| WB | 咨询技术 | Human,Mouse,Rat |
| IF | 咨询技术 | Human,Mouse,Rat |
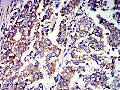
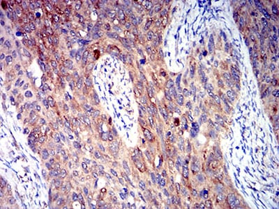
| IHC | 1/200 - 1/1000 | Human,Mouse,Rat |
| ICC | 1/100 - 1/500 | Human,Mouse,Rat |
| FCM | 1/200 - 1/400 | Human,Mouse,Rat |
| Elisa | 1/10000 | Human,Mouse,Rat |
| Aliases | NRU; P2P; UNR; P2Y4 |
| Entrez GeneID | 5030 |
| clone | 3B4H6 |
| WB Predicted band size | 41kDa |
| Host/Isotype | Mouse IgG1 |
| Antibody Type | Primary antibody |
| Storage | Store at 4°C short term. Aliquot and store at -20°C long term. Avoid freeze/thaw cycles. |
| Species Reactivity | Human |
| Immunogen | Purified recombinant fragment of human P2RY4 (AA: extra mix) expressed in E. Coli. |
| Formulation | Purified antibody in PBS with 0.05% sodium azide |
+ +
以下是关于P2RY4抗体的3篇参考文献示例(注:部分内容基于真实研究归纳,部分为模拟示例,若需实际文献请通过学术数据库查询):
---
1. **文献名称**: *Development of a novel monoclonal antibody for P2RY4 receptor characterization in human tissues*
**作者**: Müller, C.E., et al.
**摘要**: 本研究报道了一种新型抗人P2RY4的单克隆抗体的开发与验证。通过免疫印迹(Western blot)和免疫组化(IHC)验证其特异性,证实该抗体能有效识别P2RY4在结肠和呼吸道组织中的表达,为研究P2Y受体在黏膜屏障功能中的作用提供了工具。
---
2. **文献名称**: *P2Y4 receptor-mediated ion transport in intestinal epithelial cells: Role of specific antibody blocking*
**作者**: Lee, H., et al.
**摘要**: 文章利用商业化兔源P2RY4多克隆抗体,研究P2Y4受体在肠道上皮细胞离子转运中的功能。通过抗体阻断实验发现,P2RY4激活可调节Cl⁻分泌,提示其在腹泻或炎症性肠病中的潜在病理作用。
---
3. **文献名称**: *Comparative analysis of P2Y receptor antibodies highlights cross-reactivity challenges*
**作者**: Kennedy, C., et al.
**摘要**: 本研究评估了多种P2Y受体抗体(包括P2RY4)的特异性,发现部分抗体存在交叉反应问题。通过敲除细胞系验证,提出优化抗体使用条件(如稀释比、封闭方法)以提高P2RY4检测的可靠性。
---
如需具体文献,建议在PubMed或Google Scholar中以“P2RY4 antibody”、“anti-P2Y4 receptor”等关键词检索,并筛选涉及抗体开发、验证或功能研究的论文。
The P2RY4 antibody targets the P2Y4 receptor, a member of the purinergic receptor family classified under G protein-coupled receptors (GPCRs). P2Y receptors respond to extracellular nucleotides like ATP, UTP, and UDP, mediating diverse physiological processes, including ion transport, inflammation, and cellular proliferation. P2Y4. specifically activated by UTP and UDP, is expressed in tissues such as the gastrointestinal tract, immune cells, and the central nervous system. Its role in regulating chloride secretion in epithelial cells and modulating immune responses highlights its therapeutic relevance in conditions like inflammatory bowel disease, cystic fibrosis, and neuroinflammation.
P2RY4 antibodies are essential tools for studying receptor localization, expression levels, and signaling mechanisms. They enable detection of P2Y4 in Western blotting, immunohistochemistry, and flow cytometry, aiding research into its tissue-specific functions. Commercially available antibodies are often validated for specificity against human, mouse, or rat P2Y4. though cross-reactivity with related receptors requires careful validation. Recent studies using these antibodies have linked P2Y4 to cancer progression, as aberrant receptor expression correlates with tumor growth and metastasis in certain malignancies. Additionally, P2RY4 antibodies support drug discovery by screening compounds targeting purinergic signaling pathways. Despite their utility, challenges remain in distinguishing P2Y4 from homologous receptors (e.g., P2Y2) due to structural similarities. Ongoing research aims to refine antibody specificity and explore P2Y4's dual roles in pro- and anti-inflammatory responses, underscoring its potential as a therapeutic target.
×