首页 / 产品 / 抗体 / 一抗

Mouse Monoclonal CD104 Antibody

  • 中文名: CD104抗体
  • 别    名: ITGB4; GP150
货号: IPD31348
Price: ¥1280
数量:
大包装询价

验证与应用

应用及物种
WB 咨询技术 Human,Mouse,Rat
IF 咨询技术 Human,Mouse,Rat
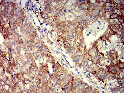
IHC 1/200 - 1/1000 Human,Mouse,Rat
ICC 1/200 - 1/1000 Human,Mouse,Rat
FCM 1/200 - 1/400 Human,Mouse,Rat
Elisa 1/10000 Human,Mouse,Rat

产品详情

AliasesITGB4; GP150
Entrez GeneID3691
clone1D6B4
WB Predicted band size202.2kDa
Host/IsotypeMouse IgG2a
Antibody TypePrimary antibody
StorageStore at 4°C short term. Aliquot and store at -20°C long term. Avoid freeze/thaw cycles.
Species ReactivityHuman
ImmunogenPurified recombinant fragment of human CD104 (AA: extra 29-206) expressed in E. Coli.
FormulationPurified antibody in PBS with 0.05% sodium azide

+ +

参考文献

以下是关于CD104(整合素β4.ITGB4)抗体的3篇代表性文献概览:

---

1. **文献名称**:*Integrin β4 is required for hemidesmosome formation and cell polarity in the developing epidermis*

**作者**:Dowling J, et al.

**摘要**:研究通过基因敲除小鼠模型揭示,整合素β4(CD104)对表皮半桥粒的形成至关重要,其缺失导致细胞极性紊乱和皮肤水疱表型,强调了CD104在上皮组织完整性中的作用。

---

2. **文献名称**:*The α6β4 integrin in cancer: Metastasis and beyond*

**作者**:Mercurio AM, et al.

**摘要**:综述了α6β4整合素(CD104为β4亚基)在肿瘤侵袭和转移中的双重作用,探讨其通过调控细胞迁移、存活信号通路(如PI3K/AKT)促进癌症进展的机制。

---

3. **文献名称**:*Targeting integrin β4 for cancer therapy: Current insights and future directions*

**作者**:Giancotti FG, et al.

**摘要**:提出整合素β4(CD104)作为治疗靶点的潜力,分析其抗体在抑制肿瘤生长和转移中的实验效果,并讨论其与生长因子受体(如EGFR)的协同信号传导机制。

---

这些文献覆盖了CD104在基础生物学、病理机制及治疗应用中的关键研究,可为进一步实验设计或综述提供参考。如需具体实验抗体信息,建议补充筛选条件(如物种来源、应用场景)。

背景信息

CD104. also known as integrin β4. is a transmembrane protein subunit that pairs with α6 integrin to form the α6β4 heterodimer, a key component of hemidesmosomes. These structures anchor epithelial cells to the basement membrane by binding laminins, ensuring tissue integrity. Unlike other integrin β subunits, β4 contains a uniquely long cytoplasmic domain with signaling motifs that regulate cell adhesion, migration, and survival.

CD104 antibodies specifically target this subunit, enabling researchers to study its expression and function. In research, these antibodies are used in techniques like flow cytometry, immunofluorescence, and Western blotting to investigate β4's role in epithelial homeostasis, wound healing, and cancer progression. Dysregulation of α6β4 is linked to aggressive tumor behavior, including invasion and metastasis in carcinomas (e.g., breast, lung).

Clinically, CD104 antibodies aid in diagnosing genetic disorders like epidermolysis bullosa, where β4 mutations cause skin fragility. They also help characterize tumors with aberrant β4 expression, potentially guiding therapeutic strategies. Recent studies explore β4's signaling crosstalk with growth factor receptors, highlighting its dual role as an adhesive molecule and signaling hub.

Overall, CD104 antibodies remain vital tools for unraveling the complex biology of integrin β4 in health and disease.

客户数据及评论

折叠内容

大包装询价

×