,利用CD66a抗体阻断实验证明其介导细菌黏附与侵袭上皮细胞的过程。
3. **文献名称**: *CEACAM1 in apoptosis and epithelial integrity*
**作者**: Gray-Owen SD, et al.
**摘要**: 分析了CEACAM1在结肠癌细胞凋亡和细胞间连接中的作用,通过特异性抗体标记揭示了其参与肿瘤微环境调控的分子机制。
---
以上文献均涉及CD66A/CEACAM1抗体的应用,涵盖免疫调控、病原体感染和肿瘤研究等领域。如需具体年份或期刊信息,可进一步补充关键词检索。
CD66a antibody targets the CD66a antigen, also known as CEACAM1 (Carcinoembryonic Antigen-Related Cell Adhesion Molecule 1), a member of the CEACAM family. CEACAM1 is a transmembrane glycoprotein involved in cell adhesion, signaling, and immune regulation. It contains an N-terminal immunoglobulin (Ig)-like variable (IgV) domain, followed by multiple Ig-like constant (IgC2) domains, a transmembrane region, and a cytoplasmic tail with varying lengths due to alternative splicing. This structural diversity enables CEACAM1 to mediate both homophilic and heterophilic interactions, influencing processes like tumor suppression, angiogenesis, and immune cell modulation.
CD66a/CEACAM1 is expressed on epithelial, endothelial, and immune cells (e.g., T cells, neutrophils). It acts as a co-inhibitory receptor in T cells, dampening activation and cytokine production, which is critical in autoimmune diseases and cancer immune evasion. Its dysregulation is linked to tumor progression, chronic inflammation, and infections (e.g., *Neisseria* adhesion). CD66a antibodies are widely used in research to study CEACAM1's roles in immune tolerance, pathogen-host interactions, and cancer biology. They are employed in techniques like flow cytometry, immunohistochemistry, and functional blocking assays. Commercial CD66a antibodies are typically monoclonal, generated in mice or rats, and validated for specificity against recombinant or native CEACAM1 isoforms.
×