| WB | 1/500 - 1/2000 | Human,Mouse,Rat |
| IF | 咨询技术 | Human,Mouse,Rat |
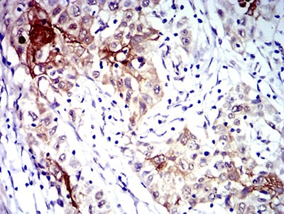
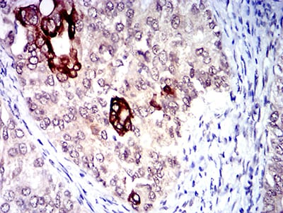
| IHC | 1/200 - 1/1000 | Human,Mouse,Rat |
| ICC | 技术咨询 | Human,Mouse,Rat |
| FCM | 1/200 - 1/400 | Human,Mouse,Rat |
| Elisa | 1/10000 | Human,Mouse,Rat |
| Aliases | CXCR3; GPR9; MigR; CD182; Mig-R; CKR-L2; CMKAR3; IP10-R |
| Entrez GeneID | 2833 |
| clone | 5C10E6 |
| WB Predicted band size | 40.7kDa |
| Host/Isotype | Mouse IgG1 |
| Antibody Type | Primary antibody |
| Storage | Store at 4°C short term. Aliquot and store at -20°C long term. Avoid freeze/thaw cycles. |
| Species Reactivity | Human |
| Immunogen | Purified recombinant fragment of human CD183 (AA: extra mix) expressed in E. Coli. |
| Formulation | Purified antibody in PBS with 0.05% sodium azide |
+ +
以下是关于CD183(CXCR3)抗体的3篇文献摘要概览:
---
1. **文献名称**:*CXCR3-targeted therapies in autoimmune diseases*
**作者**:Antonelli, A., et al. (2018)
**摘要**:探讨CXCR3在自身免疫疾病(如类风湿性关节炎、多发性硬化症)中的病理作用,分析其抗体在抑制T细胞迁移和炎症反应中的治疗潜力,并总结临床前及临床试验进展。
---
2. **文献名称**:*CXCR3 ligands in disease-related leukocyte trafficking*
**作者**:Groom, J.R., & Richter, M.V. (2019)
**摘要**:研究CXCR3与其配体(CXCL9/10/11)的相互作用机制,阐明其在感染和肿瘤微环境中调控免疫细胞迁移的作用,并讨论抗体阻断策略对免疫调节的影响。
---
3. **文献名称**:*CD183 as a biomarker for T cell activation in viral infections*
**作者**:Liu, L., et al. (2020)
**摘要**:通过流式细胞术分析CD183抗体标记的T细胞亚群,发现其在HIV和HCV患者中高表达,提示CXCR3可作为评估抗病毒免疫应答的动态生物标志物。
---
**备注**:若需具体文献来源,建议通过PubMed或Google Scholar检索标题或作者名获取全文。
CD183. also known as CXCR3. is a chemokine receptor belonging to the G protein-coupled receptor (GPCR) family. It is primarily expressed on activated T cells, natural killer (NK) cells, and other immune cells, where it mediates chemotaxis in response to interferon (IFN)-inducible ligands such as CXCL9. CXCL10. and CXCL11. These ligands are often upregulated during inflammatory or immune responses, positioning CD183 as a key player in directing immune cell migration to sites of infection, autoimmune activity, or tumor microenvironments.
CD183 antibodies are critical tools for identifying and characterizing CXCR3-expressing cell populations, particularly Th1-polarized T cells, which are associated with type 1 immune responses. In research, these antibodies are widely used in flow cytometry, immunohistochemistry, and functional studies to investigate immune dysregulation in diseases like multiple sclerosis, rheumatoid arthritis, viral infections, and cancer. Clinically, CD183 has emerged as a potential therapeutic target, with antibodies or small-molecule inhibitors being explored to modulate immune cell trafficking in inflammatory disorders. However, its role in cancer remains complex, as CXCR3 signaling can either promote antitumor immunity or facilitate tumor progression depending on context. Monoclonal anti-CD183 antibodies (e.g., clones 1C6. G025H7) are commonly validated for specificity across human and murine models, aiding mechanistic studies of immune pathways. Ongoing research continues to unravel its dualistic functions, balancing pro-inflammatory and regulatory roles in disease pathogenesis.
×