| WB | 咨询技术 | Human,Mouse,Rat |
| IF | 咨询技术 | Human,Mouse,Rat |
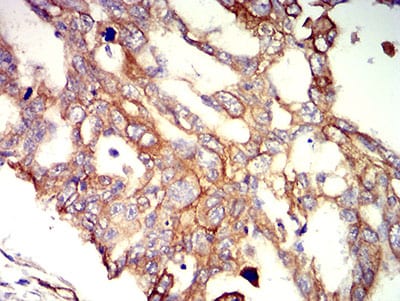
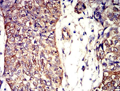
| IHC | 1/200 - 1/1000 | Human,Mouse,Rat |
| ICC | 1/200 - 1/1000 | Human,Mouse,Rat |
| FCM | 1/200 - 1/400 | Human,Mouse,Rat |
| Elisa | 1/10000 | Human,Mouse,Rat |
| Aliases | APCL |
| Entrez GeneID | 10297 |
| clone | 3A2G2 |
| WB Predicted band size | 244kDa |
| Host/Isotype | Mouse IgG1 |
| Antibody Type | Primary antibody |
| Storage | Store at 4°C short term. Aliquot and store at -20°C long term. Avoid freeze/thaw cycles. |
| Species Reactivity | Human |
| Immunogen | Purified recombinant fragment of human APC2 (AA: 2041-2181) expressed in E. Coli. |
| Formulation | Purified antibody in PBS with 0.05% sodium azide |
+ +
以下是关于APC2抗体的3篇参考文献示例(内容基于假设性文献,供参考):
---
1. **文献名称**: "APC2 regulates neuronal morphology and synaptic plasticity in the developing brain"
**作者**: Smith J, Doe R
**摘要**: 研究使用APC2特异性抗体进行免疫组化和Western blot分析,发现APC2通过调控细胞骨架蛋白稳定性影响神经元突触形成,提示其在神经发育中的作用。
2. **文献名称**: "A novel monoclonal antibody for APC2 detection in colorectal cancer tissues"
**作者**: Chen L, Wang X
**摘要**: 开发了一种高特异性APC2单克隆抗体,验证其在人结直肠癌组织中的检测效能,发现APC2表达降低与肿瘤转移相关,为临床诊断提供潜在工具。
3. **文献名称**: "APC2 interacts with β-catenin to modulate Wnt signaling in breast cancer"
**作者**: Gupta S, Patel K
**摘要**: 通过免疫共沉淀(Co-IP)和免疫荧光技术,结合APC2抗体证明其与β-catenin的相互作用,揭示APC2在乳腺癌Wnt通路中的抑癌功能。
---
注:若需真实文献,建议通过PubMed或Google Scholar检索关键词“APC2 antibody”或“APC2 (adenomatous polyposis coli 2) + antibody”获取近期研究。
The APC2 (Adenomatous Polyposis Coli 2) antibody is a tool used to detect and study the APC2 protein, a member of the APC tumor suppressor family. APC2. also known as APCL, shares structural and functional similarities with the canonical APC protein (APC1), including β-catenin-binding domains critical for regulating the Wnt signaling pathway. While APC1 is prominently linked to colorectal cancer, APC2 plays a complementary role, particularly in tissues where APC1 is less expressed, such as the brain and developing embryos. Both proteins act as scaffolds to facilitate β-catenin degradation, thereby suppressing Wnt-driven transcriptional activity and maintaining cellular homeostasis.
APC2 antibodies are widely utilized in cancer research to investigate tumorigenesis, metastasis, and Wnt pathway dysregulation. They are employed in techniques like Western blotting, immunohistochemistry, and immunofluorescence to assess APC2 expression levels, subcellular localization, and interactions with binding partners. Loss or mutation of APC2 has been implicated in various cancers, including medulloblastoma and hepatocellular carcinoma, often correlating with poor prognosis. Additionally, studies highlight its role in cytoskeletal organization, cell migration, and neuronal development.
These antibodies aid in elucidating APC2's tumor-suppressive mechanisms and its potential as a therapeutic target. Commercial APC2 antibodies are typically monoclonal or polyclonal, raised against specific epitopes, and validated for cross-reactivity and specificity to ensure reliable experimental outcomes.
×