| WB | 1/500 - 1/2000 | Human,Mouse,Rat |
| IF | 咨询技术 | Human,Mouse,Rat |
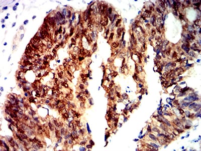
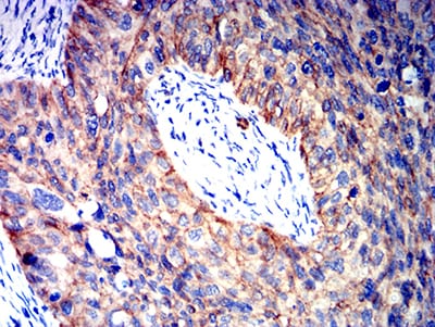
| IHC | 1/200 - 1/1000 | Human,Mouse,Rat |
| ICC | 技术咨询 | Human,Mouse,Rat |
| FCM | 1/200 - 1/400 | Human,Mouse,Rat |
| Elisa | 1/10000 | Human,Mouse,Rat |
| Aliases | CTNNB; MRD19; armadillo;Beta-catenin |
| Entrez GeneID | 1499 |
| clone | 7C5A2 |
| WB Predicted band size | 85.5kDa |
| Host/Isotype | Mouse IgG2b |
| Antibody Type | Primary antibody |
| Storage | Store at 4°C short term. Aliquot and store at -20°C long term. Avoid freeze/thaw cycles. |
| Species Reactivity | Human,Mouse |
| Immunogen | Purified recombinant fragment of human CTNNB1 (AA: 1-100) expressed in E. Coli. |
| Formulation | Purified antibody in PBS with 0.05% sodium azide |
+ +
以下是关于CTNNB1(β-catenin)抗体的3篇代表性文献,供参考:
---
1. **文献名称**:*"Detection of β-catenin mutations in colorectal cancer using a novel monoclonal antibody-based assay"*
**作者**:Sparks AB, et al.
**摘要**:开发了一种基于CTNNB1抗体的免疫组化检测方法,用于识别结直肠癌中β-catenin的突变和异常核积聚,为肿瘤分型和靶向治疗提供依据。
---
2. **文献名称**:*"Antibody-based targeting of β-catenin in hepatocellular carcinoma: Implications for Wnt signaling inhibition"*
**作者**:Kim NH, et al.
**摘要**:研究利用特异性CTNNB1抗体阻断Wnt/β-catenin信号通路,抑制肝癌细胞增殖和迁移,验证了抗体在靶向治疗中的潜在应用价值。
---
3. **文献名称**:*"A monoclonal antibody against β-catenin enhances radiation sensitivity in triple-negative breast cancer models"*
**作者**:Li X, et al.
**摘要**:通过CTNNB1抗体干预β-catenin蛋白功能,显著提高三阴性乳腺癌模型对放疗的敏感性,揭示了抗体在联合治疗中的协同作用。
---
如需扩展,可补充一篇关于技术优化的文献:
4. **文献名称**:*"Optimizing β-catenin antibody selection for diverse immunohistochemical applications in solid tumors"*
**作者**:Garcia-Rostan G, et al.
**摘要**:系统比较了多种市售CTNNB1抗体的灵敏度和特异性,提出针对不同肿瘤类型和组织样本的抗体选择及染色条件优化方案。
---
这些文献覆盖了抗体在诊断、机制研究、治疗开发及技术优化中的应用场景。如需具体文献链接或补充年份/期刊信息,请告知!
The CTNNB1 antibody targets β-catenin, a multifunctional protein encoded by the *CTNNB1* gene, which plays pivotal roles in cell-cell adhesion and Wnt signaling. β-catenin acts as a transcriptional co-activator in the canonical Wnt pathway, regulating gene expression involved in cell proliferation, differentiation, and embryonic development. Dysregulation of β-catenin, often due to *CTNNB1* mutations or Wnt pathway aberrations, is implicated in various cancers, including colorectal, hepatocellular, and medulloblastoma, where nuclear accumulation of β-catenin drives oncogenic transcription.
CTNNB1 antibodies are widely used in research to detect β-catenin expression, localization (membrane, cytoplasm, nucleus), and post-translational modifications (e.g., phosphorylation) via techniques like Western blot, immunohistochemistry (IHC), immunofluorescence (IF), and immunoprecipitation (IP). These antibodies help assess Wnt pathway activation status, tumor progression, and response to targeted therapies. Monoclonal antibodies offer high specificity, while polyclonal versions may detect diverse epitopes.
In diagnostics, CTNNB1 antibodies aid in identifying β-catenin abnormalities in tumor samples, supporting molecular subtyping. However, interpretation requires caution, as β-catenin localization varies with tissue type and fixation methods. Overall, CTNNB1 antibodies are essential tools for unraveling Wnt/β-catenin signaling dynamics in both physiological and pathological contexts.
×