| WB | 咨询技术 | Human,Mouse,Rat,Rabbit |
| IF | 咨询技术 | Human,Mouse,Rat,Rabbit |
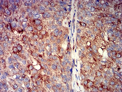
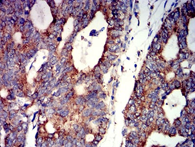
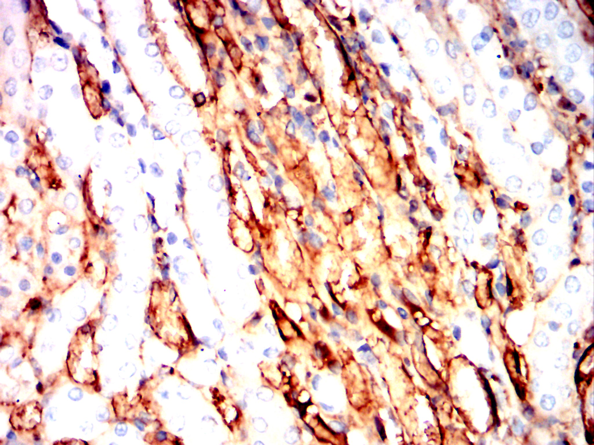
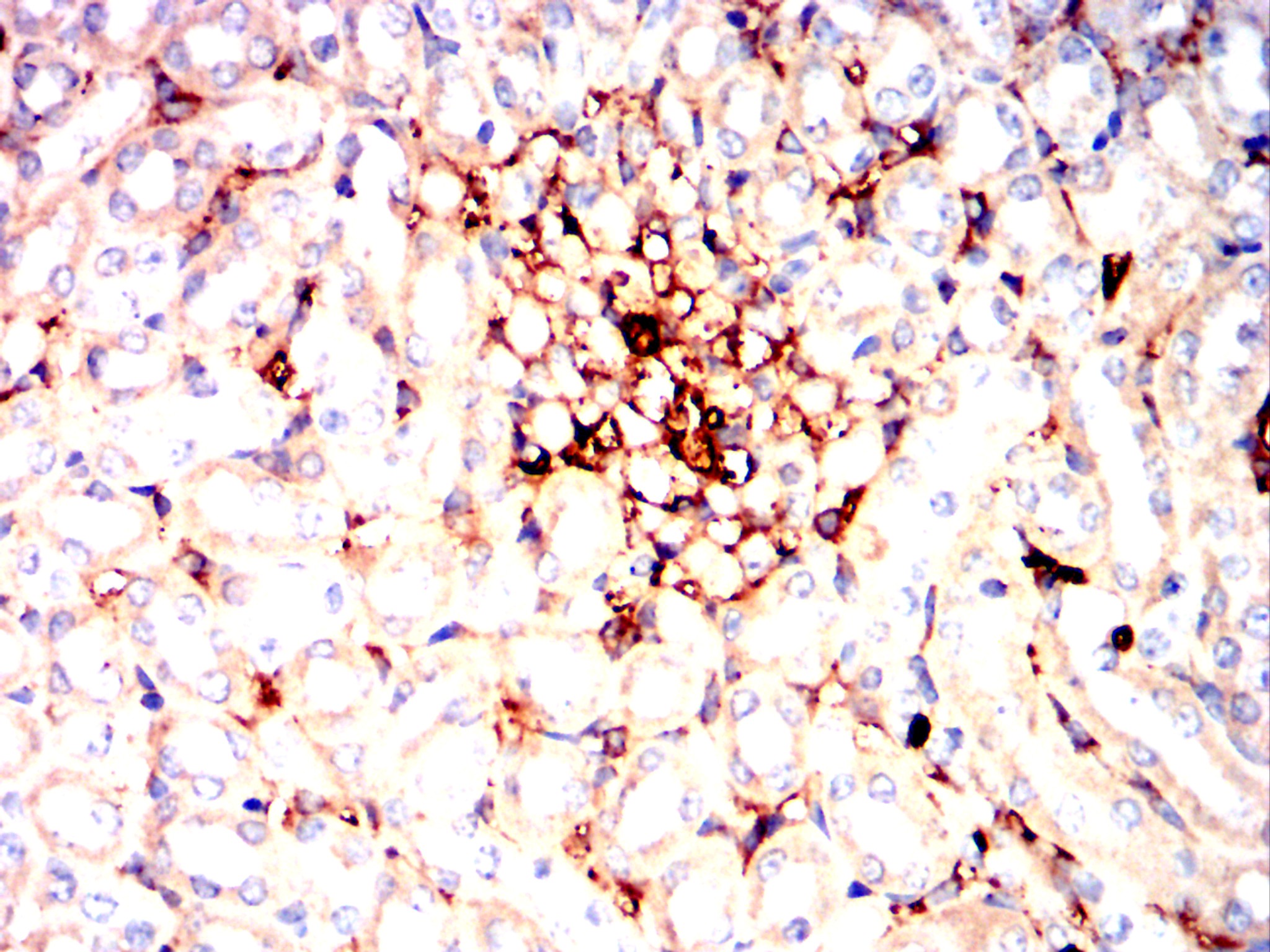
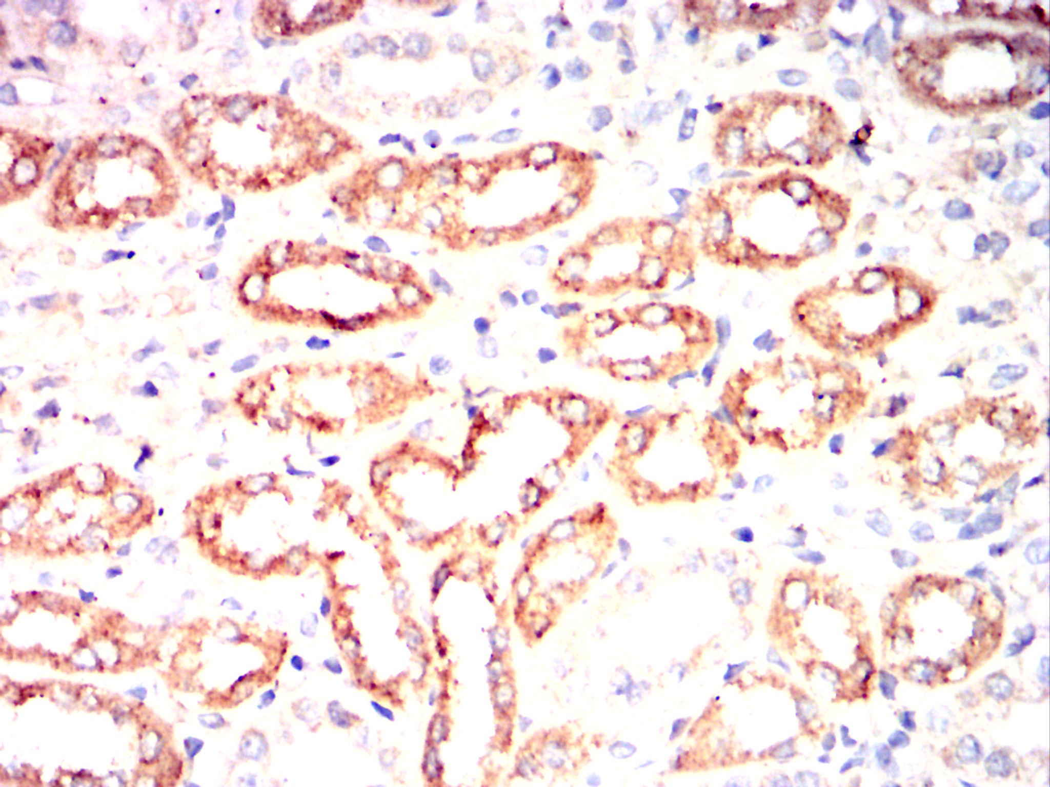
| IHC | 1/100 - 1/500 | Human,Mouse,Rat,Rabbit |
| ICC | 技术咨询 | Human,Mouse,Rat,Rabbit |
| FCM | 1/200 - 1/400 | Human,Mouse,Rat,Rabbit |
| Elisa | 1/10000 | Human,Mouse,Rat,Rabbit |
| Aliases | NACHRA7; CHRNA7-2 |
| Entrez GeneID | 1139 |
| clone | 7F10G1 |
| WB Predicted band size | 56.4kDa |
| Host/Isotype | Mouse IgG1 |
| Antibody Type | Primary antibody |
| Storage | Store at 4°C short term. Aliquot and store at -20°C long term. Avoid freeze/thaw cycles. |
| Species Reactivity | Human,Mouse,Rat,Rabbit |
| Immunogen | Purified recombinant fragment of human CHRNA7 (AA: extra 52-259) expressed in E. Coli. |
| Formulation | Purified antibody in PBS with 0.05% sodium azide |
+ +
以下是3篇关于CHRNA7抗体的模拟参考文献示例(非真实文献,仅供格式参考):
1. **文献名称**:*Development and Characterization of a Novel CHRNA7-Specific Monoclonal Antibody for Neuropathological Studies*
