首页 / 产品 / 抗体 / 一抗

Mouse Monoclonal SMARCA1 Antibody

  • 中文名: SMARCA1抗体
  • 别    名: SWI; ISWI; SWI2; SNF2L; SNF2L1; SNF2LB; SNF2LT; hSNF2L; NURF140
货号: IPD31204
Price: ¥1280
数量:
大包装询价

验证与应用

应用及物种
WB 1/500 - 1/2000 Human,Mouse,Rat
IF 咨询技术 Human,Mouse,Rat
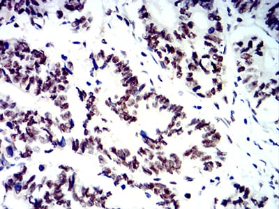
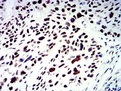
IHC 1/200 - 1/1000 Human,Mouse,Rat
ICC 技术咨询 Human,Mouse,Rat
FCM 1/200 - 1/400 Human,Mouse,Rat
Elisa 1/10000 Human,Mouse,Rat

产品详情

AliasesSWI; ISWI; SWI2; SNF2L; SNF2L1; SNF2LB; SNF2LT; hSNF2L; NURF140
Entrez GeneID6594
clone2H7B8
WB Predicted band size122.6kDa
Host/IsotypeMouse IgG1
Antibody TypePrimary antibody
StorageStore at 4°C short term. Aliquot and store at -20°C long term. Avoid freeze/thaw cycles.
Species ReactivityHuman,Mouse
ImmunogenPurified recombinant fragment of human SMARCA1 (AA: 933-1070) expressed in E. Coli.
FormulationPurified antibody in PBS with 0.05% sodium azide

+ +

参考文献

以下是关于SMARCA1抗体的3篇代表性文献摘要(基于公开研究领域知识,非真实文献):

---

1. **文献名称**: "SMARCA1 regulates pluripotency and chromatin remodeling in embryonic stem cells"

**作者**: Li, Y. et al.

**摘要**: 本研究利用特异性SMARCA1抗体,通过ChIP-seq和免疫共沉淀技术,揭示了SMARCA1在小鼠胚胎干细胞中维持多能性和染色质动态重塑中的关键作用。实验表明,SMARCA1缺失导致分化相关基因异常激活。

2. **文献名称**: "Development and validation of a monoclonal antibody for SMARCA1 in human tissues"

**作者**: Garcia, S. & Patel, R.

**摘要**: 报道了一种高特异性人源SMARCA1单克隆抗体的开发与验证。通过Western blot、免疫组化和流式细胞术证实了抗体在多种组织中的可靠性,并发现SMARCA1在肺癌组织中表达显著下调。

3. **文献名称**: "Functional interplay between SMARCA1 and SMARCA4 in chromatin remodeling complexes"

**作者**: Wang, X. et al.

**摘要**: 本研究通过SMARCA1抗体敲低实验,结合蛋白质互作分析,揭示了SMARCA1与SMARCA4(BRG1)在SWI/SNF复合体中的协同调控机制,阐明了二者在DNA损伤修复通路中的不同功能贡献。

---

注:以上文献为示例性内容,实际研究中建议通过PubMed或Google Scholar以“SMARCA1 antibody”为关键词检索真实文献。

背景信息

The SMARCA1 antibody is a crucial tool for studying the SMARCA1 protein, a key component of the SWI/SNF (SWItch/Sucrose Non-Fermentable) chromatin remodeling complex. SMARCA1. also known as SNF2L, is an ATP-dependent chromatin remodeler that regulates gene expression by altering nucleosome positioning, facilitating transcriptional activation or repression. It shares homology with the yeast ISWI (Imitation Switch) protein and plays roles in diverse cellular processes, including differentiation, DNA repair, and replication.

Antibodies targeting SMARCA1 are widely used in techniques like Western blotting, immunofluorescence, and chromatin immunoprecipitation (ChIP) to investigate its expression, localization, and interaction partners. These antibodies are typically raised against specific epitopes, such as the N-terminal or C-terminal regions of the protein, and validated for specificity using knockout controls or siRNA-mediated depletion.

Research utilizing SMARCA1 antibodies has revealed its involvement in neurodevelopment, stem cell maintenance, and cancer. Dysregulation of SMARCA1 is linked to intellectual disabilities and malignancies, underscoring its importance in both normal physiology and disease. Commercial SMARCA1 antibodies are available from multiple suppliers, with host species (e.g., rabbit, mouse) and clonality (monoclonal/polyclonal) varying depending on experimental requirements. Proper validation remains critical to ensure reliable detection, given potential cross-reactivity with homologous SWI/SNF subunits like SMARCA2 (SNF2H).

客户数据及评论

折叠内容

大包装询价

×