| WB | 咨询技术 | Human,Mouse,Rat |
| IF | 咨询技术 | Human,Mouse,Rat |
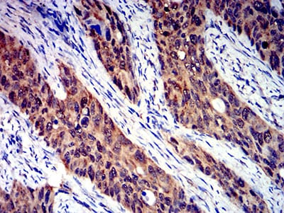
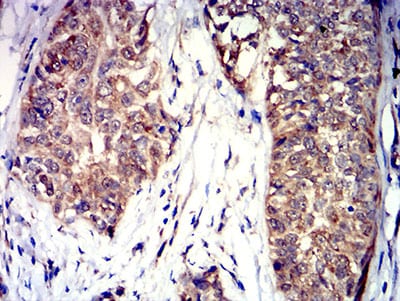
| IHC | 1/200 - 1/1000 | Human,Mouse,Rat |
| ICC | 技术咨询 | Human,Mouse,Rat |
| FCM | 1/200 - 1/400 | Human,Mouse,Rat |
| Elisa | 1/10000 | Human,Mouse,Rat |
| Aliases | SEMA4D; SEMAJ; coll-4; C9orf164; M-sema-G |
| Entrez GeneID | 10507 |
| clone | 5H6E3 |
| WB Predicted band size | 96.2kDa |
| Host/Isotype | Mouse IgG1 |
| Antibody Type | Primary antibody |
| Storage | Store at 4°C short term. Aliquot and store at -20°C long term. Avoid freeze/thaw cycles. |
| Species Reactivity | Human |
| Immunogen | Purified recombinant fragment of human CD100 (AA: extra 590-734) expressed in E. Coli. |
| Formulation | Purified antibody in PBS with 0.05% sodium azide |
+ +
以下是3-4条关于CD100(SEMA4D)抗体的参考文献及其简要摘要:
---
1. **文献名称**: *CD100 enhances dendritic cell activation through interaction with plexin-B1*
**作者**: Kumanogoh, A., et al.
**摘要**: 该研究揭示了CD100(SEMA4D)通过与树突状细胞表面的plexin-B1受体结合,促进树突状细胞的成熟与活化,进而增强T细胞免疫应答,提示其在适应性免疫中的关键作用。
---
2. **文献名称**: *Anti-SEMA4D monoclonal antibody prevents disease recurrence in a murine model of multiple sclerosis*
**作者**: Smith, E.S., et al.
**摘要**: 研究发现,抗CD100抗体通过阻断SEMA4D与受体plexin-B1的相互作用,显著抑制小鼠实验性自身免疫性脑脊髓炎(EAE,多发性硬化模型)的复发,表明其治疗自身免疫疾病的潜力。
---
3. **文献名称**: *SEMA4D blockade enhances tumor immunity through combined effects on tumor vessels and T cells*
**作者**: Yamamoto, M., et al.
**摘要**: 该文证明抗CD100抗体可通过双重机制抑制肿瘤进展:一方面抑制肿瘤血管异常生成,另一方面增强肿瘤微环境中T细胞的浸润与功能,为癌症免疫治疗提供新策略。
---
4. **文献名称**: *SEMA4D compromises blood-brain barrier, activates neuroinflammation, and inhibits remyelination in neurodegenerative disease models*
**作者**: Sierra, A., et al.
**摘要**: 研究指出,CD100在神经退行性疾病中通过破坏血脑屏障完整性、激活小胶质细胞炎症反应,并抑制髓鞘再生,而抗CD100抗体可缓解这些病理过程,提示其在神经疾病中的应用价值。
---
以上文献涵盖了CD100抗体在免疫调控、自身免疫病、肿瘤治疗及神经疾病中的机制与治疗潜力。如需具体文章细节,建议通过PubMed或Google Scholar检索标题或作者名获取全文。
The CD100 antibody targets CD100. also known as SEMA4D (Semaphorin-4D), a transmembrane glycoprotein belonging to the semaphorin family. Initially identified for its role in axon guidance and neuronal development, CD100 is now recognized as a critical immune regulator. It interacts with receptors such as plexin-B1/B2 and CD72. modulating T-cell activation, B-cell differentiation, dendritic cell maturation, and angiogenesis. In the tumor microenvironment, CD100 promotes immunosuppression by recruiting myeloid-derived suppressor cells (MDSCs) and enhancing tumor cell invasiveness.
CD100 antibodies, often monoclonal (e.g., VX15/2503), block these interactions to restore anti-tumor immunity or inhibit pathological angiogenesis. Preclinical studies highlight their potential in cancer immunotherapy, particularly in disrupting CD100-mediated immune evasion. Clinical trials have explored their efficacy in solid tumors and multiple sclerosis, leveraging CD100's dual role in immune and neural systems. Structurally, CD100 antibodies typically target its extracellular SEMA domain, preventing receptor binding. Challenges include optimizing specificity to avoid off-target effects and understanding context-dependent signaling. Research continues to expand its therapeutic applications in autoimmune diseases, neurodegenerative disorders, and vascular pathologies.
×