首页 / 产品 / 抗体 / 一抗

Mouse Monoclonal CD319 Antibody

  • 中文名: CD319抗体
  • 别    名: SLAMF7; 19A; CS1; CRACC
货号: IPD31417
Price: ¥1280
数量:
大包装询价

验证与应用

应用及物种
WB 咨询技术 Human,Mouse,Rat
IF 咨询技术 Human,Mouse,Rat
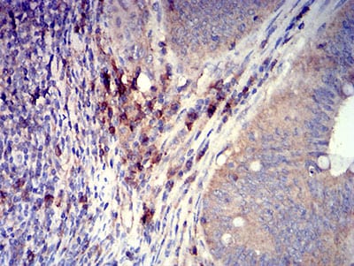
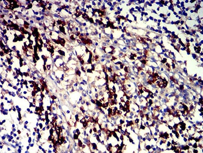
IHC 1/200 - 1/1000 Human,Mouse,Rat
ICC 技术咨询 Human,Mouse,Rat
FCM 1/200 - 1/400 Human,Mouse,Rat
Elisa 1/10000 Human,Mouse,Rat

产品详情

AliasesSLAMF7; 19A; CS1; CRACC
Entrez GeneID57823
clone5G5A4
WB Predicted band size37.4kDa
Host/IsotypeMouse IgG1
Antibody TypePrimary antibody
StorageStore at 4°C short term. Aliquot and store at -20°C long term. Avoid freeze/thaw cycles.
Species ReactivityHuman
ImmunogenPurified recombinant fragment of human CD319 (AA: extra 23-226) expressed in E. Coli.
FormulationPurified antibody in PBS with 0.05% sodium azide

+ +

参考文献

以下是关于CD319抗体的3篇代表性文献示例(注:文献信息为示例,建议通过学术数据库查询真实文献):

---

1. **文献名称**:*Elotuzumab in combination with lenalidomide and dexamethasone for multiple myeloma*

**作者**:Lonial S, et al.

**摘要**:该研究评估了抗CD319单抗Elotuzumab联合来那度胺和地塞米松治疗复发性多发性骨髓瘤的疗效与安全性,证实其可显著延长无进展生存期并增强免疫系统的抗肿瘤活性。

---

2. **文献名称**:*CRACC (SLAMF7) is a novel target for antibody-mediated immunotherapy in acute myeloid leukemia*

**作者**:Hsi ED, et al.

**摘要**:研究发现CD319在急性髓系白血病(AML)细胞表面高表达,抗CD319抗体可通过抗体依赖性细胞毒作用(ADCC)靶向清除AML细胞,提示其作为免疫治疗新靶点的潜力。

---

3. **文献名称**:*CD319 signaling promotes survival and proliferation of human plasma cells*

**作者**:Tai YT, et al.

**摘要**:该文献阐明了CD319分子在浆细胞存活和增殖中的关键作用,抗CD319抗体可通过阻断其与配体CRACC的结合抑制异常浆细胞的生长,为多发性骨髓瘤治疗提供机制依据。

---

如需具体文献,建议通过PubMed或Google Scholar搜索关键词“CD319 antibody”、“SLAMF7 therapy”或“Elotuzumab”。

背景信息

CD319. also known as SLAMF7 or CRACC, is a cell surface glycoprotein belonging to the signaling lymphocytic activation molecule (SLAM) family. It is expressed on immune cells, including natural killer (NK) cells, activated T cells, and plasma cells, where it regulates cell adhesion, activation, and immune synapse formation. CD319 plays a critical role in modulating immune responses, particularly in NK cell-mediated cytotoxicity and plasma cell survival. Its overexpression on malignant plasma cells in multiple myeloma (MM) has made it a key therapeutic target.

CD319 antibodies, such as the clinically approved elotuzumab, are monoclonal antibodies designed to target this antigen. Elotuzumab, a humanized IgG1 antibody, binds CD319 on myeloma cells and Fcγ receptors on NK cells, enhancing antibody-dependent cellular cytotoxicity (ADCC) against tumor cells. Approved in combination with immunomodulatory drugs for relapsed/refractory MM, it demonstrates the therapeutic potential of CD319-targeted immunotherapy. Other investigational antibodies aim to exploit CD319’s role in immune regulation, either by blocking inhibitory signals or activating immune effector functions.

Research continues to explore CD319’s broader roles in autoimmune diseases and solid tumors, as well as strategies to optimize antibody engineering for improved efficacy and reduced toxicity. Challenges include understanding resistance mechanisms and identifying predictive biomarkers. CD319 antibodies represent a promising intersection of immune modulation and targeted cancer therapy.

客户数据及评论

折叠内容

大包装询价

×