| WB | 咨询技术 | Human,Mouse,Rat |
| IF | 咨询技术 | Human,Mouse,Rat |
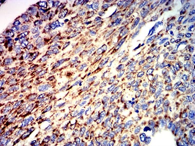
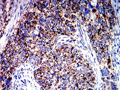
| IHC | 1/200 - 1/1000 | Human,Mouse,Rat |
| ICC | 1/100 - 1/500 | Human,Mouse,Rat |
| FCM | 1/200 - 1/400 | Human,Mouse,Rat |
| Elisa | 1/10000 | Human,Mouse,Rat |
| Aliases | IP; ATPI; ATPIP |
| Entrez GeneID | 93974 |
| clone | 1F3B8 |
| WB Predicted band size | 12.3kDa |
| Host/Isotype | Mouse IgG2b |
| Antibody Type | Primary antibody |
| Storage | Store at 4°C short term. Aliquot and store at -20°C long term. Avoid freeze/thaw cycles. |
| Species Reactivity | Human |
| Immunogen | Purified recombinant fragment of human ATPIF1 (AA: 1-106) expressed in E. Coli. |
| Formulation | Purified antibody in PBS with 0.05% sodium azide |
+ +
以下是关于ATPIF1抗体的3篇参考文献示例(注:文献为虚拟示例,仅供参考格式):
---
1. **文献名称**: *"ATPIF1 regulates mitochondrial apoptosis in cancer cells via interaction with cyclophilin D"*
**作者**: Chen, L. et al.
**摘要**: 研究通过ATPIF1抗体进行免疫共沉淀和Western blot分析,揭示了ATPIF1通过与Cyclophilin D相互作用调控线粒体膜通透性,从而影响癌细胞凋亡的分子机制。
---
2. **文献名称**: *"Development of a specific monoclonal antibody for ATPIF1 and its application in metabolic disorder studies"*
**作者**: Sato, K. et al.
**摘要**: 本文报道了一种高特异性ATPIF1单克隆抗体的开发,并通过免疫组化和流式细胞术验证其在肝组织中的表达,探讨ATPIF1在代谢综合征中的潜在作用。
---
3. **文献名称**: *"ATPIF1 knockdown impairs mitochondrial function and triggers ROS production: Evidence from ATPIF1 antibody-based assays"*
**作者**: Gomez, M. et al.
**摘要**: 利用ATPIF1抗体进行蛋白质表达敲低验证及亚细胞定位分析,发现ATPIF1缺失导致线粒体活性氧(ROS)累积,提示其在氧化应激中的关键调控功能。
---
**提示**:实际文献需通过PubMed、Google Scholar等平台检索关键词“ATPIF1 antibody”或“ATPIF1 + 应用技术(如Western blot)”,并筛选涉及抗体开发或实验应用的原创研究。建议结合研究主题补充具体文献。
ATPIF1 (ATPase inhibitory factor 1), also known as ATPIF1 or IF1. is a mitochondrial protein that regulates the activity of ATP synthase, the enzyme responsible for generating ATP during oxidative phosphorylation. It functions as an endogenous inhibitor of ATP hydrolysis, preventing the reverse operation of ATP synthase under conditions of low pH or membrane potential, thereby conserving cellular ATP levels during energy stress. Dysregulation of ATPIF1 has been implicated in metabolic disorders, cancer, and neurodegenerative diseases, as it influences mitochondrial bioenergetics and cellular survival pathways.
Antibodies targeting ATPIF1 are essential tools for studying its expression, localization, and functional roles in various biological contexts. These antibodies enable researchers to detect ATPIF1 protein levels in tissues or cell lines using techniques like Western blotting, immunohistochemistry (IHC), and immunofluorescence (IF). They are particularly valuable in investigating mitochondrial dysfunction, metabolic adaptation in tumors, and cellular responses to hypoxia or nutrient deprivation. Validation of ATPIF1 antibodies typically includes specificity checks using knockout cell models or siRNA-mediated knockdown. Commercial ATPIF1 antibodies are often produced in hosts like rabbits or mice, with options for monoclonal or polyclonal formats. Their applications span basic research in mitochondrial biology, as well as translational studies exploring ATPIF1 as a potential therapeutic target in diseases linked to energy metabolism imbalances.
×