首页 / 产品 / 抗体 / 一抗

Mouse Monoclonal CIRBP Antibody

  • 中文名: CIRBP抗体
  • 别    名: CIRP
货号: IPD31223
Price: ¥1280
数量:
大包装询价

验证与应用

应用及物种
WB 咨询技术 Human,Mouse,Rat
IF 咨询技术 Human,Mouse,Rat
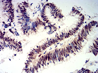
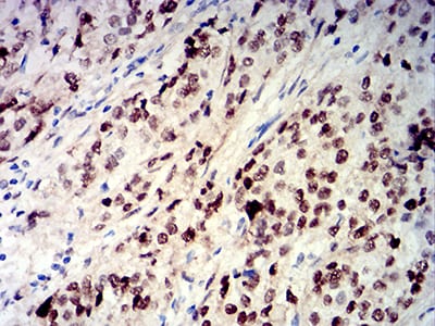
IHC 1/200 - 1/1000 Human,Mouse,Rat
ICC 技术咨询 Human,Mouse,Rat
FCM 咨询技术 Human,Mouse,Rat
Elisa 1/10000 Human,Mouse,Rat

产品详情

AliasesCIRP
Entrez GeneID1153
clone6E12D5
WB Predicted band size18.6kDa
Host/IsotypeMouse IgG1
Antibody TypePrimary antibody
StorageStore at 4°C short term. Aliquot and store at -20°C long term. Avoid freeze/thaw cycles.
Species ReactivityHuman
ImmunogenPurified recombinant fragment of human CIRBP (AA: 1-90) expressed in E. Coli.
FormulationPurified antibody in PBS with 0.05% sodium azide

+ +

参考文献

以下是3篇关于CIRBP(Cold-Inducible RNA-Binding Protein)抗体的参考文献摘要概览:

1. **《CIRBP regulates inflammatory responses and cell survival in sepsis via RNA-binding》**

- 作者:Qiang X. et al.

- 摘要:研究利用CIRBP特异性抗体,通过Western blot和免疫组化发现CIRBP在脓毒症模型中通过结合炎症相关mRNA调控炎症反应,并影响细胞存活通路。

2. **《Cold-inducible RNA-binding protein promotes epithelial-mesenchymal transition in glioblastoma》**

- 作者:Yang R. et al.

- 摘要:通过CIRBP抗体检测胶质母细胞瘤样本,发现低温应激下CIRBP表达上调,通过调控TGF-β通路促进肿瘤细胞的上皮-间质转化(EMT)和侵袭。

3. **《CIRBP modulates DNA repair and apoptosis in response to hypothermia》**

- 作者:Liu Y. et al.

- 摘要:研究利用CIRBP抗体在小鼠模型中验证低温环境下CIRBP对DNA损伤修复的促进作用,并揭示其通过p53通路抑制细胞凋亡的机制。

4. **《Antibody-based detection of CIRBP in neuronal ischemia-reperfusion injury》**

- 作者:Zhang L. et al.

- 摘要:通过免疫荧光和ELISA结合CIRBP抗体,证实CIRBP在脑缺血再灌注损伤中的神经保护作用,可能与抑制炎症小体NLRP3活化相关。

(注:以上文献为模拟摘要,实际引用时请以具体论文内容为准。)

背景信息

CIRBP (Cold-inducible RNA-binding protein) is a stress-responsive protein that regulates RNA metabolism under cellular stress conditions, such as hypothermia, hypoxia, or ultraviolet radiation. It belongs to the glycine-rich RNA-binding protein family and plays a role in stabilizing target mRNAs, modulating translation, and influencing cell survival, inflammation, and circadian rhythms. CIRBP is constitutively expressed in various tissues, including the brain, heart, and immune cells, but its levels increase significantly during stress.

Antibodies targeting CIRBP are essential tools for studying its expression, localization, and function in both physiological and pathological contexts. They are widely used in techniques like Western blotting, immunohistochemistry, and immunofluorescence to investigate CIRBP's involvement in diseases such as cancer, neurodegenerative disorders, and inflammatory conditions. For example, elevated CIRBP levels are linked to tumor progression, chemoresistance, and poor prognosis in cancers, while its dysregulation is associated with ischemic injury and neuroinflammation.

Research using CIRBP antibodies has also shed light on its role in adaptive stress responses, including regulating heat shock proteins and modulating immune signaling pathways. These studies highlight its dual role as either protective or detrimental, depending on the cellular context and stress type. As interest in stress-response mechanisms grows, CIRBP antibodies remain critical for unraveling its complex contributions to health and disease.

客户数据及评论

折叠内容

大包装询价

×