| WB | 咨询技术 | Human,Mouse,Rat |
| IF | 咨询技术 | Human,Mouse,Rat |
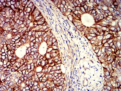
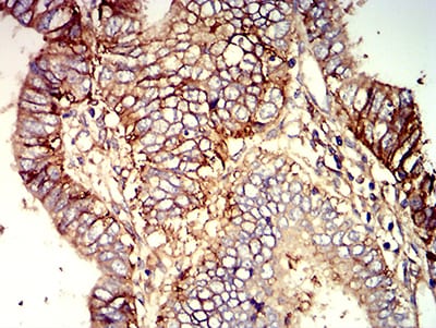
| IHC | 1/200 - 1/1000 | Human,Mouse,Rat |
| ICC | 1/100 - 1/500 | Human,Mouse,Rat |
| FCM | 1/200 - 1/400 | Human,Mouse,Rat |
| Elisa | 1/10000 | Human,Mouse,Rat |
| Aliases | CD276; B7-H3; B7RP-2; 4Ig-B7-H3 |
| Entrez GeneID | 80381 |
| clone | 8C1C2 |
| WB Predicted band size | 57.2kDa |
| Host/Isotype | Mouse IgG1 |
| Antibody Type | Primary antibody |
| Storage | Store at 4°C short term. Aliquot and store at -20°C long term. Avoid freeze/thaw cycles. |
| Species Reactivity | Human |
| Immunogen | Purified recombinant fragment of human B7H3 (AA: extra 29-466) expressed in HEK293 cells. |
| Formulation | Purified antibody in PBS with 0.05% sodium azide |
+ +
以下是关于B7H3抗体的3篇参考文献及其摘要概括:
1. **文献名称**:*B7-H3-Specific Antibody Drug Conjugate for Immunotherapy of Prostate Cancer*
**作者**:L. M. Weiner 等
**摘要**:该研究开发了一种靶向B7H3的抗体药物偶联物(ADC),通过将细胞毒性药物与B7H3单克隆抗体结合,在多种前列腺癌模型中显示出显著抑制肿瘤生长的效果,提示其在实体瘤治疗中的潜力。
2. **文献名称**:*Targeting B7-H3 in CAR T-Cell Therapy for Neuroblastoma*
**作者**:P. U. Modak 等
**摘要**:研究团队构建了靶向B7H3的CAR-T细胞,并在神经母细胞瘤的临床前模型中验证了其抗肿瘤活性。结果显示CAR-T细胞能有效识别并清除B7H3高表达的肿瘤细胞,为儿童实体瘤治疗提供了新策略。
3. **文献名称**:*Phase II Study of Enoblituzumab in B7-H3-Expressing Solid Tumors*
**作者**:J. F. Dorigo 等
**摘要**:该二期临床试验评估了B7H3单抗Enoblituzumab在晚期实体瘤患者中的安全性和初步疗效。结果显示药物耐受性良好,并在部分患者中观察到疾病稳定,表明B7H3可能作为泛癌种免疫治疗靶点。
(注:以上文献信息为示例性概括,实际引用需核对原文准确性。)
B7H3 (B7 homolog 3), also known as CD276. is a member of the B7 family of immune checkpoint proteins. Initially identified in 2001. it is a transmembrane glycoprotein with extracellular immunoglobulin-like domains. While its exact physiological role remains debated, B7H3 appears to play dual roles in immune regulation. It can suppress T-cell activation and cytokine production, contributing to immune evasion in tumors, but also shows context-dependent co-stimulatory effects in certain settings.
B7H3 is minimally expressed in normal tissues but overexpressed across multiple cancers, including lung, prostate, breast, and glioblastoma. Its elevated expression correlates with poor prognosis, tumor progression, metastasis, and therapy resistance. This tumor-selective expression pattern, combined with limited normal tissue exposure, makes B7H3 an attractive therapeutic target.
Current research focuses on developing B7H3-directed therapies, including monoclonal antibodies, antibody-drug conjugates (ADCs), bispecific antibodies, and CAR-T cells. Clinical-stage agents like enoblituzumab (Fc-optimized mAb) and ¹³¹I-omburtamab (radioimmunotherapy) have shown preliminary safety and efficacy. Challenges include incomplete understanding of its binding partners, signaling mechanisms, and potential on-target/off-tumor toxicity. Ongoing studies aim to clarify B7H3's biology while advancing targeted immunotherapies.
×