| WB | 1/500 - 1/2000 | Human,Mouse,Rat |
| IF | 咨询技术 | Human,Mouse,Rat |
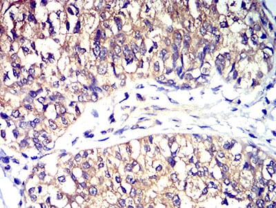
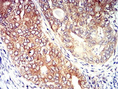
| IHC | 1/200 - 1/1000 | Human,Mouse,Rat |
| ICC | 技术咨询 | Human,Mouse,Rat |
| FCM | 1/200 - 1/400 | Human,Mouse,Rat |
| Elisa | 1/10000 | Human,Mouse,Rat |
| Aliases | CCR5; CKR5; CCR-5; CKR-5; CCCKR5; CMKBR5; IDDM22; CC-CKR-5 |
| Entrez GeneID | 1234 |
| clone | 6G11D1 |
| WB Predicted band size | 40.5kDa |
| Host/Isotype | Mouse IgG1 |
| Antibody Type | Primary antibody |
| Storage | Store at 4°C short term. Aliquot and store at -20°C long term. Avoid freeze/thaw cycles. |
| Species Reactivity | Human,Rat |
| Immunogen | Purified recombinant fragment of human CD195 (AA: extra mix) expressed in E. Coli. |
| Formulation | Purified antibody in PBS with 0.05% sodium azide |
+ +
以下是关于CD195(CCR5)抗体的3篇参考文献概览:
---
1. **标题**: *Maraviroc (CCR5 antagonist) demonstrates antiviral activity and immune modulation in HIV-1 infection*
**作者**: Fatkenheuer G, et al.
**摘要**: 该研究报道了CCR5抗体药物马拉维单抗(Maraviroc)通过阻断HIV-1与宿主细胞CCR5受体的结合,抑制病毒进入的临床试验结果。结果显示其显著降低病毒载量并改善患者免疫功能,支持其作为联合抗逆转录病毒治疗的组成部分。
2. **标题**: *CCR5 blockade for colorectal cancer immunotherapy: Mechanisms and therapeutic potential*
**作者**: Halama N, et al.
**摘要**: 研究探讨了CCR5抗体在结直肠癌中的作用,发现肿瘤微环境中CCR5高表达与免疫抑制相关。通过抗体阻断CCR5可增强T细胞浸润并抑制肿瘤生长,提示其在癌症免疫治疗中的潜力。
3. **标题**: *Anti-CCR5 monoclonal antibody reverses autoimmune neuroinflammation by modulating T cell responses*
**作者**: Jacobson O, et al.
**摘要**: 该研究在小鼠多发性硬化模型中验证了CCR5抗体通过抑制Th17细胞迁移至中枢神经系统,减轻神经炎症和脱髓鞘病变,为自身免疫疾病的抗体疗法提供了实验依据。
---
以上文献涵盖HIV、癌症及自身免疫病领域,展示了CD195/CCR5抗体的多重治疗潜力。如需具体文章链接或补充,可进一步说明。
CD195. also known as CCR5 (C-C chemokine receptor type 5), is a transmembrane G protein-coupled receptor expressed on immune cells, including T lymphocytes, macrophages, and dendritic cells. It plays a critical role in mediating cell migration and inflammatory responses by binding to chemokines such as CCL3. CCL4. and CCL5. CCR5 gained prominence due to its role as a co-receptor for human immunodeficiency virus (HIV) entry into host cells, particularly for R5-tropic strains. This discovery led to extensive research on CCR5 as a therapeutic target, exemplified by the FDA-approved HIV entry inhibitor maraviroc, a CCR5 antagonist.
CD195 antibodies are vital tools for studying CCR5 expression, function, and signaling in diseases like HIV/AIDS, autoimmune disorders, and cancers. They are used in flow cytometry, immunohistochemistry, and functional assays to characterize immune cell subsets or evaluate receptor modulation. Some therapeutic antibodies or small molecules targeting CCR5 aim to block inflammatory pathways in conditions such as rheumatoid arthritis or to inhibit cancer metastasis. Additionally, the CCR5Δ32 mutation, which confers natural resistance to HIV, has spurred gene-editing approaches using CRISPR/Cas9. with CD195 antibodies serving as validation tools.
Overall, CD195 antibodies bridge basic research and clinical applications, advancing understanding of immune regulation, viral pathogenesis, and targeted therapies.
×