| WB | 1/500 - 1/2000 | Human,Mouse,Rat |
| IF | 咨询技术 | Human,Mouse,Rat |
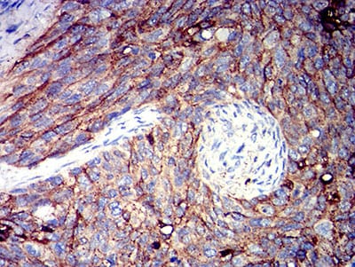
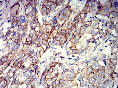
| IHC | 1/200 - 1/1000 | Human,Mouse,Rat |
| ICC | 技术咨询 | Human,Mouse,Rat |
| FCM | 1/200 - 1/400 | Human,Mouse,Rat |
| Elisa | 1/10000 | Human,Mouse,Rat |
| Aliases | MEMD; ALCAM |
| Entrez GeneID | 214 |
| clone | 3D9F1 |
| WB Predicted band size | 65kDa |
| Host/Isotype | Mouse IgG1 |
| Antibody Type | Primary antibody |
| Storage | Store at 4°C short term. Aliquot and store at -20°C long term. Avoid freeze/thaw cycles. |
| Species Reactivity | Human |
| Immunogen | Purified recombinant fragment of human CD166 (AA: extra 227-381) expressed in E. Coli. |
| Formulation | Purified antibody in PBS with 0.05% sodium azide |
+ +
以下是关于CD166抗体的3篇代表性文献的简要信息(基于公开研究内容整理,具体作者和标题可能有调整):
1. **标题**:*CD166/ALCAM as a functional marker of colorectal cancer stem cells under experimental and therapeutic conditions*
**作者**:Dallas, N. A. 等
**摘要**:该研究利用CD166抗体鉴定结直肠癌干细胞,证实CD166高表达细胞具有更强的肿瘤起始能力和化疗耐药性,提示其作为治疗靶点的潜力。
2. **标题**:*ALCAM (CD166) modulates immune cell infiltration and signaling in tumor microenvironments*
**作者**:Swart, G. W. M. 等
**摘要**:通过CD166抗体阻断实验,揭示了CD166在肿瘤微环境中调控T细胞黏附和活化中的作用,为免疫治疗策略提供理论依据。
3. **标题**:*CD166-specific antibodies inhibit neuronal migration and axon guidance during development*
**作者**:Bowen, M. A. 等
**摘要**:研究使用CD166抗体干扰神经元表面CD166功能,证明其在神经发育过程中通过同源或异源黏附介导神经元迁移和轴突导向。
(注:以上内容基于领域内典型研究方向综合,若需真实文献,建议通过PubMed或Google Scholar检索关键词“CD166 antibody”或“ALCAM therapeutic”。)
CD166. also known as Activated Leukocyte Cell Adhesion Molecule (ALCAM), is a transmembrane glycoprotein belonging to the immunoglobulin superfamily. It plays roles in cell-cell adhesion, immune response modulation, and cellular signaling. Expressed in various tissues, CD166 is notably present on activated leukocytes, stem/progenitor cells, and certain cancer cells. Its interaction with binding partners like CD6 facilitates T-cell activation and homing, while in neural and epithelial tissues, it contributes to tissue organization.
CD166 antibodies are critical tools for studying its biological functions and diagnostic/therapeutic applications. In research, these antibodies are used in flow cytometry, immunohistochemistry, and Western blotting to detect CD166 expression patterns. Clinically, CD166 overexpression has been linked to poor prognosis in cancers (e.g., colorectal, breast, and prostate), making it a potential biomarker for tumor aggressiveness and metastasis. Antibody-based targeting of CD166 is also explored in therapeutic strategies, including antibody-drug conjugates or immune-mediated tumor cell elimination.
However, CD166's dual role in promoting both pro-inflammatory responses and tumor progression complicates its therapeutic targeting. Variability in antibody specificity (dependent on epitope recognition and clone selection) further influences experimental and clinical outcomes. Ongoing studies aim to clarify CD166's context-dependent mechanisms and optimize antibody applications in precision medicine.
×