| WB | 1/500 - 1/2000 | Human,Mouse,Rat |
| IF | 咨询技术 | Human,Mouse,Rat |
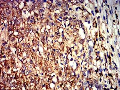
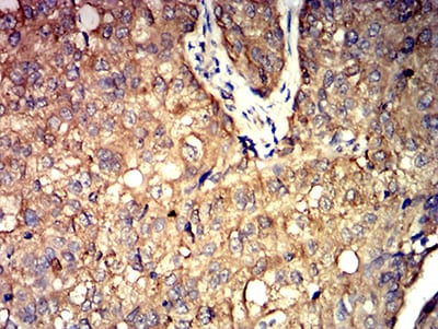
| IHC | 1/200 - 1/1000 | Human,Mouse,Rat |
| ICC | 技术咨询 | Human,Mouse,Rat |
| FCM | 1/200 - 1/400 | Human,Mouse,Rat |
| Elisa | 1/10000 | Human,Mouse,Rat |
| Aliases | ALDA; GSD12; HEL-S-87p |
| Entrez GeneID | 226 |
| clone | 1C5B2 |
| WB Predicted band size | 39.4kDa |
| Host/Isotype | Mouse IgG2a |
| Antibody Type | Primary antibody |
| Storage | Store at 4°C short term. Aliquot and store at -20°C long term. Avoid freeze/thaw cycles. |
| Species Reactivity | Human,Mouse |
| Immunogen | Purified recombinant fragment of human ALDOA (AA: 9-145) expressed in E. Coli. |
| Formulation | Purified antibody in PBS with 0.05% sodium azide |
+ +
以下是3篇关于ALDOA抗体的参考文献及其摘要概括:
1. **标题**:Autoantibodies against aldolase A in patients with systemic lupus erythematosus
**作者**:Meyer et al.
**摘要**:研究发现系统性红斑狼疮(SLE)患者血清中抗ALDOA自身抗体水平显著升高,提示ALDOA可能作为SLE的新型自身抗原,其抗体或与疾病活动性相关。
2. **标题**:Aldolase A as a biomarker for hepatocellular carcinoma
**作者**:Li et al.
**摘要**:通过免疫组化和Western blot分析,证实肝细胞癌(HCC)组织中ALDOA蛋白高表达,ALDOA抗体检测可作为HCC诊断及预后的潜在生物标志物。
3. **标题**:Anti-aldolase antibodies in autoimmune hepatitis
**作者**:Terrier et al.
**摘要**:在自身免疫性肝炎(AIH)患者中发现抗ALDOA抗体,提示其可能参与疾病发病机制,并与肝细胞损伤相关,为AIH诊断提供新血清学指标。
4. **标题**:ALDOA promotes lung cancer metastasis via glycolytic reprogramming
**作者**:Ji et al.
**摘要**:利用ALDOA抗体研究其在肺癌中的功能,发现ALDOA通过增强糖酵解促进肿瘤细胞侵袭转移,抗体阻断实验验证其作为治疗靶点的潜力。
The ALDOA antibody targets aldolase A, a glycolytic enzyme encoded by the ALDOA gene. Aldolase A (ALDOA) is one of three aldolase isoforms (A, B, C) and plays a critical role in glycolysis by catalyzing the cleavage of fructose-1.6-bisphosphate into glyceraldehyde-3-phosphate and dihydroxyacetone phosphate. It is predominantly expressed in muscle tissues, erythrocytes, and other metabolically active cells, where it supports energy production. ALDOA also exhibits non-glycolytic functions, including interactions with cytoskeletal components like actin, suggesting roles in cell structure and motility.
ALDOA antibodies are widely used in research to study enzyme expression, localization, and dysfunction in diseases. Elevated ALDOA levels are associated with cancers, including hepatocellular carcinoma and lung adenocarcinoma, where it may promote tumor progression via enhanced glycolysis (Warburg effect) and metastasis-related pathways. Conversely, ALDOA deficiency is linked to rare inherited disorders like glycogen storage disease type XII (GSDXII), causing exercise intolerance and hemolytic anemia.
In diagnostics, ALDOA antibodies aid in detecting aldolase A in tissue samples, particularly in muscular pathologies. For example, increased serum aldolase (measured using specific antibodies) serves as a biomarker for muscle damage in inflammatory myopathies like dermatomyositis. Additionally, autoantibodies against ALDOA are occasionally observed in autoimmune conditions, highlighting its immunogenic potential. Commercial ALDOA antibodies are validated for techniques such as Western blotting, immunohistochemistry, and ELISA, contributing to both basic and clinical studies of metabolic and neuromuscular diseases.
×