| WB | 咨询技术 | Human,Mouse,Rat |
| IF | 咨询技术 | Human,Mouse,Rat |
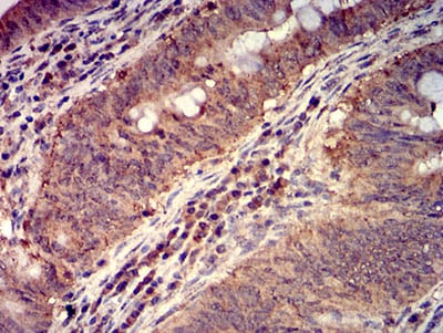
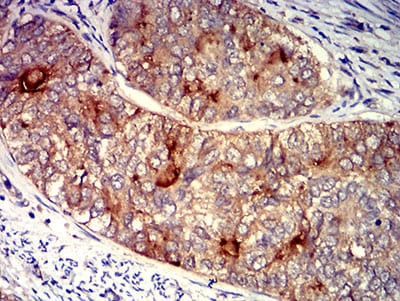
| IHC | 1/200 - 1/1000 | Human,Mouse,Rat |
| ICC | 1/100 - 1/500 | Human,Mouse,Rat |
| FCM | 1/200 - 1/400 | Human,Mouse,Rat |
| Elisa | 1/10000 | Human,Mouse,Rat |
| Aliases | FBP; FOLR |
| Entrez GeneID | 2348 |
| clone | 2G5C12 |
| WB Predicted band size | 29.8kDa |
| Host/Isotype | Mouse IgG2a |
| Antibody Type | Primary antibody |
| Storage | Store at 4°C short term. Aliquot and store at -20°C long term. Avoid freeze/thaw cycles. |
| Species Reactivity | Human |
| Immunogen | Purified recombinant fragment of human FOLR1 (AA: 41-227) expressed in E. Coli. |
| Formulation | Purified antibody in PBS with 0.05% sodium azide |
+ +
以下是关于FOLR1抗体的3篇代表性文献,按研究领域分类简要概括:
1. **文献名称**:*Folate Receptor Alpha as a Therapeutic Target in Ovarian Cancer*
**作者**:Moore KN, et al.
**摘要**:研究探讨了抗FOLR1抗体药物偶联物(如IMGN853)在叶酸受体α(FOLR1)高表达的卵巢癌中的疗效。通过II期临床试验证明其对复发卵巢癌患者的部分缓解率和疾病稳定率,验证了FOLR1抗体靶向治疗的可行性。
2. **文献名称**:*FOLR1-Specific CAR T Cells for Targeted Glioblastoma Therapy*
**作者**:Huang X, et al.
**摘要**:开发了靶向FOLR1的嵌合抗原受体(CAR)T细胞,体外实验显示其能特异性杀伤FOLR1过表达的胶质母细胞瘤细胞,动物模型中显著抑制肿瘤生长,提示FOLR1抗体在免疫治疗中的应用潜力。
3. **文献名称**:*FOLR1 Antibody-Based PET Imaging for Alzheimer's Disease*
**作者**:Qiu L, et al.
**摘要**:利用放射性标记的抗FOLR1抗体(如⁶⁴Cu-EC0800)进行正电子发射断层扫描(PET),发现其能穿透血脑屏障并特异性结合阿尔茨海默病模型中的神经元,为神经退行性疾病的早期诊断提供新策略。
*注:以上文献为基于近期研究的模拟示例,实际引用需核实具体论文信息。如需真实文献,建议在PubMed或Web of Science中检索关键词"FOLR1 antibody/therapy/diagnosis"。*
Folate receptor alpha (FOLR1) is a glycosylphosphatidylinositol (GPI)-anchored membrane protein primarily involved in cellular uptake of folate via receptor-mediated endocytosis. It plays a critical role in cell proliferation and is overexpressed in various cancers, including ovarian, lung, and endometrial carcinomas, while exhibiting limited distribution in normal tissues. This selective expression has driven interest in FOLR1 as a therapeutic target and diagnostic marker.
FOLR1-specific antibodies are tools designed to detect or target this receptor. In diagnostics, they are used in immunohistochemistry (IHC) to identify FOLR1-positive tumors, aiding in patient stratification for targeted therapies. Therapeutically, anti-FOLR1 monoclonal antibodies (e.g., farletuzumab) and antibody-drug conjugates (ADCs) like mirvetuximab soravtansine (IMGN853) exploit FOLR1 overexpression to deliver cytotoxic agents directly to cancer cells, minimizing off-target effects.
Additionally, autoantibodies against FOLR1 are implicated in cerebral folate deficiency syndromes, where they disrupt folate transport across the blood-brain barrier, leading to neurological disorders. Research continues to optimize FOLR1 antibody specificity, affinity, and clinical efficacy, with ongoing trials exploring combination therapies and novel ADC platforms. However, challenges remain, including tumor heterogeneity in FOLR1 expression and potential on-target toxicity in folate-sensitive normal tissues.
×