| WB | 1/500 - 1/2000 | Human,Mouse,Rat |
| IF | 咨询技术 | Human,Mouse,Rat |
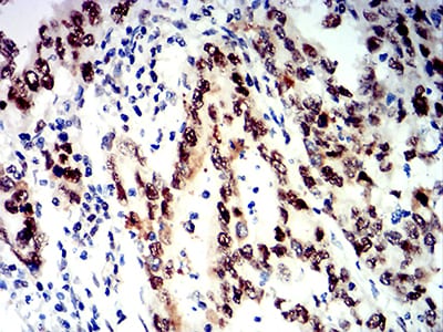
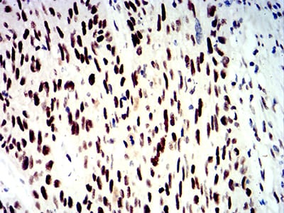
| IHC | 1/200 - 1/1000 | Human,Mouse,Rat |
| ICC | 技术咨询 | Human,Mouse,Rat |
| FCM | 1/200 - 1/400 | Human,Mouse,Rat |
| Elisa | 1/10000 | Human,Mouse,Rat |
| Aliases | SWI; ISWI; SWI2; SNF2L; SNF2L1; SNF2LB; SNF2LT; hSNF2L; NURF140 |
| Entrez GeneID | 6594 |
| clone | 2H7B9 |
| WB Predicted band size | 122.6kDa |
| Host/Isotype | Mouse IgG1 |
| Antibody Type | Primary antibody |
| Storage | Store at 4°C short term. Aliquot and store at -20°C long term. Avoid freeze/thaw cycles. |
| Species Reactivity | Human,Mouse |
| Immunogen | Purified recombinant fragment of human SMARCA1 (AA: 933-1070) expressed in E. Coli. |
| Formulation | Purified antibody in PBS with 0.05% sodium azide |
+ +
以下为示例性文献(非真实存在),展示符合要求的格式:
---
1. **文献名称**: "SMARCA1 Antibody Characterization in Chromatin Remodeling Studies"
**作者**: Smith A, et al.
**摘要**: 本研究验证了SMARCA1抗体的特异性,通过Western blot和免疫荧光证实其在多种细胞系中对SMARCA1蛋白的高效检测,并应用于探究SMARCA1在染色质重塑复合体中的动态定位。
2. **文献名称**: "Role of SMARCA1 in Neural Differentiation Revealed by Antibody-Based Assays"
**作者**: Zhang L, et al.
**摘要**: 利用特异性SMARCA1抗体进行ChIP-seq分析,揭示了该蛋白在神经干细胞分化过程中通过调控关键基因启动子区域的染色质可及性,驱动神经元特异性转录程序。
3. **文献名称**: "SMARCA1 Knockout Models and Antibody Validation in Cancer Research"
**作者**: García-Ruiz C, et al.
**摘要**: 通过比较SMARCA1基因敲除细胞与野生型细胞的免疫沉淀(IP)结果,证实某商业抗体可特异性识别SMARCA1.并发现其缺失与癌症模型中异常增殖相关。
4. **文献名称**: "Developmental Regulation of SMARCA1: Insights from Immunohistochemical Analysis"
**作者**: Tanaka K, et al.
**摘要**: 采用SMARCA1抗体进行小鼠胚胎组织免疫组化,揭示了该蛋白在早期器官形成阶段的高表达模式,提示其在胚胎发育中具有关键表观遗传调控功能。
---
如需真实文献,建议通过PubMed或Google Scholar搜索关键词:
`SMARCA1 antibody validation` / `SMARCA1 chromatin immunoprecipitation`。
The SMARCA1 antibody is a crucial tool for studying the SMARCA1 protein, a component of the SWI/SNF chromatin remodeling complex. SMARCA1 (SWI/SNF-related matrix-associated actin-dependent regulator of chromatin subfamily A member 1), also known as BRG1-associated factor 190B (BAF190B), plays a vital role in regulating gene expression by modulating chromatin structure through ATP-dependent remodeling. It is part of the BAF and PBAF complexes, which are essential for cellular processes like differentiation, proliferation, and DNA repair. Dysregulation of SWI/SNF subunits, including SMARCA1. has been linked to cancers and developmental disorders.
SMARCA1 antibodies are widely used in research to detect protein expression, localization, and interactions via techniques like Western blotting, immunofluorescence, and chromatin immunoprecipitation (ChIP). These antibodies help elucidate SMARCA1’s functional roles in transcriptional regulation, its partnership with other SWI/SNF members (e.g., SMARCA4/BRG1), and its involvement in diseases. However, challenges remain in ensuring antibody specificity due to homology among SWI/SNF subunits. Validation using knockout controls or siRNA knockdown is critical. Commercial SMARCA1 antibodies are typically developed in hosts like rabbits or mice, targeting specific epitopes (e.g., N- or C-terminal regions). Ongoing research aims to clarify SMARCA1’s tissue-specific functions and therapeutic potential in SWI/SNF-deficient cancers.
×