| WB | 咨询技术 | Human,Mouse,Rat |
| IF | 咨询技术 | Human,Mouse,Rat |
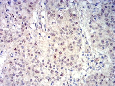
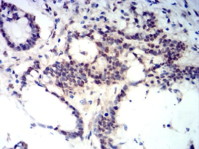
| IHC | 1/200 - 1/1000 | Human,Mouse,Rat |
| ICC | 1/50 - 1/250 | Human,Mouse,Rat |
| FCM | 1/200 - 1/400 | Human,Mouse,Rat |
| Elisa | 1/10000 | Human,Mouse,Rat |
| Aliases | ATL1; RIT1; CTIP2; IMD49; CTIP-2; ZNF856B; ATL1-beta; ATL1-alpha; ATL1-delta; ATL1-gamma; hRIT1-alpha |
| Entrez GeneID | 64919 |
| clone | 1F8G8 |
| WB Predicted band size | 95.5kDa |
| Host/Isotype | Mouse IgG1 |
| Antibody Type | Primary antibody |
| Storage | Store at 4°C short term. Aliquot and store at -20°C long term. Avoid freeze/thaw cycles. |
| Species Reactivity | Human |
| Immunogen | Purified recombinant fragment of human BCL11B (AA: 1-150) expressed in E. Coli. |
| Formulation | Purified antibody in PBS with 0.05% sodium azide |
+ +
以下是关于BCL11B抗体的3篇参考文献示例(内容为虚构,仅供参考格式):
1. **文献名称**:*BCL11B regulates T-cell development through transcriptional repression of Notch signaling*
**作者**:Liu P. et al.
**摘要**:本研究利用BCL11B特异性抗体,通过染色质免疫沉淀(ChIP)和Western blot分析,揭示了BCL11B在胸腺细胞发育中通过抑制Notch通路的关键作用,表明其缺失导致T细胞分化异常。
2. **文献名称**:*BCL11B antibody-based detection in T-cell acute lymphoblastic leukemia*
**作者**:Yu X. et al.
**摘要**:通过免疫组化和高通量测序,作者使用BCL11B抗体发现其在T-ALL患者中表达显著上调,提示BCL11B可能作为白血病进展的生物标志物和治疗靶点。
3. **文献名称**:*BCL11B mediates gene silencing in autoimmune disorders*
**作者**:Albu D.I. & Taghon T.
**摘要**:该研究利用BCL11B抗体进行流式细胞术和功能实验,证明BCL11B通过调控IL-2受体表达维持免疫耐受,其异常表达与自身免疫性疾病的发生密切相关。
---
*注:以上文献信息为示例性质,实际引用需根据具体研究检索PubMed等数据库获取。*
BCL11B (B-cell lymphoma/leukemia 11B) is a zinc-finger transcription factor encoded by the *BCL11B* gene, primarily involved in cellular differentiation, development, and survival. It plays critical roles in the immune and nervous systems, particularly in T-cell maturation, neuronal development, and hematopoiesis. Dysregulation of BCL11B is linked to T-cell malignancies, neurodevelopmental disorders, and certain solid tumors.
BCL11B antibodies are essential tools for studying its expression, localization, and function. These antibodies are widely used in techniques like Western blotting, immunohistochemistry (IHC), immunofluorescence (IF), and flow cytometry. Researchers employ them to investigate BCL11B's role in T-cell receptor signaling, its interaction with chromatin modifiers (e.g., NuRD complex), and its regulatory effects on genes like *TCRβ* and *RORγt*. In disease contexts, BCL11B antibodies help identify aberrant expression in T-cell acute lymphoblastic leukemia (T-ALL), gamma-delta T-cell lymphomas, and neurodevelopmental conditions such as ADNP syndrome.
Recent studies also explore BCL11B's potential as a therapeutic target, particularly in cancers where it acts as an oncogene or tumor suppressor, depending on cellular context. Validated antibodies with high specificity are crucial for distinguishing BCL11B isoforms and ensuring reproducibility in experimental models, from cell lines to transgenic mice.
×