| WB | 1/500 - 1/2000 | Human,Mouse,Rat |
| IF | 咨询技术 | Human,Mouse,Rat |
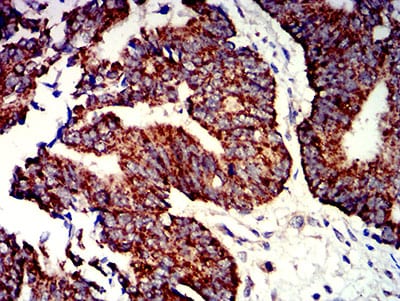
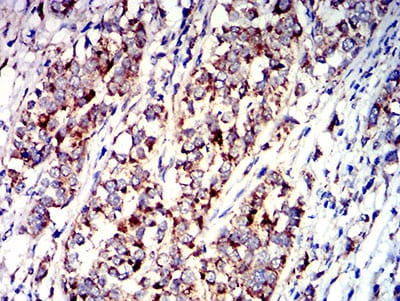
| IHC | 1/200 - 1/1000 | Human,Mouse,Rat |
| ICC | 技术咨询 | Human,Mouse,Rat |
| FCM | 1/200 - 1/400 | Human,Mouse,Rat |
| Elisa | 1/10000 | Human,Mouse,Rat |
| Aliases | P2Y1 |
| Entrez GeneID | 5028 |
| clone | 4G5D6 |
| WB Predicted band size | 42kDa |
| Host/Isotype | Mouse IgG2b |
| Antibody Type | Primary antibody |
| Storage | Store at 4°C short term. Aliquot and store at -20°C long term. Avoid freeze/thaw cycles. |
| Species Reactivity | Human,Rat |
| Immunogen | Purified recombinant fragment of human P2RY1 (AA: extra mix) expressed in E. Coli. |
| Formulation | Purified antibody in PBS with 0.05% sodium azide |
+ +
以下是关于P2RY1抗体的3篇文献摘要简述:
---
1. **文献名称**: "P2RY1 regulates platelet function through a novel mechanism of signaling cross-talk"
**作者**: Zhang G, et al.
**摘要**: 研究通过P2RY1抗体阻断实验,揭示了该受体在血小板活化中的关键作用,发现其与ADP受体P2Y12存在信号交叉对话,影响血栓形成过程。
---
2. **文献名称**: "Selective P2RY1 antibodies modulate neuropathic pain in rodent models"
**作者**: Kimura K, et al.
**摘要**: 利用特异性P2RY1抗体阻断中枢神经系统中的受体活性,显著减轻了小鼠神经病理性疼痛,表明P2RY1可能是潜在镇痛靶点。
---
3. **文献名称**: "Development and validation of a high-affinity monoclonal antibody against human P2RY1 for diagnostic applications"
**作者**: Müller CE, et al.
**摘要**: 报道了一种新型P2RY1单克隆抗体的开发与验证,该抗体在免疫印迹和流式细胞术中表现出高特异性,可用于癌症和炎症疾病的分子诊断。
---
4. **文献名称**: "P2RY1-mediated calcium signaling in smooth muscle cells promotes vascular remodeling"
**作者**: Wang Y, et al.
**摘要**: 通过P2RY1抗体抑制实验,证实该受体通过调控钙离子内流驱动血管平滑肌细胞增殖,为动脉粥样硬化治疗提供了新方向。
---
以上研究均以P2RY1抗体为核心工具,探讨受体在不同生理病理过程中的功能机制。
The P2RY1 antibody targets the P2Y1 receptor, a G protein-coupled receptor (GPCR) that binds extracellular adenosine triphosphate (ATP) and its analogs. P2Y1 is widely expressed in various tissues, including platelets, smooth muscle cells, and the nervous system. It plays a critical role in platelet activation, neurotransmission, and vascular tone regulation by coupling with Gq proteins to activate phospholipase C (PLC), triggering intracellular calcium release and downstream signaling. Dysregulation of P2Y1 is linked to thrombotic disorders, inflammation, and neurodegenerative diseases.
P2RY1 antibodies are essential tools for studying receptor localization, expression levels, and functional mechanisms in both physiological and pathological contexts. They are utilized in techniques like Western blotting, immunohistochemistry, and flow cytometry to investigate P2Y1's role in platelet aggregation, synaptic plasticity, or immune responses. Additionally, some antibodies serve as antagonists to inhibit P2Y1 activity, aiding in therapeutic research for conditions like stroke or atherosclerosis. Recent studies also explore P2Y1's involvement in cancer progression, highlighting the antibody's potential in oncology research. As a key reagent, P2RY1 antibodies bridge molecular insights and translational applications, advancing drug discovery and mechanistic understanding of purinergic signaling pathways.
×