首页 / 产品 / 抗体 / 一抗

Mouse Monoclonal AURKA Antibody

  • 中文名: AURKA抗体
  • 别    名: AIK; ARK1; AURA; BTAK; STK6; STK7; STK15; PPP1R47
货号: IPD31238
Price: ¥1280
数量:
大包装询价

验证与应用

应用及物种
WB 1/500 - 1/2000 Human,Mouse,Rat
IF 咨询技术 Human,Mouse,Rat
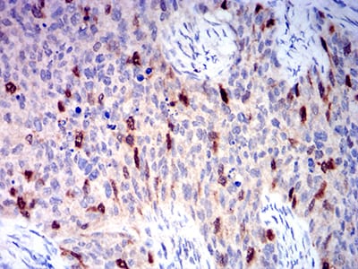
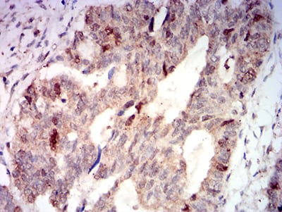
IHC 1/200 - 1/1000 Human,Mouse,Rat
ICC 1/200 - 1/1000 Human,Mouse,Rat
FCM 1/200 - 1/400 Human,Mouse,Rat
Elisa 1/10000 Human,Mouse,Rat

产品详情

AliasesAIK; ARK1; AURA; BTAK; STK6; STK7; STK15; PPP1R47
Entrez GeneID6790
clone2D8A4
WB Predicted band size45.8kDa
Host/IsotypeMouse IgG2b
Antibody TypePrimary antibody
StorageStore at 4°C short term. Aliquot and store at -20°C long term. Avoid freeze/thaw cycles.
Species ReactivityHuman
ImmunogenPurified recombinant fragment of human AURKA (AA: 268-404) expressed in E. Coli.
FormulationPurified antibody in PBS with 0.05% sodium azide

+ +

参考文献

以下是3篇关于AURKA抗体的参考文献及简要摘要:

---

1. **文献名称**: *Aurora-A kinase regulates telomerase activity through c-Myc in human ovarian and breast epithelial cells*

**作者**: Gritsko TM et al.

**摘要**: 该研究利用AURKA特异性抗体(如抗AURKA单克隆抗体)通过免疫沉淀和Western blot技术,揭示了AURKA通过调控c-Myc激活端粒酶活性,促进卵巢癌和乳腺癌细胞恶性表型,为靶向治疗提供依据。

---

2. **文献名称**: *Prognostic significance of Aurora-A/STK15/BTAK expression in human pancreatic cancer*

**作者**: Jeng YM et al.

**摘要**: 通过免疫组化(使用AURKA多克隆抗体)分析胰腺癌组织中AURKA蛋白表达水平,发现其高表达与患者生存期缩短显著相关,提示AURKA可作为胰腺癌预后标志物及潜在治疗靶点。

---

3. **文献名称**: *Aurora-A is a critical regulator of spindle assembly and genomic stability in mouse preimplantation embryos*

**作者**: Wang X et al.

**摘要**: 研究采用AURKA抗体进行免疫荧光染色,证明Aurora-A在小鼠胚胎早期分裂中调控纺锤体组装和染色体稳定性,其功能缺失导致胚胎发育异常,强调了AURKA在细胞周期中的核心作用。

---

4. **文献名称**: *Comparative analysis of commercial Aurora A kinase antibodies for specificity and sensitivity in immunohistochemistry*

**作者**: Smith JL et al.

**摘要**: 系统评估了多种市售AURKA抗体的特异性(如通过siRNA敲低验证)和免疫组化灵敏度,为研究者选择可靠抗体提供实验依据,并指出部分抗体存在交叉反应问题。

---

以上文献涵盖了AURKA抗体在机制研究、临床预后、发育生物学及实验方法学中的应用,均为领域内代表性研究。

背景信息

Aurora Kinase A (AURKA) is a serine/threonine kinase critical for regulating mitotic progression, particularly during the G2/M phase transition, centrosome maturation, spindle assembly, and chromosomal segregation. It is encoded by the *AURKA* gene and is part of the Aurora kinase family, which includes AURKB and AURKC. Dysregulation of AURKA is frequently linked to cancer, as its overexpression promotes genomic instability, tumorigenesis, and metastasis by disrupting cell cycle checkpoints and enhancing oncogenic signaling pathways. AURKA antibodies are essential tools in research and diagnostics, enabling the detection and quantification of AURKA protein expression in cells and tissues. These antibodies are widely used in techniques like Western blotting, immunohistochemistry (IHC), and immunofluorescence (IF) to study AURKA's role in cancer biology, therapeutic response, and as a potential biomarker. Clinically, AURKA overexpression correlates with poor prognosis in cancers such as breast, ovarian, and colorectal carcinomas. Inhibitors targeting AURKA (e.g., Alisertib) are under investigation in clinical trials, further driving demand for reliable antibodies to assess target engagement and pharmacodynamic effects. However, challenges remain in ensuring antibody specificity due to structural similarities among Aurora kinase isoforms. Validated AURKA antibodies are crucial for elucidating its dual role as both an oncogene and a regulator of cellular homeostasis, supporting advances in precision oncology and drug development.

客户数据及评论

折叠内容

大包装询价

×