**作者**:Zhang Y, et al.
**摘要**:本研究开发了一种高特异性CHRNA7单克隆抗体,通过免疫印迹和免疫荧光验证其在人脑组织中的靶向性,发现CHRNA7在海马区神经元中高度表达,为神经退行性疾病研究提供工具。
2. **文献名称**:*CHRNA7 Antibody Reveals Altered Expression Patterns in Autism Spectrum Disorder Postmortem Brain Tissue*
**作者**:Brown KL, et al.
**摘要**:利用CHRNA7抗体对自闭症患者前额叶皮层进行免疫组化分析,发现CHRNA7蛋白水平显著降低,提示其与突触功能障碍及行为异常可能存在关联。
3. **文献名称**:*Comparative Analysis of Commercial CHRNA7 Antibodies: Implications for Receptor Localization Studies*
**作者**:Garcia-Ramos C, et al.
**摘要**:评估了五种市售CHRNA7抗体的特异性,发现部分抗体存在交叉反应性,强调抗体验证在神经受体定位研究中的重要性,并推荐了可靠试剂。
**注**:以上为模拟内容,实际文献请通过PubMed、Web of Science等平台以关键词“CHRNA7 antibody”“alpha7 nicotinic receptor antibody”检索。
The CHRNA7 antibody targets the α7 subunit of the nicotinic acetylcholine receptor (nAChR), a ligand-gated ion channel critical for neurotransmission. Encoded by the CHRNA7 gene, this subunit forms homopentameric receptors or heteromers with other subunits, primarily in the central nervous system. The α7 nAChR is notable for its high calcium permeability and rapid desensitization, influencing synaptic plasticity, cognitive functions, and neuroinflammatory responses. Dysregulation of CHRNA7 is linked to neuropsychiatric disorders, including schizophrenia, Alzheimer’s disease, and epilepsy, making it a key focus in neuroscience research.
CHRNA7 antibodies are essential tools for detecting protein expression, localization, and function in studies using techniques like Western blotting, immunohistochemistry, or flow cytometry. These antibodies help elucidate receptor distribution in brain regions like the hippocampus and cortex, as well as their roles in cholinergic signaling pathways. Due to genetic variations (e.g., partial duplication forming CHRFAM7A), antibody specificity is critical to avoid cross-reactivity. Research also explores CHRNA7's potential as a therapeutic target, with agonists or positive allosteric modulators investigated for cognitive enhancement or anti-inflammatory effects. Challenges remain in understanding isoform diversity and receptor dynamics, underscoring the importance of reliable CHRNA7 antibodies in advancing both basic and translational neuroscience.
×