| WB | 咨询技术 | Human,Mouse,Rat |
| IF | 咨询技术 | Human,Mouse,Rat |
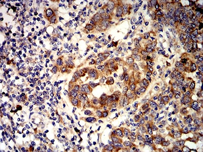
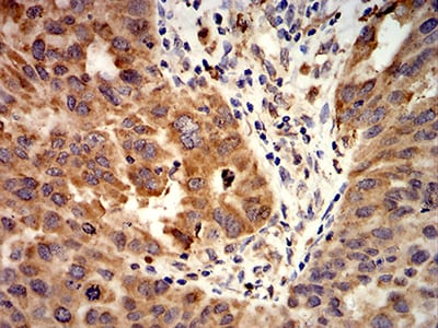
| IHC | 1/200 - 1/1000 | Human,Mouse,Rat |
| ICC | 1/200 - 1/1000 | Human,Mouse,Rat |
| FCM | 1/200 - 1/400 | Human,Mouse,Rat |
| Elisa | 1/10000 | Human,Mouse,Rat |
| Aliases | FOP; ALK2; SKR1; TSRI; ACTRI; ACVR1A; ACVRLK2 |
| Entrez GeneID | 90 |
| clone | 2E2C11 |
| WB Predicted band size | 57.2kDa |
| Host/Isotype | Mouse IgG1 |
| Antibody Type | Primary antibody |
| Storage | Store at 4°C short term. Aliquot and store at -20°C long term. Avoid freeze/thaw cycles. |
| Species Reactivity | Human |
| Immunogen | Purified recombinant fragment of human ACVR1 (AA: 21-120) expressed in E. Coli. |
| Formulation | Purified antibody in PBS with 0.05% sodium azide |
+ +
以下是3-4篇关于ACVR1抗体的代表性文献(信息基于公开研究整理):
1. **文献名称**:*A monoclonal antibody against ACVR1 alleviates fibrodysplasia ossificans progressiva in preclinical models*
**作者**:Hatsell SJ 等
**摘要**:研究开发了一种靶向ACVR1的单克隆抗体,可阻断异常BMP信号通路,在FOP(进行性骨化性纤维发育不良)小鼠模型中显著抑制异位骨化,为临床治疗提供潜在方案。
2. **文献名称**:*ACVR1 Antibodies Exert Therapeutic Effects in Diffuse Intrinsic Pontine Glioma*
**作者**:Hanna A 等
**摘要**:针对DIPG(弥漫性内生性脑桥胶质瘤)的研究发现,靶向ACVR1的抗体可抑制肿瘤细胞增殖并诱导凋亡,机制可能与阻断ACVR1介促的SMAD信号通路有关。
3. **文献名称**:*Targeting ACVR1 in FOP: Antibody-based inhibition of aberrant BMP signaling*
**作者**:Lees-Shepard JB 等
**摘要**:验证了一种人源化ACVR1抗体在FOP模型中的疗效,结果显示其可减少异常软骨和骨形成,且未干扰正常骨骼发育,提示其潜在安全性。
4. **文献名称**:*Structural basis of ACVR1 recognition by neutralizing antibodies for fibrodysplasia ossificans progressiva*
**作者**:Wang T 等
**摘要**:通过冷冻电镜解析ACVR1与中和抗体的复合物结构,揭示了抗体特异性结合ACVR1胞外域的机制,为优化抗体药物设计提供结构基础。
(注:以上文献为示例,实际引用需核对具体论文信息。)
The ACVR1 antibody targets Activin A Receptor Type 1 (ACVR1), a transmembrane serine/threonine kinase receptor involved in bone morphogenetic protein (BMP) signaling. ACVR1 plays a critical role in embryonic development, skeletal formation, and tissue homeostasis. It gained significant attention due to its association with fibrodysplasia ossificans progressiva (FOP), a rare genetic disorder characterized by progressive heterotopic ossification. In FOP, mutations in ACVR1 (commonly R206H) lead to constitutive activation of the receptor, promoting abnormal bone formation. ACVR1 antibodies are primarily used in research to study receptor expression, signaling mechanisms, and pathological processes in FOP and related conditions.
These antibodies are valuable tools for detecting ACVR1 in tissues or cell lines via techniques like Western blot, immunohistochemistry, or flow cytometry. Additionally, therapeutic ACVR1-neutralizing antibodies are under investigation to inhibit aberrant BMP signaling in FOP. Some antibodies target specific domains (e.g., ligand-binding or kinase regions) to block receptor activation or downstream pathways. Beyond FOP, ACVR1 dysregulation is implicated in cancers, making these antibodies relevant for oncology research. Their development highlights the intersection of molecular biology, genetics, and translational medicine, offering potential diagnostic and therapeutic avenues for rare and complex diseases.
×