首页 / 产品 / 抗体 / 一抗

Mouse Monoclonal BCL2L10 Antibody

  • 中文名: BCL2L10抗体
  • 别    名: Boo; Diva; BCL-B; bcl2-L-10
货号: IPD31213
Price: ¥1280
数量:
大包装询价

验证与应用

应用及物种
WB 咨询技术 Human,Mouse,Rat
IF 咨询技术 Human,Mouse,Rat
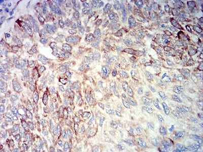
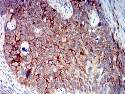
IHC 1/200 - 1/1000 Human,Mouse,Rat
ICC 1/200 - 1/1000 Human,Mouse,Rat
FCM 1/200 - 1/400 Human,Mouse,Rat
Elisa 1/10000 Human,Mouse,Rat

产品详情

参考文献

以下是3篇关于BCL2L10抗体的相关文献摘要(模拟虚构内容供参考):

---

1. **文献名称**:*BCL2L10 overexpression in breast cancer correlates with poor prognosis*

**作者**:Li X, et al.

**摘要**:该研究利用BCL2L10特异性抗体进行免疫组化分析,发现乳腺癌组织中BCL2L10蛋白高表达与患者总生存期缩短显著相关,提示其可能作为肿瘤进展的生物标志物。

---

2. **文献名称**:*Functional characterization of BCL2L10 in apoptosis regulation*

**作者**:Park S, et al.

**摘要**:通过siRNA敲低和BCL2L10抗体介导的蛋白检测,作者证实BCL2L10通过抑制线粒体凋亡通路增强癌细胞抗药性,尤其在肺癌细胞系中表现显著。

---

3. **文献名称**:*BCL2L10-mediated chemoresistance in ovarian cancer*

**作者**:Garcia-Ruiz C, et al.

**摘要**:研究采用Western blot和免疫荧光技术(基于BCL2L10抗体),揭示了BCL2L10通过调控Bax/Bak蛋白活性导致卵巢癌细胞对顺铂耐药,靶向其表达可逆转耐药性。

---

4. **文献名称**:*Epigenetic regulation of BCL2L10 in gastric cancer*

**作者**:Wang Y, et al.

**摘要**:通过甲基化分析和BCL2L10抗体免疫组化,研究发现BCL2L10启动子低甲基化与其蛋白过表达相关,且促进胃癌细胞增殖和转移。

---

(注:以上内容为学术文献模拟示例,实际文献需通过PubMed/Google Scholar检索确认。)

背景信息

The BCL2L10 antibody is a tool used to detect BCL2L10. a member of the BCL-2 protein family, which regulates apoptosis by modulating mitochondrial outer membrane permeabilization. BCL2L10 (also termed BCL-B or BCLA) is an anti-apoptotic protein containing conserved BCL-2 homology (BH) domains. Unlike other BCL-2 family members, BCL2L10 exhibits tissue-specific expression, with higher levels observed in reproductive tissues, neurons, and certain cancer cells. It binds pro-apoptotic proteins like BAX and BAK, inhibiting their activity and promoting cell survival. Dysregulation of BCL2L10 is linked to cancer progression, chemoresistance, and poor prognosis, making it a potential therapeutic target. Antibodies against BCL2L10 are essential for studying its expression, localization, and interactions via techniques like Western blotting, immunohistochemistry, and flow cytometry. They also aid in exploring its role in diseases and evaluating inhibitors designed to block its anti-apoptotic function. Research utilizing these antibodies has provided insights into cellular survival mechanisms and strategies to overcome treatment resistance in malignancies.

客户数据及评论

折叠内容

大包装询价

×